RĂNG SÂU LÀ GÌ? DẤU HIỆU NHẬN BIẾT, 5 NGUYÊN NHÂN GÂY RA VÀ CÁCH PHÒNG TRÁNH
1. Sâu răng là gì?
Như thế nào là sâu răng? Sâu răng là bệnh về đường răng miệng, xuất hiện ở mọi lứa tuổi. Sâu răng xuất hiện do vi khuẩn kết hợp cùng axit bào mòn men răng, ngà răng và có thể đến cả tủy răng. Sâu răng không được điều trị kịp thời từ giai đoạn đầu sẽ ảnh hưởng sức khỏe răng miệng về sau.
1.1. Dấu hiệu bị sâu răng
Những đốm nhỏ li ti hoặc các lỗ hổng lớn trên răng là dấu hiệu của sâu răng. Sâu răng làm cho răng thay đổi màu sắc: Răng có màu đen, nâu hoặc trắng ngà.
Sâu răng có thể xuất hiện ở bất cứ vị trí nào trên hàm răng. Các lỗ sâu làm mất kết cấu tự nhiên của răng, răng trở nên nhạy cảm. Các dấu hiệu có thể cảm nhận được là:
- Răng ê buốt khi ăn thức ăn quá lạnh hoặc quá nóng như súp, lẩu, kem lạnh,…
- Đau răng âm ỉ từng cơn trong lúc nghỉ hoặc khi ăn nhai, khu vực đau tập trung vào các răng bị sâu.
Các dấu hiệu trên đã giải đáp thêm cho câu hỏi sâu răng là gì.

Những đốm nhỏ li ti hoặc các lỗ hổng lớn trên răng là dấu hiệu của sâu răng
1.2. Các mức độ của răng sâu
Tuỳ vào mức độ phát triển của sâu răng, có thể sắp xếp thành 4 cấp độ riêng biệt. Bạn cần phân biệt từng mức độ để biết thực trạng sâu răng của mình đang ở giai đoạn nào, và từ đó tìm cách xử lý thích hợp.
1.2.1. Sâu răng độ 1 là gì?
Sâu răng độ 1 là giai đoạn nhẹ nhất trong 4 mức độ, rất khó để nhận biết. Vì men răng không có dây thần kinh, nên khi vi khuẩn ăn mòn lớp răng này, bạn hoàn toàn không có cảm giác đau, ê buốt răng.
Ở giai đoạn này, răng bắt đầu xỉn màu và xuất hiện các chấm nhỏ li ti, bạn có thể nhận biết nếu soi kỹ thân răng. Vì khó nhận biết, nên có nhiều trường hợp răng bị ăn mòn mất lớp men răng và chuyển sang mức độ nặng hơn.

Sâu răng độ 1, răng bắt đầu xỉn màu và xuất hiện các chấm nhỏ li ti
1.2.2. Sâu răng độ 2 là gì?
Sâu răng độ 2 biểu thị cho sự chuyển biến mới của sâu răng. Lúc này, răng của bạn đã có dấu hiệu mất khoáng và men răng. Bề mặt răng xuất hiện các đốm nâu lớn, vi khuẩn và axit bắt đầu bào mòn ngà răng. Ngà răng có kết cấu khác với men răng, tại đây có ống ngà chứa tế bào ngà.
Khi vi khuẩn ăn vào lớp ngà răng, răng của bạn sẽ xuất hiện dấu hiệu ê buốt, đau nhức. Điều này còn diễn ra với cường độ mạnh hơn, đặc biệt là khi bạn dùng các món ăn nóng, lạnh, dai cứng.
Ở mức độ 2, sâu răng đã có những dấu hiệu cụ thể, tuy nhiên vẫn có nhiều người xem nhẹ và chọn thuốc giảm đau để khắc phục. Điều này gây ảnh hưởng nghiêm trọng đến răng.

