TỦY RĂNG CÓ TÁC DỤNG GÌ? ĐIỀU GÌ XẢY RA KHI TUỶ RĂNG BỊ HOẠI TỬ?
1. Tủy răng có tác dụng gì?
Để hiểu rõ về tác dụng của tuỷ răng, Quý khách hãy tìm hiểu trước về cấu tạo của răng.
1.1. Tủy răng là gì?
Tủy răng là phần nằm ở giữa răng, được bao bọc bởi men răng và ngà răng. Tủy răng được coi là một mô liên kết các dây thần kinh và mạch máu. Khi bị sâu răng nặng, Quý khách thường có cảm giác nhức răng dữ dội. Nguyên nhân chính là tủy răng đã bị viêm nhiễm, làm sưng, chảy máu và chèn ép các dây thần kinh, tạo nên các cơn đau dai dẳng.
1.2. Cấu tạo của răng
Răng có cấu tạo gồm 3 phần chính
- Men răng: Cấu tạo từ phần lớn là Canxi. Men răng như một chiếc áo giáp bảo vệ các thành phần phía trong của răng. Men răng là phần có độ dày nhất của răng.
- Ngà răng: Ngà răng nằm phía trong men răng. Ngà răng như một bộ khung để tạo hình dạng cho răng. Đây là phần có khối lượng lớn nhất của răng.
- Tủy răng: Là phần mô liên kết mạch máu, dây thần kinh nằm phía trong men răng và mè răng. Tủy răng là nơi cung cấp chất dinh dưỡng để nuôi răng. Do đó khi răng bị hư tủy thì tỉ lệ mất răng rất cao.
1.3. Cấu tạo của tủy răng
Tủy răng sẽ có sự khác nhau ở mỗi người, mỗi chiếc răng cũng khác nhau. Tủy răng có cấu tạo gồm 2 phần chính:
- Buồng tủy: Là phần không gian rỗng nằm giữa răng. Buồng tủy răng là nơi bác sĩ sẽ lấy tủy răng trong những ca răng bị hư hỏng nặng.
- Ống tuỷ: Là phần kéo dài từ buồng tủy xuống chân răng là ống tủy. Mỗi răng sẽ có số ống tủy khác nhau, từ 2 đến 4 ống tủy.

Tuỷ răng có tác dụng nuôi dưỡng răng
>>> Xem thêm: Những vấn đề thường gặp ở tuỷ răng
1.4. Tủy răng có tác dụng gì?
Tủy răng là phần quan trọng nhất của răng. Nó là cốt lõi để răng phát triển và duy trì. Do đó khi tủy không còn khả năng hoạt động, tỉ lệ hơn 90% chiếc răng đó phải bị loại bỏ. Vậy tủy răng có những tác dụng gì?
1.4.1. Tủy răng có tác dụng nuôi dưỡng ngà răng
Nhiều nghiên cứu khoa học đã chỉ ra rằng chức năng chính của tủy là hình thành và tái tạo ngà răng. Tủy răng sẽ liên tục tái tạo lại ngà răng khi ngà răng bị ảnh hưởng. Ngà răng ở giai đoạn nguyên bào sẽ được tủy cung cấp chất dinh dưỡng, nuôi và phát triển thành ngà nguyên phát và thứ phát.
1.4.2. Tủy răng cung cấp dưỡng chất cho răng
Các mạch máu nhỏ từ tủy sẽ dẫn chất dinh dưỡng đi nuôi răng. Nếu tủy răng bị ảnh hưởng, phần ngà răng và men răng sẽ thiếu nguồn cung cấp các chất khoáng, dẫn đến răng mau bị bào mòn.
1.4.3. Tủy răng có tác dụng dẫn truyền cảm giác về não
Khi Quý khách ăn những món ăn lạnh, răng sẽ có cảm giác ê buốt. Đó là cách tủy thông báo sự kích thích cho não bộ. Ngoài ra khi răng bị sâu, Quý khách sẽ có cảm giác đau nhức, đó là cũng do tủy dẫn truyền thông tin răng bị vi khuẩn tấn công về thần kinh ở não.
Có thể nói rằng, tủy răng là “còi báo động” cảnh báo khi Quý khách đang gặp các vấn đề về răng miệng.

