VIÊM NƯỚU RĂNG TRẺ EM: NGUYÊN NHÂN, DẤU HIỆU VÀ CÁCH PHÒNG TRỊ

 

1. Nguyên nhân gây viêm nướu răng trẻ em

Viêm nướu răng trẻ em là hiện tượng phần lợi bị viêm nhiễm, gây sưng đỏ và đau miệng. Nếu không điều trị sớm, viêm nướu răng sẽ phát triển thành viêm nha chu. Các nguyên nhân chính gây bệnh là do: Bé ít vệ sinh răng miệng, hay ăn đồ ngọt, sâu răng, cao răng nhiều hoặc nhiễm virus. 

1.1. Viêm nướu răng trẻ em do ít vệ sinh răng miệng

Mỗi ngày, trẻ em ăn rất nhiều loại thực phẩm khác nhau. Các mảnh vụn nhỏ của thức ăn sẽ tích tụ trong các kẽ răng, không thể rửa trôi, trở thành môi trường cho vi khuẩn phát triển. Ngoài ra, đa số các bé đều không đánh răng hoặc đánh răng không đúng cách, không làm sạch vi khuẩn trên răng. Sau khoảng thời gian dài, vi khuẩn xâm nhập vào lợi, làm lợi sưng đỏ và hình thành bệnh viêm nướu răng trẻ em.

1.2. Viêm nướu răng trẻ em do thường xuyên ăn đồ cứng, ngọt

Răng sữa của trẻ không chắc chắn, yếu hơn nhiều so với răng vĩnh viễn. Nếu trẻ dùng lực mạnh để cắn các loại đồ cứng sẽ có thể làm nướu bị tổn thương, tạo điều kiện cho vi khuẩn xâm nhập.

Ngoài ra, trẻ em rất thích ăn đồ ăn vặt. Ví dụ như: Bánh ngọt, kẹo dẻo trái cây, socola,... Trong khi đó, các loại thức ăn vặt đều có rất nhiều đường hóa học. Lượng đường tích tụ trong miệng làm tăng nguy cơ sâu răng, gây tổn thương men răng và nướu. 

viêm nướu răng trẻ em

 Viêm nướu răng trẻ em do thường xuyên ăn đồ ngọt

1.3. Viêm nướu răng trẻ em do sâu răng

Các lỗ sâu trên răng là nơi trú ngụ lý tưởng của vi khuẩn. Nếu sâu răng không được điều trị sớm, vi khuẩn sẽ lan xuống nướu răng gây đau nhức và sưng đỏ. So với người lớn, trẻ em có nguy cơ bị sâu răng cao hơn do thói quen ăn nhiều bánh kẹo ngọt.

1.4. Nướu răng trẻ bị viêm do cao răng tích tụ nhiều

Cặn thức ăn tích tụ trên răng và nướu, tạo thành một lớp màng mỏng không màu, gọi là mảng bám. Vi khuẩn trong mảng bám sản sinh ra axit, gây kích ứng, viêm, sưng, chảy máu nướu răng. Mảng bám tích tụ trong thời gian dài sẽ cứng lại và hình thành cao răng. Nếu không thường xuyên cho trẻ đi lấy cao răng, vi khuẩn bên trong ngày càng nhiều và gây ra viêm nướu răng trẻ em.

viêm nướu răng trẻ em

Nướu răng trẻ bị viêm do cao răng tích tụ nhiều

1.5. Viêm nướu răng trẻ em do nhiễm virus

Herpes simplex 1 (gây ra bệnh viêm da) là loại virus mà hầu hầu hết mọi người đều từng mắc 1 lần khi còn bé. Trong lần đầu tiên bị nhiễm Herpes simplex 1, khả năng cao trẻ sẽ bị viêm nướu răng. Theo nghiên cứu, virus coxsackie (bệnh chân tay miệng) cũng là thủ phạm gây ra viêm nướu răng trẻ em. Hệ miễn dịch của trẻ còn yếu, khó chống lại sự tấn công của virus. Ngoài ra, răng sữa không chắc chắn như răng vĩnh viễn cũng là cơ hội thuận lợi cho vi khuẩn gây viêm tấn công.