Với sâu răng độ 2, bề mặt răng sẽ xuất hiện các đốm nâu lớn
1.2.3. Sâu răng độ 3 là gì?
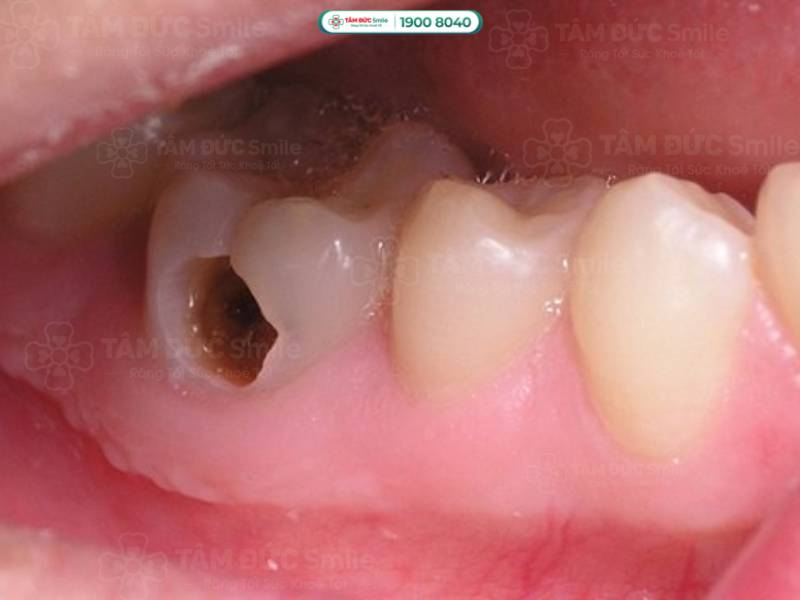
Dấu hiệu sâu răng độ 3 sẽ giúp bạn giải đáp thắc mắc răng sâu là gì. Tại thời điểm này, răng bị sâu xuất hiện các lỗ đen lớn, lộ ngà răng. Nếu không điều trị kịp thời, vi khuẩn sẽ phá huỷ đến lớp cuối cùng của răng là tuỷ răng.
Tủy răng có cấu trúc phức tạp, bao gồm các dây thần kinh và mạch máu. Tủy răng là thành phần quan trọng quyết định sự sống của răng. Tủy răng bị nhiễm khuẩn sẽ ảnh hưởng nghiêm trọng đến răng, gây đau nhức dữ dội, hoạt động ăn nhai diễn ra khó khăn hơn.

Dấu hiệu sâu răng độ 3 sẽ xuất hiện các lỗ đen lớn, lộ ngà răng
1.2.4. Sâu răng độ 4 là gì?
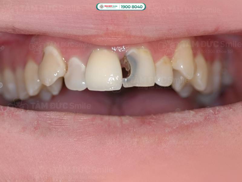
Cấp độ 4 là giai đoạn sâu răng nghiêm trọng nhất, nếu không can thiệp kịp thời sẽ tạo điều kiện cho vi khuẩn lan đến vùng nha chu. Ở giai đoạn này, các lỗ sâu răng trở nên lớn hơn, răng có thể bị mẻ hoặc vỡ thân răng. Điều này dẫn đến các triệu chứng như sưng mặt, tiêu xương, rụng răng, ảnh hưởng đến các răng lân cận…

Sâu răng độ 4 gây mẻ hoặc vỡ thân răng
1.3. Biến chứng do sâu răng gây ra
Biến chứng của sâu răng là một trong những nội dung trả lời cho câu hỏi sâu răng là gì. Sâu răng là bệnh gây ảnh hưởng nghiêm trọng đến sức khỏe răng miệng. Mời bạn cùng điểm qua những biến chứng có thể xuất hiện nếu không có biện pháp chữa trị sâu răng kịp thời.
1.3.1. Viêm nướu nha chu khi bị sâu răng
Viêm nướu nha chu, hay còn gọi là bệnh nha chu là bệnh mạn tính, thường xảy ra khi các vùng quanh răng (nướu) bị viêm nhiễm. Trong trường hợp sâu răng, chân răng bị viêm nghiêm trọng dẫn đến viêm nướu, viêm nha chu, thậm chí mất răng.
