SƯNG NƯỚU RĂNG HÀM TRÊN CÓ MỦ: NGUYÊN NHÂN VÀ CÁCH ĐIỀU TRỊ
1. Thế nào là sưng nướu răng hàm trên có mủ?
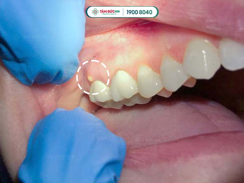
Sưng nướu răng hàm trên có mủ là trường hợp nướu răng hàm trên bị viêm nhiễm, sưng tấy và xuất hiện mủ.
Triệu chứng của sưng nướu bao gồm:
- Nướu răng sưng đỏ, đau nhức.
- Xuất hiện mủ ở nướu răng, chảy ra khi ấn vào.
- Hơi thở có mùi hôi.
- Ăn uống khó khăn, đau khi nhai.
- Có thể sốt, mệt mỏi.

Nướu răng hàm trên bị sưng và tụ mủ
2. Sưng nướu răng hàm trên có mủ có nguy hiểm không?
Biến chứng của sưng nướu răng hàm trên có mủ ảnh hưởng rất lớn đến sức khỏe của Quý khách.
2.1. Về sức khỏe răng miệng
Sưng viêm nướu làm cho các mô xung quanh răng bao gồm nướu, dây chằng, men răng và xương ổ răng tiêu biến dần. Tình trạng này kéo dài có thể dẫn đến lung lay răng, thậm chí là mất răng.
2.2. Về sức khỏe toàn thân
Sưng nướu răng hàm trên có mủ tạo điều kiện thuận lợi cho vi khuẩn xâm nhập vào mạch máu thông qua vùng lợi. Lúc này, nó gây ra những ảnh hưởng đến hoạt động của các hệ cơ quan khác như tuần hoàn, hô hấp,...

Viêm nướu làm sưng viêm và có mủ
3. Nguyên nhân sưng nướu răng hàm trên có mủ
3.1. Mắc các bệnh lý viêm nhiễm
Viêm nhiễm là một trong những nguyên nhân phổ biến nhất gây sưng nướu răng. Các bệnh lý viêm nhiễm có thể ảnh hưởng đến nướu răng bao gồm:
- Viêm nướu: Đây là bệnh lý viêm nướu nhẹ, thường gặp ở người lớn. Viêm nướu có thể gây sưng, đỏ, chảy máu nướu khi chải răng hoặc dùng chỉ nha khoa.
- Viêm nha chu: Đây là bệnh lý viêm nướu nặng hơn, có thể gây tổn thương đến xương hàm. Viêm nha chu có thể gây sưng, đỏ, chảy máu nướu, tụt nướu, thậm chí là mất răng.
- Áp xe răng: Đây là bệnh nhiễm trùng nghiêm trọng ở chân răng, có thể gây sưng, đỏ, đau nhức dữ dội, sốt, thậm chí là sưng mặt.

Nhiễm trùng chân răng hàm trên
3.2. Vệ sinh răng miệng không tốt
Vệ sinh răng miệng không tốt là nguyên nhân hàng đầu gây sưng nướu răng hàm trên có mủ. Khi Quý khách vệ sinh răng miệng không tốt, thức ăn thừa và vi khuẩn có cơ hội tích tụ ở kẽ răng. Chúng không ngừng phát triển và gây sưng viêm nướu răng.
3.3. Phụ nữ đang mang thai
Sưng nướu răng ở phụ nữ mang thai là do sự thay đổi nội tiết tố bên trong cơ thể. Trong thời kỳ mang thai, nồng độ progesterone và estrogen tăng cao. Những hormone này có tác dụng làm tăng lưu lượng máu đến nướu răng, làm cho mao mạch ở nướu răng giãn ra.
3.4. Răng khôn
Răng khôn là những chiếc răng mọc ở vị trí cuối cùng của hàm, thường mọc ở độ tuổi trưởng thành. Răng khôn mọc lệch, mọc ngầm là trường hợp răng khôn mọc sai vị trí, không thể mọc thẳng lên như các răng khác.
Mọc răng khôn có thể gây ra nhiều vấn đề về răng miệng, đặc biệt là sưng nướu răng có mủ.
3.5. Thói quen ăn uống
Thói quen ăn uống không khoa học, đặc biệt là ăn nhiều đồ ngọt và đồ cay, nóng có thể là nguyên nhân gây viêm nướu răng có mủ. Khi ăn nhiều đồ ngọt, vi khuẩn bám vào răng và phát triển mạnh mẽ, tạo thành mảng bám. Mảng bám này tích tụ lâu ngày gây viêm nhiễm nướu răng, dẫn đến sưng đỏ, đau nhức, chảy máu và thậm chí là tạo mủ.