2. Dấu hiệu nhận biết viêm nướu răng trẻ em

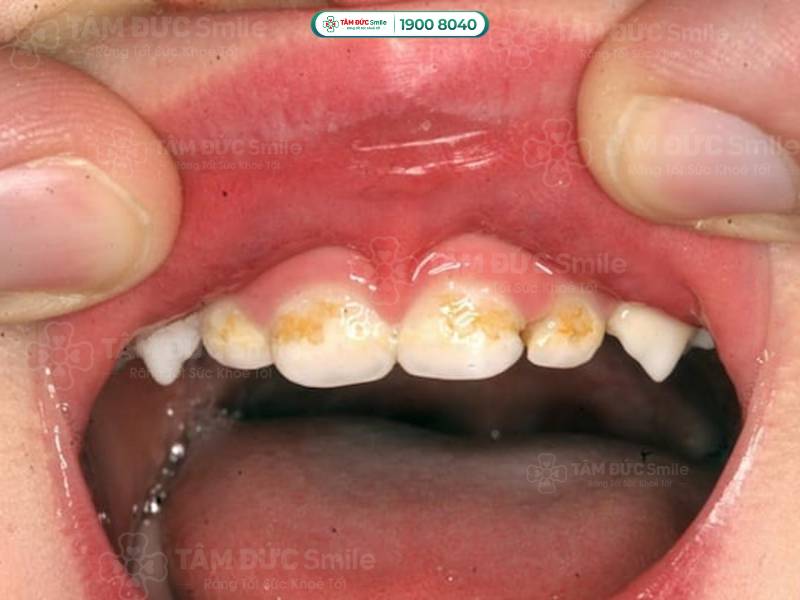
Viêm nướu là tình trạng nhẹ nhất của bệnh về nha chu. Dấu hiệu ban đầu của bệnh là nướu sưng đỏ, đau khi chạm vào. Trong một số trường hợp, viêm nướu răng trẻ em không gây đau đớn, do đó, cả trẻ và người lớn đều không phát hiện. Khi viêm nhiễm đã tiến triển nặng hơn, bạn sẽ thấy các dấu hiệu như:

  • Xuất hiện các vết loét nhỏ màu vàng hoặc xanh xám ở giữa, xung quanh sưng đỏ (chỉ rộng từ 1 đến 5mm). 
  • Ở trên nướu, trên amidan, vòm họng mềm và bên trong má của trẻ bị lở loét, dễ chảy máu, nhất là khi đánh răng. Nếu trẻ thường xuyên chảy máu khi đánh răng hoặc dùng chỉ nha khoa, bạn nên đưa trẻ đến nha khoa để thăm khám.
  • Nướu tụt khỏi răng từ nhẹ đến nặng, khoảng cách giữa các răng lớn hơn bình thường.
  • Trẻ bị hôi miệng dù đã vệ sinh sạch sẽ, kéo dài không khỏi.
  • Nếu trẻ bị viêm nướu do virus, trong miệng sẽ xuất hiện các mụn nước nhỏ li ti. 
  • Giữa răng và nướu xuất hiện mủ có màu xanh trắng, có thể chảy ra ngoài.
  • Nếu tình trạng viêm nhiễm quá nặng, bé sẽ lên cơn sốt (trên 40 độ), sưng hạch bạch huyết ở cổ và chảy nhiều nước bọt. Đây là trường hợp nhiễm trùng nặng, bạn phải đưa trẻ đến bệnh viện ngay lập tức.

viêm nướu răng trẻ em

Dấu hiệu ban đầu của bệnh là nướu sưng đỏ, đau khi chạm vào

3. Cách phòng trị viêm nướu răng trẻ em

Viêm nướu răng trẻ em không thể tự khỏi được. Để điều trị bệnh, bạn phải đưa trẻ đến nha khoa và kết hợp chăm sóc răng miệng tại nhà.

3.1. Trị viêm nướu răng trẻ em

Để điều trị viêm nướu răng trẻ em, bạn phải biết được chính xác nguyên nhân gây bệnh là gì. Vậy nên, nếu phát hiện trẻ có dấu hiệu bệnh, bạn phải đưa trẻ đến nha khoa để bác sĩ thăm khám. Bác sĩ sẽ cạo vôi răng (nếu nguyên nhân do cao răng) hoặc cho trẻ uống thuốc giảm đau, kháng viêm. Khi bệnh nướu răng tiến triển nặng, bác sĩ phải làm sạch các vùng bị nhiễm trùng dưới nướu bằng cách tiểu phẫu.

viêm nướu răng trẻ em

Nếu phát hiện trẻ có dấu hiệu bệnh, bạn phải đưa trẻ đến nha khoa để bác sĩ thăm khám

Với trường hợp dùng thuốc điều trị, bạn không nên cho trẻ uống thuốc tại nhà mà phải dùng thuốc kê đơn của bác sĩ. Vì các loại thuốc kháng sinh, giảm viêm,... sẽ gây hại cho trẻ nếu sử dụng quá liều cho phép. 

