MẢNG BÁM TRẮNG TRÊN RĂNG LÀ GÌ? LÀM SAO ĐỂ LOẠI BỎ VĨNH VIỄN?
1. Nguyên nhân gây ra mảng bám trắng trên răng
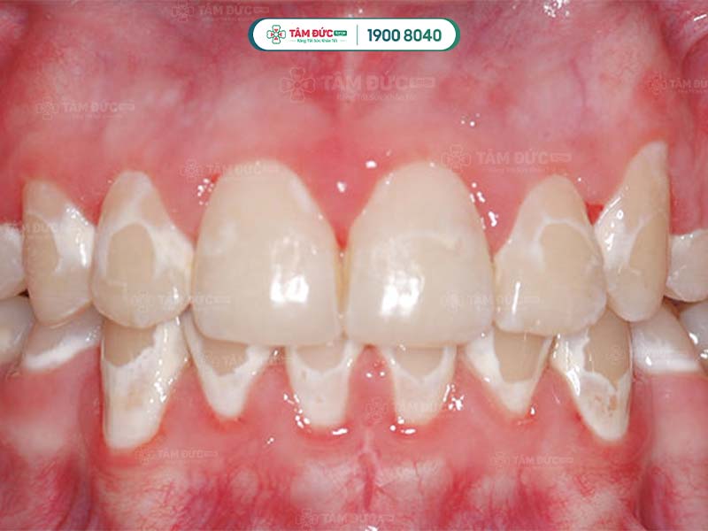
Mảng bám trắng trên răng là những tổn thương nhỏ, màu trắng hoặc trắng đục, xuất hiện trên bề mặt răng. Chúng có thể xuất hiện ở cả răng sữa hoặc răng vĩnh viễn và gây mất thẩm mỹ. Có nhiều nguyên nhân gây ra mảng bám trắng trên răng, bao gồm:
- Nhiễm Fluor: Fluor là khoáng chất cần thiết cho sức khỏe răng miệng, nhưng nếu hấp thụ quá nhiều Fluor có thể gây ra các đốm trắng trên răng.
- Giảm sản men răng: Men răng là lớp ngoài cùng của răng, có tác dụng bảo vệ răng. Nếu men răng không hình thành đúng cách có thể gây ra các đốm trắng trên răng.
- Vệ sinh răng miệng kém: Mảng bám tích tụ trên răng hình thành cao răng có hình dạng giống như đốm trắng.
- Dùng nhiều thực phẩm có tính axit hoặc đường: Thực phẩm có tính axit hoặc đường có thể gây tổn hại đến men răng, dẫn đến các đốm trắng.
- Ngủ há miệng: Ngủ há miệng có thể làm khô miệng, làm men răng bị mất nước và làm xuất hiện các đốm trắng.

Có nhiều nguyên nhân tạo thành mảng bám màu trắng trên răng
2. Cách loại bỏ mảng bám trắng trên răng
Tùy thuộc vào nguyên nhân gây ra mảng bám trắng trên răng, sẽ có các phương pháp điều trị khác nhau.
2.1. Tái khoáng hóa men răng
Tái khoáng hóa men răng là quá trình bổ sung khoáng chất vào men răng đã bị tổn thương. Phương pháp này thường được áp dụng cho những người bị giảm sản men răng, tức là men răng không hình thành đúng cách.
Để tái khoáng hóa men răng, bác sĩ có thể sử dụng các phương pháp sau:
- Sử dụng Fluoride tại chỗ: Fluor là một khoáng chất cần thiết cho sức khỏe răng miệng, giúp bảo vệ men răng khỏi các tác nhân gây hại. Fluor có thể được sử dụng dưới dạng kem đánh răng, nước súc miệng hoặc gel bôi lên răng.
- Áp dụng Fluoride toàn thân: Fluor cũng có thể được bổ sung vào nước uống hoặc thực phẩm.

Tái khoáng cho răng giúp phục hồi răng chắc khoẻ
2.2. Tẩy trắng răng
Tẩy trắng răng là phương pháp sử dụng hóa chất để loại bỏ các vết ố vàng và xỉn màu trên răng. Phương pháp này có thể được áp dụng cho cả răng bị mảng bám trắng do nhiễm fluor, tetracycline hoặc do các nguyên nhân khác.
Phương pháp này có thể được thực hiện tại nha khoa hoặc tại nhà. Tẩy trắng răng tại nha khoa thường có hiệu quả cao hơn và an toàn hơn so với tẩy trắng răng tại nhà.

Tẩy trắng răng loại bỏ mảng bám màu trắng trên răng
2.3. Vi mài mòn
Vi mài mòn được thực hiện bằng cách dùng dụng cụ chuyên dụng để mài mòn một lớp nhỏ men răng. Cách này được sử dụng để loại bỏ các đốm trắng cứng đầu, mà không thể loại bỏ bằng các phương pháp khác.
2.4. Hàn phủ
Hàn phủ là thủ thuật sử dụng vật liệu composite để phủ lên bề mặt răng, giúp che đi các đốm trắng. Hàn phủ được sử dụng để loại bỏ các đốm trắng nhỏ hoặc ở vị trí khó tiếp cận.
2.5. Dán mặt răng sứ Veneer - Bọc răng sứ
Veneer là một lớp phủ mỏng, được dán lên bề mặt trước của răng để che giấu các đốm trắng và các nhược điểm khác trên răng.
Bọc răng sứ là kỹ thuật thẩm mỹ hiện đại giúp khắc phục các khuyết điểm về ngoại hình của răng. Bọc răng sứ còn giúp Quý khách phòng tránh bệnh sâu răng một cách hiệu quả.