Nhiễm trùng nướu răng cửa
4. Điều trị sưng nướu răng hàm trên có mủ
Nguyên tắc điều trị sưng nướu răng hàm trên có mủ
4.1. Loại bỏ ổ nhiễm trùng
Đây là bước quan trọng nhất để ngăn chặn sự phát triển của vi khuẩn và làm giảm các triệu chứng của bệnh. Các phương pháp loại bỏ ổ nhiễm trùng bao gồm dẫn lưu mủ, lấy dị vật, điều trị viêm quanh răng, chữa tủy răng, cắt cuống răng hoặc nhổ răng.
4.2. Điều trị triệu chứng
Các triệu chứng của sưng nướu răng hàm trên có mủ bao gồm đau, sưng, sốt,... Các thuốc được sử dụng để điều trị triệu chứng bao gồm thuốc giảm đau, thuốc kháng sinh,...
4.3. Loại bỏ nguyên nhân
Nguyên nhân gây sưng nướu răng hàm trên có mủ có thể là do sâu răng, viêm lợi,... Bác sĩ tiến hành loại bỏ nguyên nhân để ngăn ngừa bệnh tái phát.

Cần điều trị sớm tình trạng sưng nướu có mủ
ĐẶT HẸN NGAY HÔM NAY ĐỂ ĐƯỢC:
- Khám và tư vấn miễn phí
- Miễn phí chụp film cùng với máy Conebeam CT trị giá 700K
- Miễn phí quét mẫu hàm công nghệ ITERO trị giá 3 triệu
- Hỗ trợ trả góp 0% lãi suất
5. Các phương pháp điều trị sưng nướu răng hàm trên có mủ
Dựa trên nguyên tắc điều trị, Quý khách có thể áp dụng các phương pháp điều trị viêm chân răng có mủ như sau.
- Dẫn lưu mủ: Đây là phương pháp đơn giản và hiệu quả nhất để loại bỏ ổ nhiễm trùng. Bác sĩ thực hiện một vết cắt nhỏ tại vị trí khối sưng có mủ để dẫn lưu mủ ra ngoài.
- Lấy dị vật: Nếu có dị vật mắc kẹt ở lợi, cần lấy dị vật ra để tránh làm tổn thương thêm vùng lợi bị viêm.
- Điều trị viêm quanh răng: Viêm quanh răng là trường hợp viêm nhiễm ở mô xung quanh chân răng. Bác sĩ tiến hành lấy cao răng, nạo sạch các mảng bám và cặn thức ăn ở quanh chân răng để loại bỏ nguyên nhân gây viêm.
- Chữa tủy răng: Nếu răng bị sâu, tủy răng bị viêm nhiễm thì cần chữa tủy răng để loại bỏ nguồn lây nhiễm.
- Cắt cuống răng: Nếu viêm nhiễm lan đến tủy răng, cần cắt cuống răng để ngăn chặn sự lây lan của vi khuẩn.
- Nhổ răng: Nếu răng bị viêm quá nghiêm trọng, không thể chữa trị thì cần nhổ răng.