Tuỷ răng có tác dụng dẫn truyền cảm giác
2. Tủy răng bị hỏng thì sẽ ảnh hưởng ra sao?
Tủy răng là cốt lõi để duy trì chức năng của răng. Tủy răng có tác dụng như một “trái tim” nuôi dưỡng răng phát triển và giữ cho răng ổn định. Nếu tủy răng bị hư hại thì sức khoẻ lẫn đời sống tinh thần của Quý khách sẽ bị ảnh hưởng nhiều.
2.1. Nhức răng, cơn đau kéo dài
Những dấu hiệu đầu tiên khi bị tủy răng bị hư chính là những cơn đau nhức dữ dội. Những cơn đau này có thể đến bất chợt và gây ra cơn nhức răng khó chịu. Những cơn hành đau răng sẽ làm Quý khách mất ăn mất ngủ. Quý khách không thể tập trung làm việc được khi răng cứ đau nhức. Nhức răng cũng cản trở khả năng ăn uống của Quý khách, làm mất tính ngon miệng. Ngoài ra, nếu cơn đau đến vào ban đêm sẽ làm Quý khách không thể ngủ ngon.

Viêm tuỷ làm đau nhức răng dữ dội
2.2. Hôi miệng
Tủy răng hư sẽ không thể nuôi dưỡng và bảo vệ răng được. Do đó răng sẽ dễ bị bào mòn và bị vi khuẩn tấn công. Mùi hôi từ tủy răng bị hư hại cộng với mùi hôi từ vi khuẩn sẽ làm Quý khách bị hôi miệng. Mùi hôi miệng gây cản trở rất nhiều đến những sinh hoạt hàng ngày của Quý khách. Nó sẽ làm Quý khách mất tự tin khi giao tiếp hoặc khiến người đối diện phải e ngại khi nói chuyện với nhau.

Tuỷ răng bị viêm trở thành nơi ẩn náu của hại khuẩn
2.3. Vỡ răng - mất răng
Men răng và ngà răng sẽ bị nứt và vỡ ra sau khi tủy bị hư hỏng nhiều ngày. Nếu Quý khách không sớm điều trị tủy và khắc phục những chỗ răng bị vỡ thì răng sẽ tiếp tục bị phá hỏng. Khi tủy đã chết hoàn toàn, chân răng cũng trở nên lỏng lẻo và cuối cùng làm mất răng.

Vi khuẩn phá huỷ thân răng
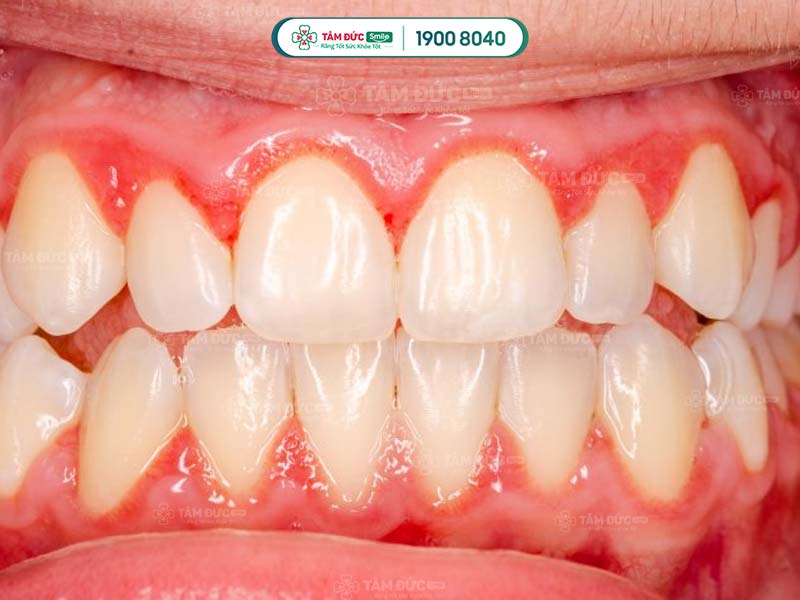
2.4. Viêm lợi
Khi tủy răng bị hư hoặc chết, răng sẽ bị giảm khả năng phòng vệ. Lớp men răng và ngà răng liên tục bị vi khuẩn bào mòn vì không còn tủy răng cung cấp dinh dưỡng để bảo vệ nữa. Vi khuẩn có hại cho răng miệng không chỉ dừng lại ở phá hủy răng mà còn tấn công vào lợi răng. Viêm lợi không chỉ ở chiếc răng bị sâu mà còn có thể lây lan những chiếc răng khác.

Viêm nướu có thể bắt nguồn từ nhiễm trùng ở tuỷ răng
2.5. Viêm quanh chóp răng
Vi khuẩn sau khi làm hư hoàn toàn tủy răng sẽ tấn công xuống phần chóp răng. Viêm chóp răng sẽ có những cơn đau kéo dài hơn sâu răng, cơn đau có cảm giác trong xương. Viêm chóp răng có thể được xem là giai đoạn đầu của viêm xương hàm.