1.3.2. Sâu răng nặng dẫn đến hoại tử tủy răng
Các trường hợp sâu răng nặng, theo thời gian không điều trị sẽ dẫn đến hoại tử tủy răng. Tủy răng là thành phần quan trọng bảo vệ sự phát triển của răng, khi tủy bị hoại tử sẽ làm cho răng mất cảm giác. Tủy răng là nguồn sống của răng, tủy răng chết làm tuổi thọ của răng bị rút ngắn. Ngoài ra biến chứng hoại tử tủy răng còn dẫn đến nhiễm trùng, tiêu xương hàm, làm biến dạng khuôn mặt...

Sâu răng nặng không điều trị dẫn đến hoại tử tủy răng
1.3.3. Nhiễm trùng chóp răng do sâu răng kéo dài
Sâu răng có thể gây ra biến chứng nhiễm trùng chóp răng. Vì khi sâu răng nặng, vùng quanh chóp răng sẽ bị viêm nhiễm, hoặc do viêm tủy lây lan đến các vùng lân cận, dẫn đến nhiễm trùng chóp răng.
Nhiễm trùng chóp răng phá huỷ cấu trúc xương răng và tuỷ răng, kéo theo những cơn đau nhức vùng ổ răng… Nếu không có phương pháp điều trị kịp thời sẽ ảnh hưởng nghiêm trọng đến ổ chân răng, xương răng, thậm chí mất răng.
1.3.4. Răng sâu dễ bị gãy rụng, gây tiêu xương hàm, xô lệch răng
Sâu răng là nguyên nhân làm cho răng gãy rụng, tiêu xương hàm hoặc xô lệch răng.
Vi khuẩn từ sâu răng có thể dẫn đến viêm nướu, viêm nha chu, làm răng trở nên nhạy cảm, dễ rụng. Viêm tủy răng cũng là nguyên nhân gây rụng răng ở người sâu răng. Vì trong trường hợp tủy răng bị hoại tử hoàn toàn, không có khả năng chữa trị, tất yếu phải nhổ bỏ răng vĩnh viễn.
Mất răng về lâu dài sẽ dẫn đến tiêu xương hàm. Vì khi răng bị mất, khoảng trống đó không còn tác động từ lực nhai đến xương hàm, gây tiêu xương. Theo nghiên cứu, vùng xương hàm (ngay tại vị trí mất răng) sẽ bị tiêu biến đến 60% sau khoảng 3 năm. Tiêu xương hàm gây teo nướu, lão hóa khuôn mặt, làm lệch khớp cắn…
Sâu răng dẫn đến mất răng, về lâu dài các răng xung quanh có xu hướng nghiêng đổ. Đây là nguyên nhân gây xô lệch răng, sai khớp cắn.
1.3.5. Sâu răng ảnh hưởng đến thẩm mỹ nụ cười
Sâu răng làm cho răng xỉn màu, tạo thành các lỗ sâu màu đen trên răng, rụng răng,... tất cả đều làm mất thẩm mỹ nụ cười. Nếu sâu răng xuất hiện ở răng cửa, nụ cười sẽ kém duyên hơn. Sâu răng làm bạn trở nên tự ti, ngại hé răng, ít cười khi giao tiếp với mọi người xung quanh. Sâu răng cản trở quá trình giao tiếp, từ đó dễ làm mất đi cơ hội thăng tiến trong công việc cũng như trong các mối quan hệ.

Sâu răng, đặc biệt là răng cửa sẽ làm mất thẩm mỹ nụ cười
1.3.6. Sâu răng kéo theo những cơn đau
Sâu răng ở giai đoạn 3, 4 làm lộ ngà răng, gây viêm nướu, viêm tủy… Khi đó, các cơn đau nhức dai dẳng là điều không thể tránh khỏi.
Cảm giác đau nhức bởi sâu răng rất khó chịu và ảnh hưởng nhiều đến tinh thần. Phải chịu đựng đau nhức từng cơn, người bệnh sâu răng thường ăn không ngon, biếng ăn, dễ cáu gắt, nóng nảy, gây phiền lòng cho người xung quanh…
2. Nguyên nhân gây sâu răng
Ngoài tìm hiểu về dấu hiệu của sâu răng là gì, mời bạn theo dõi tiếp những nguyên nhân nào dẫn đến sâu răng.
