SÂU RĂNG SÁT NƯỚU NHỔ BỎ CÓ ĐAU KHÔNG? GIẢI PHÁP CHỮA TRỊ SÂU RĂNG SÁT NƯỚU
1. Những vấn đề gặp phải khi bị sâu răng sát nướu
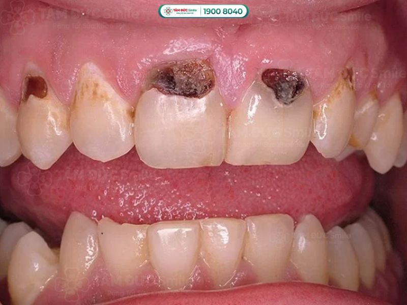
Sâu răng sát nướu (sâu chân răng), là tình trạng tổn thương men răng và ngà răng ngay sát đường viền nướu. Nằm ở vị trí gây khó khăn cho việc vệ sinh răng miệng nên sâu răng sát nướu gây ra nhiều vấn đề nghiêm trọng như sau.
1.1. Sâu răng sát nướu gây đau nhức
Khi bị sâu răng sát nướu, vi khuẩn tấn công men răng và ngà răng, gây viêm tủy. Tủy răng là phần mô mềm nằm bên trong răng, bao gồm hệ thống thần kinh và các mạch máu. Do đó, khi bị viêm, tủy sẽ sưng tấy, chèn ép vào các dây thần kinh, dẫn đến đau nhức dữ dội. Cơn đau có thể lan ra các khu vực lân cận như: Tai, hàm, cổ,...

Sâu răng sát nướu là tình trạng tổn thương men răng và ngà răng ngay sát đường viền nướu
Nếu viêm tủy răng không được điều trị kịp thời, tủy răng sẽ hoại tử. Trong giai đoạn này, cơn đau tạm thời giảm đi do các dây thần kinh trong tủy răng không còn cảm giác. Tuy nhiên, vi khuẩn vẫn tiếp tục phá hủy cấu trúc xung quanh răng, dẫn đến nhiễm trùng sâu trong chân răng. Nhiễm trùng gây đau nhức dữ dội, âm ỉ, kèm theo các triệu chứng như: Sưng nướu, sốt,...
Sâu răng sát nướu còn gây viêm nướu, do thức ăn thừa và vi khuẩn bám vào kẽ răng và nướu. Viêm nướu làm nướu sưng đỏ, chảy máu, đau nhức, ngứa rát,... Cơn đau do viêm nướu thường âm ỉ, dai dẳng và nhức nhối hơn khi bạn ăn uống hoặc tác động lực lên nướu.
1.2. Tăng nguy cơ làm răng mọc lệch
Sâu răng sữa, đặc biệt là sâu răng sát nướu, nếu không được điều trị, vi khuẩn sẽ lan rộng và ảnh hưởng đến mầm răng vĩnh viễn bên dưới. Từ đó gây viêm nhiễm, làm răng vĩnh viễn mọc ra yếu ớt hoặc phát triển không bình thường. Các răng này không có cấu trúc chắc chắn, dễ bị mẻ hoặc gãy và có khả năng cao bị sâu răng ngay từ khi mới mọc. Điều này làm tăng nguy cơ viêm nhiễm lan rộng và ảnh hưởng tiêu cực đến quá trình mọc của các răng khác.
1.3. Sâu răng sát nướu tạo điều kiện cho thức ăn nhét vào trong
Sâu răng sát nướu thường tạo ra những lỗ hổng hoặc khe hẹp trên bề mặt răng gần nướu. Những lỗ này làm thức ăn mắc kẹt vào trong, là môi trường lý tưởng cho vi khuẩn phát triển. Vi khuẩn sử dụng thức ăn tạo ra axit, làm mòn men răng, gây sâu răng nặng hơn, làm tăng nguy cơ nhiễm trùng và viêm nhiễm. Thức ăn bị mắc kẹt trong các kẽ răng và lỗ sâu răng không được làm sạch sẽ bị phân hủy bởi vi khuẩn, gây ra mùi hôi miệng. Điều này sẽ làm bạn tự ti, e ngại khi giao tiếp.

Sâu răng sát nướu thường tạo ra những lỗ hổng làm thức ăn mắc kẹt vào trong
1.4. Nhổ bỏ răng sâu sát nướu có đau không?
Trước khi nhổ răng sâu sát nướu, bạn nên giữ cho mình tâm lý thoải mái và bình tĩnh. Bác sĩ sẽ dùng thuốc gây tê để làm tê liệt vùng răng và nướu xung quanh. Do đó, bạn sẽ không cảm thấy đau đớn trong suốt quá trình nhổ răng. Sau khi thuốc tê hết tác dụng, bạn sẽ cảm thấy hơi nhói nhẹ hoặc khó chịu ở vùng nhổ răng. Đây là phản ứng bình thường của cơ thể và không quá nghiêm trọng.