Trong thời gian điều trị viêm nướu răng trẻ em, bạn phải cho trẻ uống nhiều nước hoặc sữa. Bởi vì biến chứng thường thấy nhất của viêm nướu răng trẻ em chính là mất nước. Nếu bé xuất hiện triệu chứng đi ngoài phân lỏng, không tiểu trong 6 giờ (do mất nước), bạn phải liên hệ ngay với bác sĩ.

3.2. Phòng tránh viêm nướu răng cho trẻ

Bên cạnh việc điều trị, phòng tránh viêm nướu răng trẻ em cũng là việc làm cần thiết. Trẻ có thể phòng ngừa viêm nướu bằng cách vệ sinh răng miệng sạch sẽ, cạo vôi răng,...

3.2.1. Hướng dẫn trẻ vệ sinh răng miệng đúng cách

Bạn nên tạo cho bé thói quen đánh răng 2 lần mỗi ngày và sử dụng chỉ nha khoa ít nhất 1 lần/ngày. Bạn hãy chọn loại đánh răng có lông mềm, kích thước nhỏ vừa với khuôn miệng của trẻ. Ngoài ra, bạn phải hướng dẫn bé đánh răng tối thiểu 2 phút và đủ cả 3 mặt: Mặt nhai, mặt mặt ngoài và mặt trong.

3.2.2. Cho trẻ cạo vôi răng định kỳ

Nhiều người nghĩ rằng, chỉ người lớn mới nên đi cạo vôi răng. Tuy nhiên, trẻ em cũng nên cạo vôi răng định kỳ để ngăn ngừa vi khuẩn và tránh các bệnh lý răng miệng. Bạn nên đưa bé đến nha khoa định kỳ 3-6 tháng/lần để làm sạch cao răng.

viêm nướu răng trẻ em

Trẻ em nên cạo vôi răng định kỳ để ngăn ngừa vi khuẩn và tránh các bệnh lý răng miệng

3.2.3. Hạn chế cho trẻ ăn nhiều chất đường bột, bánh kẹo hoặc nước ngọt

Trẻ em thích ăn quà vặt, vậy nên tỷ lệ trẻ bị sâu răng và các bệnh nha khoa ngày càng tăng. Vì đường là “thức ăn” ưa thích của vi khuẩn và tạo ra môi trường lý tưởng để chúng phát triển. Do đó, bạn nên hạn chế cho trẻ ăn các loại bánh kẹo, thức ăn, nước ngọt,... 

3.2.4. Cho trẻ ăn nhiều thực phẩm tốt cho nướu

Các loại thực phẩm tốt cho nướu bạn nên khuyến khích bé ăn là:

  • Sữa bò và chế phẩm: Trong sữa bò chứa protein casein giúp trung hòa nồng độ axit do vi khuẩn và mảng bám sản sinh ra.
  • Rau xanh: Trong rau có nhiều chất xơ, vừa trung hòa axit, vừa kích thích tiết nước bọt, ức chế sự phát triển của vi khuẩn.
  • Trái cây giàu vitamin C: Các loại trái cây, quả mọng, đặc biệt là trái cây giàu Vitamin C có lợi cho răng miệng. Vì Vitamin C giúp tăng đề kháng của trẻ để chống lại vi khuẩn, phục hồi các mô tổn thương,...

Qua bài viết trên, bạn đã tìm hiểu về bệnh viêm nướu răng trẻ em và cách phòng trị hiệu quả. Để phòng ngừa các bệnh lý răng miệng, bạn nên đưa trẻ đến nha khoa để thăm khám định kỳ 6 tháng/lần.

Để được bác sĩ tại nha khoa Tâm Đức Smile tư vấn miễn phí, bạn hãy gọi vào Hotline 19008040 - 0329851079 (Có sử dụng Zalo/Viber) hoặc điền thông tin vào bảng sau đây.

ĐĂNG KÝ

TƯ VẤN TRỰC TIẾP

HỆ THỐNG NHA KHOA TÂM ĐỨC SMILE
Các chi nhánh