Sâu răng hình thành bởi: Vệ sinh răng miệng sai cách, men răng yếu, do cao răng tích tụ, dùng chất kích thích…
2.1. Vệ sinh răng miệng sai cách
Sâu răng là gì? - Là hệ quả của việc vệ sinh răng miệng sơ sài, chưa khoa học. Trường hợp này thường thấy ở trẻ nhỏ, do chưa được chỉ dẫn kỹ về việc chăm sóc răng, nên vi khuẩn dễ dàng sinh sôi, gây sâu răng.
Các hoạt động vệ sinh răng miệng sai cách có thể kể đến như:
- Đánh răng dưới 2 lần trong ngày hoặc đánh răng quá nhiều lần trong ngày (trên 3 lần).
- Đánh răng quá mau (dưới 2 phút), sơ sài, chải răng theo chiều ngang, không vệ sinh lưỡi, kẽ răng… Lưu ý, đánh răng quá lâu cũng không tốt cho răng và nướu, thời gian khuyến nghị là 2 phút cho mỗi lần vệ sinh.
- Sử dụng bàn chải không đúng kích thước , bàn chải dùng trong thời gian dài và có dấu hiệu đã mòn lông chải.
- Không sử dụng chỉ nha khoa, tăm nước… để loại bỏ các mảng thức ăn còn sót lại sau khi ăn.
- Đánh răng ngay sau khi ăn: Vì sau khi ăn, men răng đang mềm vì lượng axit tiết ra trong thức ăn, nếu đánh răng ngay dễ làm mòn răng.
- Dùng kem đánh răng không có flour: Flour là chất cần thiết để răng khỏe mạnh, nếu không dùng kem đánh răng có chứa flour, răng dễ bị sâu.
2.2. Ăn nhiều bánh ngọt, nước ngọt
Bánh ngọt, nước ngọt là nguyên nhân dẫn đến sâu răng. Nếu bạn không vệ sinh răng miệng kỹ lưỡng, đúng cách sau khi ăn, sẽ có nguy cơ sâu răng cao. Hàm lượng đường có trong thức ăn ngọt tạo điều kiện cho vi khuẩn có hại sinh sôi. Các loại bánh kẹo dẻo, dai, thường dễ bám sâu vào kẽ răng, dẫn đến khó khăn trong việc vệ sinh.

Bánh ngọt là nguyên nhân lớn dẫn đến sâu răng
2.3. Hút thuốc lá là nguyên nhân gây sâu răng
Sâu răng là gì? - Là một trong những hậu quả từ việc hút thuốc lá. Trong thuốc lá có đến hàng trăm thành phần có hại cho sức khỏe, ảnh hưởng đến răng miệng là điều không thể tránh khỏi.
Hút thuốc quá nhiều dễ tích tụ các mảng bám và cao răng, tạo điều kiện thuận lợi cho vi khuẩn gây sâu răng. Hút thuốc lá (kể cả thuốc lá điện tử) có thể gây nhiều bệnh khác về răng miệng như: Bệnh nha chu, tiêu xương hàm, ung thư miệng…
Theo nghiên cứu, khói thuốc lá cũng làm tăng nguy cơ sâu răng ở trẻ em. Trẻ em hít phải khói thuốc gây viêm màng miệng, làm chức năng tuyến nước bọt tổn thương, rối loạn miễn dịch, giảm nồng độ vitamin C ở huyết thanh. Các vấn đề trên dẫn đến bệnh sâu răng ở trẻ. Trẻ em sống trong môi trường nhiều khói thuốc sẽ có nồng độ axit oxalic và hoạt tính ở tuyến nước bọt cao hơn. Điều này thúc đẩy nhanh quá trình phát triển mảng bám và sâu răng.
2.4. Cao răng tích tụ gây sâu răng
Cao răng (hay còn gọi là vôi răng) là lớp vôi cứng trên bề mặt răng. Cao răng hình thành từ mảng bám bị vôi hoá bởi muối có trong nước bọt, kết hợp cùng các mảng thức ăn hoặc thành phần khoáng trong miệng. Vi khuẩn có trong cao răng sẽ lên men đường (trong thức ăn) tạo thành axit bào mòn men răng và dẫn đến sâu răng.