Sau khi nhổ răng, bác sĩ sẽ kê đơn thuốc giảm đau và thuốc kháng viêm giúp bạn giảm khó chịu và ngăn ngừa nhiễm trùng. Bạn nên uống thuốc theo đúng hướng dẫn của bác sĩ để đảm bảo quá trình phục hồi diễn ra suôn sẻ. Đồng thời bạn nên tuân thủ chỉ dẫn của bác sĩ về vệ sinh răng miệng và chăm sóc vùng răng sau khi nhổ. Chẳng hạn: Dùng nước muối ấm để rửa miệng, tránh nhai bên phía răng vừa nhổ và tránh ăn thực phẩm cứng,....
2. Cách chữa sâu răng sát nướu
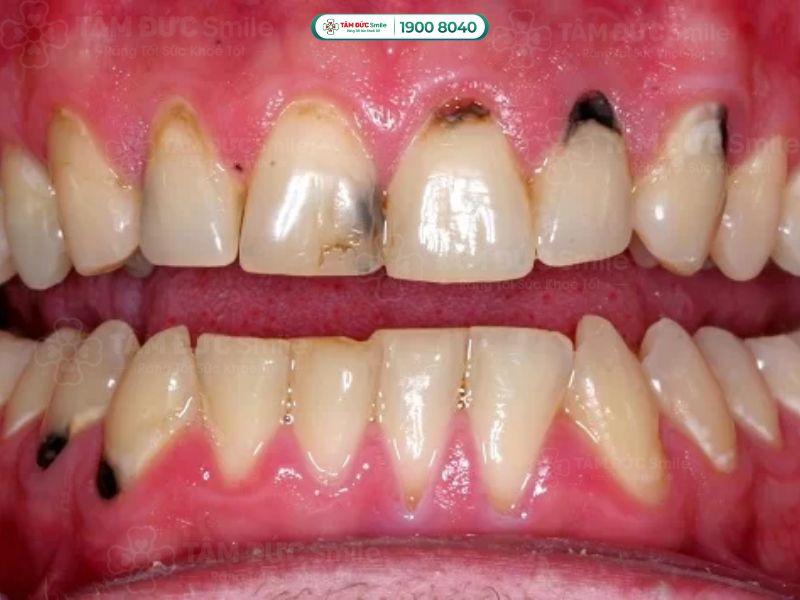
Sâu răng sát nướu gây đau nhức, làm suy giảm chức năng của răng và ảnh hưởng đến thẩm mỹ. Hiện nay có 3 phương pháp chữa sâu răng sát nướu hiệu quả giúp bạn bảo vệ sức khỏe răng miệng của mình.

Sâu răng sát nướu gây đau nhức, làm suy giảm chức năng của răng và ảnh hưởng đến thẩm mỹ
2.1. Hàn trám răng
Hàn trám răng là phương pháp được áp dụng cho các trường hợp sâu răng sát nướu ở mức độ nhẹ đến trung bình. Bác sĩ sẽ loại bỏ phần răng bị sâu, làm sạch khu vực này và sau đó sử dụng vật liệu trám như: Composite, amalgam,... để lấp đầy lỗ hổng.
Trong trường hợp tủy răng đã bị hoại tử, hàn trám răng chỉ là giải pháp tạm thời. Do tủy răng đã chết, răng không còn được cung cấp dinh dưỡng nên giòn hơn. Miếng trám dễ bong tróc, sứt mẻ hoặc vỡ sau một thời gian sử dụng. Răng hoại tử tủy có cấu trúc yếu nên hàn trám không thể cải thiện hoàn toàn sức nhai như trước.
2.2. Nhổ bỏ răng sâu sát nướu và trồng răng Implant
Phương pháp này phù hợp cho các trường hợp sâu răng sát nướu ở mức độ nặng hoặc răng bị gãy nứt, không thể hàn trám. Bác sĩ sẽ nhổ bỏ răng sâu và cấy trụ Implant vào vị trí chân răng. Sau khi trụ Implant tích hợp vào xương hàm, bác sĩ sẽ gắn răng sứ lên trên để phục hồi chức năng và thẩm mỹ cho răng.
Ưu điểm của phương pháp nhổ bỏ răng sâu sát nướu và trồng răng Implant:
- Thay thế răng vĩnh viễn: Răng Implant có độ bền chắc cao và có tuổi thọ lâu dài, giúp bạn thoải mái ăn nhai và tự tin giao tiếp.