Bác sĩ sẽ căn cứ vào mức độ bệnh để đưa ra giải pháp điều trị phù hợp nhất
6. Mẹo dân gian cải thiện triệu chứng sưng nướu có mủ
Trong trường hợp bị sưng nướu răng nhẹ, Quý khách có thể áp dụng một số mẹo dân gian để giảm triệu chứng.
6.1. Súc miệng bằng nước muối sinh lý
Nước muối sinh lý có tính kháng viêm, sát khuẩn cao, giúp làm sạch khoang miệng và loại bỏ vi khuẩn gây viêm nhiễm. Quý khách nên súc miệng bằng nước muối sinh lý 2 - 3 lần/ngày, mỗi lần 2 - 3 phút.
6.2. Dùng mật ong chữa sưng nướu răng hàm trên có mủ
Mật ong có tác dụng kháng khuẩn, kháng viêm, giảm đau, giúp vết thương mau lành. Quý khách hãy thoa mật ong trực tiếp lên vùng nướu bị viêm nhiễm, giữ trong khoảng 5 - 10 phút rồi súc miệng sạch.
6.3. Dùng lá kinh giới chữa sưng nướu răng hàm trên có mủ
Lá kinh giới có tác dụng chống viêm, giảm đau, tiêu mủ. Quý khách có thể đun sôi lá kinh giới với nước, thêm một ít muối hạt, để nguội rồi súc miệng 3 - 5 lần/ngày.
6.4. Dùng lá lốt chữa sưng nướu răng hàm trên có mủ
Quý khách có thể giã nát lá lốt, chắt lấy nước cốt, thêm một ít muối hạt rồi súc miệng 3 - 5 lần/ngày.
6.5. Dùng trà gừng tươi chữa sưng nướu răng hàm trên có mủ
Trà gừng tươi có tác dụng kháng viêm, giảm đau, giúp vết thương mau lành. Cách sử dụng là pha trà gừng tươi, để nguội rồi súc miệng 2 - 3 lần/ngày.
Lưu ý khi áp dụng các mẹo dân gian điều trị sưng nướu răng có mủ:
- Mẹo dân gian chỉ có tác dụng hỗ trợ điều trị sưng nướu răng nhẹ. Nếu viêm nướu nặng, Quý khách cần đến gặp bác sĩ để được thăm khám và điều trị kịp thời.
- Trước khi áp dụng bất kỳ mẹo dân gian nào, Quý khách nên tham khảo ý kiến của bác sĩ hoặc chuyên gia y tế.

Trà gừng hỗ trợ khử khuẩn khoang miệng và nâng cao sức đề kháng
7. Phòng ngừa sưng nướu răng hàm trên có mủ hiệu quả bằng cách nào?
Để phòng ngừa sưng nướu răng hàm trên có mủ hiệu quả, cần thực hiện các biện pháp sau:
7.1. Vệ sinh răng miệng đúng cách
Đây là biện pháp quan trọng nhất để phòng ngừa sưng nướu răng hàm trên có mủ. Quý khách cần đánh răng ngày ít nhất 2 lần. Khi đánh răng, cần sử dụng bàn chải có lông mềm và kem đánh răng có chứa fluor.
Ngoài ra, Quý khách cũng cần sử dụng chỉ nha khoa để làm sạch các kẽ răng.
7.2. Kiểm soát chế độ ăn uống
Quý khách cần hạn chế sử dụng các loại thức ăn:
- Có chứa hàm lượng chất tạo ngọt cao
- Các loại nước ngọt có ga
- Nước trái cây có tính axit,...
Những loại thực phẩm này là môi trường thuận lợi để vi khuẩn sâu răng phát triển và gây viêm nướu.
7.3. Khám răng định kỳ
Quý khách cần khám răng định kỳ 6 tháng/lần để duy trì một hàm răng khỏe và một nụ cười đẹp.
>>> Xem thêm: Hình ảnh khách hàng làm răng tại nha khoa Tâm Đức Smile
Sưng nướu răng hàm trên có mủ là một dấu hiệu cảnh báo sức khỏe răng miệng đang gặp vấn đề nghiêm trọng. Khi thấy nướu răng hàm trên bị sưng tấy, có mủ, Quý khách nên đến gặp bác sĩ để được điều trị kịp thời. Quý khách có thể gọi đến Hotline 19008040 - 0329851079 (Có sử dụng Zalo/Viber) để nha khoa Tâm Đức Smile hướng dẫn cách khắc phục ngay.