2.5. Nguyên nhân gây sâu răng do men răng yếu
Nguyên nhân gây sâu răng là gì, câu trả lời là do men răng yếu. Khi bạn có men răng yếu, răng rất nhạy cảm, dễ bị vi khuẩn bào mòn hơn bình thường. Hơn nữa, sâu răng có thể ăn sâu vào lớp ngà và tủy răng, làm ảnh hưởng nghiêm trọng đến sức khỏe răng miệng về sau.
3. Cách chữa sâu răng hiệu quả
Khi nhận thấy dấu hiệu của của sâu răng, bạn cần đến nha khoa uy tín để điều trị kịp thời. Tại nha khoa, bác sĩ sẽ giúp bạn giải đáp răng sâu là gì, và chữa trị dứt điểm sâu răng. Sau đây là một số phương pháp chữa sâu răng hiệu quả.


Tâm Đức Smile là nha khoa uy tín mà khách hàng tin tưởng lựa chọn để chữa sâu răng
3.1. Trám răng sâu
Trám răng sâu là phương pháp phổ biến, có ưu điểm là hồi phục hình dạng ban đầu nhưng không làm thay đổi cấu trúc của răng. Các bước trám răng sâu gồm:
- Bước 1: Bác sĩ thăm khám để xác định mức độ sâu răng và tư vấn thêm về vật liệu trám răng phù hợp với răng của bạn.
- Bước 2: Vệ sinh và loại bỏ các mô răng bị sâu, sau đó dùng vật liệu trám đặt vào lỗ sâu răng. Tiếp theo dùng công nghệ laser làm đông vật liệu trám.
- Bước 3: Sau khi trám, bác sĩ mài bề mặt vật liệu, giúp răng tương thích với khớp cắn để bạn có cảm giác ăn nhai tự nhiên hơn.
3.2. Điều trị tủy răng để bảo tồn răng gốc
Trường hợp bị sâu răng dẫn đến viêm tủy răng cần đến ngay nha khoa để điều trị. Viêm tủy răng không thể tự phục hồi, cần can thiệp ngay để tránh gây biến chứng hoặc ảnh hưởng đến các răng lân cận.
Các bước điều trị tủy gồm 5 bước:
- Bước 1: Bác sĩ kiểm tra sức khỏe răng miệng, chụp hình x-quang để đánh giá mức độ và vị trí răng viêm tuỷ.
- Bước 2: Vệ sinh răng miệng để tránh nhiễm khuẩn, sau đó là gây tê. Lưu ý: Vì tủy răng chứa các tế bào thần kinh nên gây tê chỉ có thể làm giảm mức độ đau nhức trong khi chữa trị tuỷ.
- Bước 3: Bác sĩ đặt đế cao su bao trùm lên răng, chỉ chừa phần răng cần điều trị ra bên ngoài. Thao tác này nhằm giúp cho răng chữa tủy khô ráo, ngăn ngừa nhiễm trùng…
- Bước 4: Mở tuỷ bằng thiết bị nha khoa chuyên dụng, giúp bác sĩ biết được chiều dài ống tủy. Tiếp theo, bác sĩ dùng ống hút để lấy đi phần tủy răng bị hoại tử, sau đó làm sạch và điều chỉnh ống tủy.
- Bước 5: Bác sĩ trám lại phần lỗ đã khoan trên răng ban đầu bằng vật liệu chuyên dụng trong nha khoa.

Bạn cần đến nha khoa để điều trị sâu răng ngay
3.3. Nhổ bỏ răng khi răng sâu quá nặng
Các trường hợp sâu quá nặng, không thể bảo tồn răng được nữa thì cần nhổ bỏ.
- Bước 1: Bác sĩ kiểm tra răng miệng, chụp x-quang để đánh giá mức độ sâu răng, từ đó lên kế hoạch nhổ răng phù hợp. Bác sĩ sẽ giải đáp tất cả các thắc mắc xoay quanh vấn đề sâu răng là gì.
- Bước 2: Vệ sinh răng miệng để làm sạch khoang miệng, tránh các rủi ro trong lúc trồng răng.