- Thẩm mỹ cao: Răng Implant có màu sắc và hình dạng giống răng thật, giúp bạn sở hữu nụ cười rạng rỡ và tự tin.
- Giảm nguy cơ tiêu xương hàm: Trồng răng Implant giúp bảo tồn xương hàm, ngăn ngừa tình trạng tiêu xương do mất răng lâu ngày.

Trồng răng Implant phù hợp cho các trường hợp sâu răng sát nướu ở mức độ nặng hoặc răng bị gãy nứt, không thể hàn trám
2.3. Nhổ bỏ răng sâu sát nướu và làm cầu răng sứ
Khi răng sâu sát nướu không thể cứu chữa bằng các phương pháp khác, bạn nên nhổ răng để ngăn ngừa nhiễm trùng và biến chứng. Bên cạnh trồng răng implant, bạn có thể chọn giải pháp làm cầu răng sứ để lấp đầy khoảng trống của chiếc răng đã nhổ. Với phương pháp này, bác sĩ sẽ mài nhỏ 2 chiếc răng kề cận để làm trụ đỡ cho cầu răng. Sau đó, bác sĩ sẽ lấy dấu răng để chế tạo cầu răng sứ. Khi cầu răng sứ hoàn thành, bác sĩ sẽ gắn cố định cầu răng lên các răng trụ đã mài. Cầu răng sứ sẽ được kiểm tra và điều chỉnh để đảm bảo khớp cắn và chức năng nhai tốt nhất.
Ưu điểm của phương pháp nhổ bỏ răng sâu sát nướu và làm cầu răng sứ:
- Phục hồi chức năng nhai: Cầu răng sứ giúp khôi phục chức năng nhai, giúp bạn ăn uống thoải mái mà không gặp khó khăn.
- Thẩm mỹ cao: Cầu răng sứ có màu sắc và hình dáng tương đồng với răng tự nhiên, mang lại nụ cười đẹp và tự nhiên cho bạn.
- Chi phí thấp: So với trồng răng implant, cầu răng sứ thường có chi phí thấp hơn, phù hợp với nhiều đối tượng
Nhược điểm của phương pháp nhổ bỏ răng sâu sát nướu và làm cầu răng sứ:
- Mài răng kế cận: Mài nhỏ hai răng kế cận để làm trụ sẽ ảnh hưởng đến cấu trúc của các răng này, làm chúng yếu đi và dễ bị tổn thương.
- Không ngăn ngừa tiêu xương: Cầu răng sứ không kích thích xương hàm tại vị trí răng đã nhổ. Do đó, dẫn đến nguy cơ tiêu xương và thay đổi cấu trúc khuôn mặt theo thời gian.
- Tuổi thọ hạn chế: Cầu răng sứ có tuổi thọ khoảng 10-15 năm, sau đó bạn cần phải thay mới. Răng trụ cũng có thể bị sâu răng hoặc nhiễm trùng, ảnh hưởng đến tuổi thọ của cầu răng.

Nhổ bỏ răng sâu sát nướu và làm cầu răng sứ
3. Giải pháp phòng ngừa sâu răng sát nướu
Sâu răng sát nướu là vấn đề nghiêm trọng gây đau nhức và biến chứng nếu không được phòng ngừa đúng cách. Để bảo vệ sức khỏe răng miệng và ngăn ngừa sâu răng sát nướu, bạn cần thực hiện một số biện pháp dưới đây.
3.1. Vệ sinh răng miệng sạch sẽ sau khi ăn
Để phòng ngừa sâu răng sát nướu, vệ sinh răng miệng sạch sẽ sau khi ăn là cực kỳ quan trọng. Mỗi lần ăn uống, mảnh vụn thức ăn và vi khuẩn bám vào răng và nướu, tạo điều kiện cho sâu răng phát triển. Do đó, bạn nên áp dụng những cách sau đây để vệ sinh răng miệng hiệu quả:
- Đánh răng đúng cách: Bạn nên đánh răng ít nhất 2 lần mỗi ngày, đặc biệt là sau các bữa ăn. Bạn nên sử dụng kem đánh răng chứa fluoride và bàn chải mềm để làm sạch các mảng bám mà không làm tổn thương nướu. Đảm bảo đánh sạch cả vùng sát nướu để ngăn ngừa sâu răng sát nướu.
- Sử dụng chỉ nha khoa hoặc tăm nước: Chỉ đánh răng thôi chưa đủ để làm sạch hoàn toàn các mảnh vụn thức ăn giữa các kẽ răng và vùng nướu. Bạn nên sử dụng thêm chỉ nha khoa hoặc tăm nước để làm sạch những vùng mà bàn chải không thể len lỏi được.