>>> Xem thêm:
Bọc răng sứ có sử dụng được vĩnh viễn không?
Bảng giá bọc răng sứ - dán sứ Veneer tại nha khoa Tâm Đức Smile
2.6. Kỹ thuật thẩm thấu
Kỹ thuật thẩm thấu là phương pháp sử dụng nhựa quang trùng hợp để lấp đầy các khoảng trống trong men răng bị suy yếu, giúp răng trắng sáng hơn.
Kỹ thuật này phù hợp với các trường hợp giảm men răng do điều trị nắn chỉnh răng, vệ sinh răng miệng kém hoặc tiếp xúc với acid. Tuy nhiên, kỹ thuật này không phù hợp với các trường hợp nhiễm màu răng do flour, thiểu sản men răng, tetracycline, mòn răng hóa học, kém khoáng hóa, hoặc chấn thương răng.
ĐẶT HẸN NGAY HÔM NAY ĐỂ ĐƯỢC:
► Khám và tư vấn miễn phí
► Miễn phí chụp film cùng với máy Conebeam CT trị giá 700K
► Miễn phí quét mẫu hàm công nghệ ITERO trị giá 3 triệu
► Trả góp 0% lãi suất qua hệ thống ngân hàng lớn
3. Cách phòng ngừa mảng bám trắng trên răng
Để phòng ngừa mảng bám trắng trên răng, cần thực hiện các biện pháp sau:
3.1. Vệ sinh răng miệng đúng cách
Vệ sinh răng miệng đúng cách là biện pháp quan trọng nhất để phòng ngừa mảng bám trắng trên răng. Cụ thể, Quý khách cần:
- Đánh răng ít nhất 2 lần mỗi ngày, khi đánh răng, cần sử dụng bàn chải đánh răng mềm và kem đánh răng có chứa fluoride.
- Sử dụng chỉ nha khoa: Chỉ nha khoa giúp loại bỏ mảng bám và thức ăn thừa ở những vị trí mà bàn chải đánh răng không thể tiếp cận.
- Sử dụng dung dịch súc miệng chứa fluoride. Nước súc miệng giúp loại bỏ vi khuẩn và làm sạch răng miệng.

Thực hiện vệ sinh răng miệng theo đúng hướng dẫn của bác sĩ
3.2. Hạn chế ăn uống các thực phẩm có tính axit hoặc đường
Thực phẩm có tính axit hoặc đường có thể gây tổn hại đến men răng, dẫn đến các đốm trắng. Do đó, cần hạn chế ăn uống các thực phẩm này, đặc biệt là:
- Nước ngọt có gas
- Trái cây có tính axit, chẳng hạn như cam, chanh, bưởi
- Kẹo, đồ ngọt có đường
3.3. Lựa chọn loại kem đánh răng có chứa Fluoride
Fluoride là một khoáng chất cần thiết cho sức khỏe răng miệng. Fluoride giúp củng cố men răng, làm giảm nguy cơ sâu răng và các vấn đề răng miệng khác. Do đó, nên sử dụng kem đánh răng có chứa Fluoride.
3.4. Khám răng định kỳ
Khám răng định kỳ giúp bác sĩ phát hiện và điều trị sớm các vấn đề răng miệng, bao gồm cả mảng bám trắng trên răng.
3.5. Lưu ý khi thực hiện
3.5.1. Sử dụng đúng lượng kem đánh răng
Đối với trẻ dưới 3 tuổi, nên sử dụng lượng kem đánh răng bằng cỡ hạt gạo. Trẻ trên 3 tuổi, nên dùng một lượng kem cỡ hạt đậu. Trẻ rất dễ nuốt phải kem đánh răng, do đó, Quý khách cần giám sát khi trẻ đánh răng.
3.5.2. Dùng ống hút khi uống các loại đồ uống có tính axit
Dùng ống hút giúp răng giảm tiếp xúc với các loại đồ uống có tính axit.
3.5.3. Uống đủ nước và đánh răng sau khi ăn uống các thực phẩm có hại cho răng
Uống nước giúp trung hòa axit trong miệng, hạ thấp tác động của axit lên men răng. Đánh răng sau khi ăn giúp loại bỏ mảng bám và thức ăn thừa, ngăn ngừa hình thành mảng bám trắng trên răng.
>>> Xem thêm: Cận cảnh bệnh nhân 35 năm chưa từng lấy vôi răng
Như vậy, mảng bám trắng trên răng có thể được loại bỏ nhanh chóng bằng các phương pháp nha khoa. Để mảng bám trắng trên răng không quay trở lại, Quý khách cần thực hiện các biện pháp vệ sinh răng miệng đúng cách. Kèm theo đó là chế độ ăn uống khoa học, hạn chế các thực phẩm có tính axit hoặc đường.
Quý khách hãy gọi cho nha khoa Tâm Đức Smile qua Hotline 19008040 - 0329851079 (Có sử dụng Zalo/Viber) nếu thấy răng đang có nhiều mảng bám màu trắng. Ngay khi nhận được yêu cầu, bác sĩ sẽ tư vấn và hướng dẫn biện pháp xử lý ngay.