- Bước 3: Bác sĩ gây tê (bằng cách tiêm hoặc bôi thuốc) vùng răng sâu sẽ nhổ, sau khi thuốc tê phát huy tác dụng, sẽ tiến hành nhổ răng.
- Bước 4: Bác sĩ sử dụng các dụng cụ, các thiết bị chuyên dụng để nhổ răng.
Sau khi nhổ răng sâu, bạn nên trồng lại răng để không làm ảnh hưởng đến sức khỏe răng miệng về lâu dài. Các trường hợp xấu có thể kể đến khi không trồng răng như: Ảnh hưởng đến tiêu hoá, tiêu xương răng, mất răng kế bên, mất thẩm mỹ khuôn mặt…
3.4. Trồng răng Implant để phòng tránh tiêu xương hàm
Trồng răng Implant là phương pháp trồng răng giả được ưa chuộng hiện nay. Cấy Implant có ưu điểm là chất lượng, mang lại thẩm mỹ cao và giá thành thích hợp. Trồng răng Implant được thực hiện với các bước như sau:
- Bước 1: Bác sĩ kiểm tra tổng quát sức khỏe răng miệng, sau đó tư vấn các loại vật liệu, thời gian trồng Implant thích hợp.
- Bước 2: Xét nghiệm máu để đảm bảo sức khỏe của bạn đang trong tình trạng tốt nhất. Sau đó, bác sĩ sẽ phẫu thuật cắm trụ Implant. Xong bước này, bạn sẽ chờ một khoảng thời gian để trụ Implant tích hợp với xương hàm.
- Bước 3: Sau khoảng thời gian chờ đợi, sẽ tiến hành đặt khớp nối abutment. Bác sĩ cắt phần lợi đã lành trên trụ Implant để gắn khớp nối vào, sau đó ghép lại mô lợi (không che phần khớp abutment). Khớp nối abutment là trung gian kết nối giữa trụ Implant và răng sứ. Nếu bạn đã đặt luôn khớp này vào trụ Implant ở bước 2 thì không cần phải thực hiện bước này.
- Bước 4: Bác sĩ lấy dấu răng, để tạo răng giả thích hợp với khuôn răng của bạn. Sau khi hoàn thành, răng sứ sẽ được gắn vào phần khớp nối.

Trồng răng Implant là phương pháp trồng răng giả được ưa chuộng hiện nay
4. Phòng tránh sâu răng ngay từ bây giờ
Răng sâu là bệnh về răng miệng nguy hiểm, làm ảnh hưởng đến sức khỏe cũng như thẩm mỹ khuôn mặt. Ngay từ bây giờ, bạn nên có phương pháp phòng tránh nguy cơ sâu răng. Khi răng được bảo vệ, bạn sẽ không phải thắc mắc sâu răng là gì.
Mời bạn cùng tham khảo những cách phòng tránh bệnh sâu răng được đề cập dưới đây.
4.1. Cạo vôi răng định kỳ để men răng khỏe mạnh hơn
Mảnh vụn thức ăn đôi khi khó làm sạch bằng phương pháp chăm sóc răng miệng thông thường, từ đó tạo điều kiện hình thành vôi răng. Như thế, bạn cần cạo vôi răng định kỳ để giúp men răng khỏe mạnh hơn, răng trở nên trắng sáng, sạch sẽ. Cạo vôi răng thường xuyên không chỉ ngăn ngừa sâu răng mà còn giảm thiểu các bệnh về răng miệng như: Tiêu xương hàm, mất răng…
Theo chuyên gia, bạn nên đến nha khoa để cạo vôi răng 6 tháng một lần. Tránh thực hiện nhiều lần trong thời gian ngắn, dễ ảnh hưởng xấu đến răng, làm răng nhạy cảm, ê buốt …
4.2. Bọc răng sứ để bảo vệ răng khỏi bị sâu
Trường hợp sâu răng nhưng không thể khắc phục bằng phương pháp trám răng, bọc răng sứ sẽ là giải pháp hữu hiệu dành cho bạn. Với ưu điểm là có độ bền và thẩm mỹ cao, bọc răng sứ sẽ bảo vệ răng trước các tác nhân gây hại.