- Súc miệng với nước muối: Sau mỗi bữa ăn, bạn nên súc miệng với nước muối ấm để khử trùng và làm sạch vùng miệng, giảm nguy cơ sâu răng sát nướu.
3.2. Cạo vôi răng định kỳ
Vôi răng là mảng bám cứng tích tụ trên răng và nướu. Nếu không được loại bỏ, nó sẽ gây viêm nướu và sâu răng sát nướu. Do đó, bạn nên đến nha khoa ít nhất 6 tháng một lần để kiểm tra răng miệng và cạo vôi răng. Việc này không chỉ giúp loại bỏ cao răng mà còn phát hiện và điều trị các vấn đề răng miệng. Cạo vôi răng định kỳ còn giúp giữ cho vùng nướu luôn sạch sẽ và khỏe mạnh.

Bạn nên đến nha khoa ít nhất 6 tháng một lần để kiểm tra răng miệng và cạo vôi răng
3.3. Hạn chế các thực phẩm làm hại răng
Bên cạnh vệ sinh răng miệng đúng cách và lấy cao răng định kỳ, bạn cũng cần chú ý đến chế độ ăn uống. Bạn cần hạn chế ăn các thực phẩm sau đây để ngăn ngừa viêm nướu và sâu răng sát nướu:
- Đường và thực phẩm ngọt: Khi bạn ăn kẹo, bánh ngọt, nước có ga,... đường sẽ bám vào răng và tạo điều kiện cho vi khuẩn sinh sôi, gây sâu răng và viêm nướu.
- Thực phẩm chua: Các loại trái cây như: Chanh, cam,... và các loại đồ uống chứa axit citric làm mòn men răng, làm yếu răng và tăng nguy cơ sâu răng sát nướu.
- Thực phẩm cứng: Ăn kẹo cứng. đá lạnh, hay các loại hạt có vỏ cứng dễ làm tổn thương men răng và gây nứt, gãy răng. Điều này tạo điều kiện cho sâu răng và viêm nướu phát triển, gây mất răng.
- Thực phẩm dính: Kẹo chip chip, bánh kẹp marshmallow... dễ dính vào răng, tạo môi trường lý tưởng cho vi khuẩn phát triển, tấn công răng và nướu. Từ đó gây sâu răng sát nướu.
Để bảo vệ sức khỏe răng miệng bạn nên bổ sung các thực phẩm tốt cho răng như:
- Rau xanh: Rau xanh cung cấp vitamin và khoáng chất giúp nướu khỏe mạnh và chống lại vi khuẩn. Bạn có thể chọn mua các loại rau xanh như: Diếp cá, rau bina, cải xoăn, súp lơ xanh,...
- Trái cây: Trái cây chứa nhiều vitamin C, giúp tăng cường sức đề kháng cho cơ thể và bảo vệ sức khỏe nướu. Bạn có thể bổ sung vitamin C bằng cách ăn táo, lê, dưa hấu,... Tuy nhiên, hầu hết các loại trái cây đều chứa axit tự nhiên như: Axit citric, axit malic,.... Do đó, bạn nên ăn với lượng vừa đủ để không làm mòn men răng.
- Sữa và các chế phẩm từ sữa: Các sản phẩm từ sữa như: Sữa chua, váng sữa, phô mai,... chứa rất nhiều canxi. Canxi là khoáng chất giúp củng cố men răng và xương hàm, giúp răng chắc khỏe và ngăn ngừa sâu răng sát nướu.
- Nước: Uống đủ nước giữ cho miệng luôn ẩm, rửa sạch mảng bám, từ đó ngăn ngừa sâu răng. Bạn nên uống ít nhất 8 ly nước mỗi ngày để duy trì sức khỏe răng miệng và cơ thể.
Tóm lại, sâu răng sát nướu gây ảnh hưởng lớn đến sức khỏe răng miệng và tổng thể. Nhổ răng sâu có thể làm bạn lo lắng, nhưng với sự tiến bộ của y học, quá trình này đã ít đau và an toàn hơn. Sau khi nhổ răng, bạn nên trồng răng Implant hoặc làm cầu răng sứ để thay thế răng đã mất, giúp bạn phục hồi chức năng ăn nhai. Để phòng ngừa sâu răng sát nướu, bạn nên vệ sinh răng miệng đúng cách, khám nha khoa định kỳ và duy trì chế độ ăn uống khoa học.
Bạn cần chữa trị sâu răng, hãy liên hệ với bác sĩ của Tâm Đức Smile để được thăm khám bằng cách:
- Gọi đến Hotline 19008040 - 0329851079 (Có sử dụng Zalo/Viber).
- Điền thông tin vào bảng sau đây.