Viêm nhiễm xuất phát từ viêm tuỷ răng
2.6. Viêm xương hàm
Khi vi khuẩn đã tấn công sâu vào trong được xương hàm, là nơi diễn ra hoạt động nhai, cắn của Quý khách hàng ngày. Những vấn đề về khớp cũng sẽ dần xuất hiện nếu để vi khuẩn lây lan. Dấu hiệu nhận biết rõ Quý khách bị viêm xương hàm là thường hay đau nhức phía dưới thái dương.

Nhiễm trùng ở xương hàm
ĐẶT HẸN NGAY HÔM NAY ĐỂ ĐƯỢC:
► Khám và tư vấn miễn phí
► Miễn phí chụp film cùng với máy Conebeam CT trị giá 700K
► Miễn phí quét mẫu hàm công nghệ ITERO trị giá 3 triệu
► Hỗ trợ trả góp 0% lãi suất
3. Cách điều trị tủy răng bị ảnh hưởng
Dựa vào nguyên nhân và mức độ tủy bị ảnh hưởng nặng hay nhẹ mà Quý khách sẽ được bác sĩ tư vấn cách điều trị phù hợp. Mục đích cuối cùng chính là giúp Quý khách bảo tồn răng gốc, đảm bảo thẩm mỹ nụ cười.
3.1. Trám răng
Trám răng thường sẽ có 2 trường hợp là lấy tủy và không lấy tủy. Nếu răng của Quý khách chỉ vừa bị sâu nhẹ, chưa bị ăn vào tủy thì không cần lấy tủy. Với những trường hợp răng bị vỡ, có mùi hôi từ răng và lộ tủy thì bắt buộc phải lấy tủy để trám răng..
Trám răng giúp khôi phục lại hình dáng ban đầu, đồng thời loại bỏ những phần bị sâu để tránh vi khuẩn lây lan sang răng khác. Đây là cách nhanh nhất để khắc phục bệnh lý và tránh làm ảnh hưởng đến tủy răng.

Trám răng giúp ngăn chặn nguy cơ viêm tuỷ và mất răng
3.2. Bọc răng sứ
Bọc răng sứ giúp Quý khách bảo vệ răng khỏi các tác nhân làm hư hại răng như vi khuẩn, mảng bám. Việc bọc răng sứ sẽ giúp răng giảm nguy cơ bị hư hỏng, tủy răng cũng được bảo vệ tốt hơn. Trường hợp răng bị hư tủy nhưng vẫn muốn bọc sứ, Quý khách cần tham khảo ý kiến của bác sĩ.

Bọc răng sứ để phòng ngừa sâu răng và lấy lại thẩm mỹ nụ cười
3.3. Nhổ răng - trồng Implant
Trong trường hợp tủy răng đã chết, răng không còn khả năng phục hồi, ưu tiên hàng đầu là phòng ngừa lây lan sang những chiếc răng khác. Lúc này phần răng còn lại chứa một lượng lớn vi khuẩn, có thể làm viêm chóp răng, tiêu xương hàm nếu tiến triển lâu dài.
Lúc này, Quý khách nên cân nhắc nhổ răng và trồng Implant. Giải pháp này vừa giải quyết được phần răng và tủy bị chết vừa đảm bảo chức năng ăn nhai của cả hàm. Răng implant có tính thẩm mỹ cao, bền chắc và hiệu quả sử dụng có thể lên đến vĩnh viễn.
Quá trình trồng răng Implant tại nha khoa Tâm Đức Smile
3.4. Phẫu thuật chóp răng và xương hàm
Răng bị hoại tử tủy nhưng vi khuẩn vẫn tiếp tục tấn công xuống chóp và xương hàm. Lúc này tình trạng sẽ trở nên nặng hơn, có thể làm thành áp xe, tiêu xương hàm, viêm khớp thái dương, thậm chí là nhiễm trùng thần kinh. Bác sĩ sẽ tư vấn và xem xét một ca phẫu thuật để loại bỏ ổ viêm mà vi khuẩn gây ra.
Hy vọng qua những thông tin trên đây, Quý khách đã biết được tủy răng có tác dụng gì và chủ động bảo vệ răng tốt hơn. Ngay khi xuất hiện cảm giác ê buốt ở răng, Quý khách nên liên hệ với bác sĩ trước khi vấn đề chuyển biến thành viêm tủy răng. Quý khách chỉ cần gọi đến Hotline 19008040 - 0329851079 (Có sử dụng Zalo/Viber), bác sĩ sẽ tư vấn cách điều trị phù hợp.