Các bước bọc răng sứ để bảo vệ răng sâu gồm:
- Bước 1: Bác sĩ kiểm tra tổng quát sức khỏe răng miệng, sau đó tư vấn về quy trình bọc răng sứ.
- Bước 2: Gây tê vùng răng cần bọc sứ, sau đó mài cùi răng và lấy dấu răng. Trong thời gian chờ bọc sứ, bạn sẽ được gắn răng giả tạm thời, để thuận tiện cho việc ăn nhai.
- Bước 3: Chế tác răng sứ theo kích thước, màu sắc răng của bạn.
- Bước 4: Bác sĩ gắn răng sứ và kiểm tra chất lượng răng.


Bọc răng sứ vừa thẩm mỹ vừa bảo vệ răng khỏi bị sâu
4.3. Đánh răng đúng cách để phòng tránh sâu răng
Nguyên nhân sâu răng là gì? Câu trả lời là hệ quả của việc đánh răng không đúng cách. Ngay từ bây giờ, bạn cần có phương pháp đánh răng khoa học nhằm ngăn ngừa bệnh sâu răng.
Bạn nên đánh răng ít nhất 2 lần (sáng và tối) trong ngày, cách 30 phút sau khi ăn. Bạn cần chải răng đúng cách, nhẹ nhàng theo chiều từ trên xuống (2 phút cho một lần). Lưu ý, không chà xát quá mạnh gây ảnh hưởng đến men răng.
4.4. Bổ sung thực phẩm tốt cho răng
Bạn nên bổ sung các thực phẩm có lợi để răng chắc khỏe. Điều này ngăn ngừa tình trạng thiếu dưỡng chất làm răng suy yếu. Các loại thực phẩm tốt cho răng có thể kể đến là:
- Sữa chua: Trong sữa chua giàu các chất dinh dưỡng có lợi như vitamin và canxi, giúp cho răng chắc khỏe từ bên trong.
- Phô mai: Là một trong những món ăn nhẹ tốt cho sức khỏe răng miệng, phô mai giúp tăng cường canxi và protein, bảo vệ bạn khỏi sâu răng.
- Cần tây: Chứa nhiều chất chống oxi hoá và vitamin C, ngoài ngăn ngừa sâu răng, cần tây còn giúp nướu khỏe mạnh, giảm thiểu viêm nhiễm…
- Sử dụng các thực phẩm giàu tinh bột như gạo, khoai tây, bánh mì… thay cho các loại chứa nhiều đường (bánh ngọt, kẹo…) cũng là cách ngừa sâu răng.
4.5. Kiểm tra sức khỏe răng miệng định kỳ
Kiểm tra sức khỏe răng miệng định kỳ là cách ngăn ngừa bệnh sâu răng hiệu quả. Có nhiều trường hợp chủ quan, không khám răng định kỳ, không đến nha khoa để kiểm tra khi nhận thấy các dấu hiệu sâu răng. Về lâu dài, sâu răng sẽ biến chuyển nặng hơn và ảnh hưởng nghiêm trọng đến sức khỏe răng miệng. Vì thế, kiểm tra sức khỏe răng miệng định kỳ là một việc hết sức cần thiết.
Khi đến khám định kỳ tại nha khoa, bác sĩ sẽ kiểm tra và cho bạn biết tình hình sức khỏe răng miệng tổng quát. Nếu có bất cứ dấu hiệu nào của sâu răng hoặc là các bệnh răng miệng khác, bác sĩ sẽ theo dõi và chữa trị kịp thời. Ngoài việc giải đáp thắc mắc răng sâu là gì, bác sĩ còn hướng dẫn bạn cách chăm sóc răng miệng khoa học, khỏe mạnh.
Trên đây là thông tin giúp bạn giải đáp thắc mắc: “Răng sâu là gì?”. Mong rằng bạn đã có thêm những kiến thức bổ ích để bảo vệ sức khỏe răng miệng của mình. Nếu đang gặp vấn đề về sức khoẻ răng miệng, bạn hãy liên hệ ngay với nha khoa Tâm Đức Smile qua Hotline 19008040 - 0329851079 (Có sử dụng Zalo/Viber) hoặc điền thông tin vào bảng sau đây.


