LÀM SAO ĐỂ GIẢM BỚT CẢM GIÁC KHÓ CHỊU KHI MỌC RĂNG KHÔN?
1. Cách giảm đau hiệu quả khi mọc răng khôn?
Khi mọc răng khôn thường gây khó chịu cho bạn, nhất là khi răng khôn mọc lệch gây đau nhức dữ dội. Thậm chí, bạn còn không thể nói hay ăn trong lúc răng mọc. Để giải tỏa nỗi khó chịu này, nha khoa Tâm Đức Smile mách cho bạn một số cách giảm đau khi mọc răng khôn, không ảnh hưởng tới sức khỏe, sinh hoạt của bạn:
1.1. Giữ sạch vùng khoang miệng
Điều này rất cần thiết và quan trọng, bởi vì khi răng khôn mọc sẽ làm nướu bị sưng đỏ, nếu bạn vệ sinh răng miệng không sạch sẽ, khiến nó dễ bị viêm nhiễm và tình trạng đau đớn tăng lên gấp bội. Cách giải quyết là bạn nên súc miệng bằng nước muối pha loãng để sát trùng răng miệng và tránh tình trạng viêm nhiễm. Ngoài ra, bạn cũng nên dùng thuốc sát trùng thấm bông trực tiếp để rửa vùng nướu có răng mọc bị sưng đỏ khoảng 5 phút/lần, rửa 2 lần/ngày.
1.2. Dùng thuốc kháng sinh, giảm đau
Nếu mọc răng khôn làm bạn bị sốt, sưng đau vùng má, nổi hạch bạn nên dùng thuốc kháng sinh, kháng viêm và thuốc giảm đau, hạ sốt để không bị nhưng cơn đau hành hạ, ảnh hưởng đến cuộc sống hằng ngày và sức khỏe của bạn.
1.3. Súc miệng bằng nước muối ấm
Súc miệng bằng nước muối pha loãng ấm trong khoảng 5 phút/lần. Nước muỗi ấm sẽ giúp diệt khuẩn, giảm tình trạng ê buốt răng cho bạn. Nên súc miệng 2 lần/ngày vào sáng sớm sau khi ngủ dậy và tối trước khi đi ngủ.
1.4. Nhai hành tây
Nhiều người rất e ngại với mùi vị hành tây. Nhưng bạn có biết tác dụng của nó như thế nào không? Nó có thể giúp bạn giảm sưng đau đáng kể. Bằng cách nhai hoặc đắp một miếng hành tây đập dập vào chỗ răng khôn, phút chốc cơn đau sẽ không còn nữa.


1.5. Dùng tỏi
Thay vì dùng hành, chúng ta có thể thay thế bằng tỏi. Bằng cách lấy 1 tép tỏi đập nát, hòa với chén nước và vài hạt muối. Sau đó, dùng tăm bông nhúng dung dịch này thoa lên vùng bị đau do mọc răng. Nó có tác dụng làm dịu cơn đau răng khôn của bạn. Hoặc bạn có thể giã nát tỏi trộn với vài hạt muối rồi đắp vào chỗ răng khôn mọc nó cũng có tác dụng giảm đau tương tự như dung dịch tỏi.
1.6. Chườm đá lên vùng má
Để giảm cơn đau răng và bị sưng má bạn còn có thể dùng đá lạnh chườm lên vùng má để bớt đau và sưng.
2. Nhổ răng khôn càng sớm càng tốt
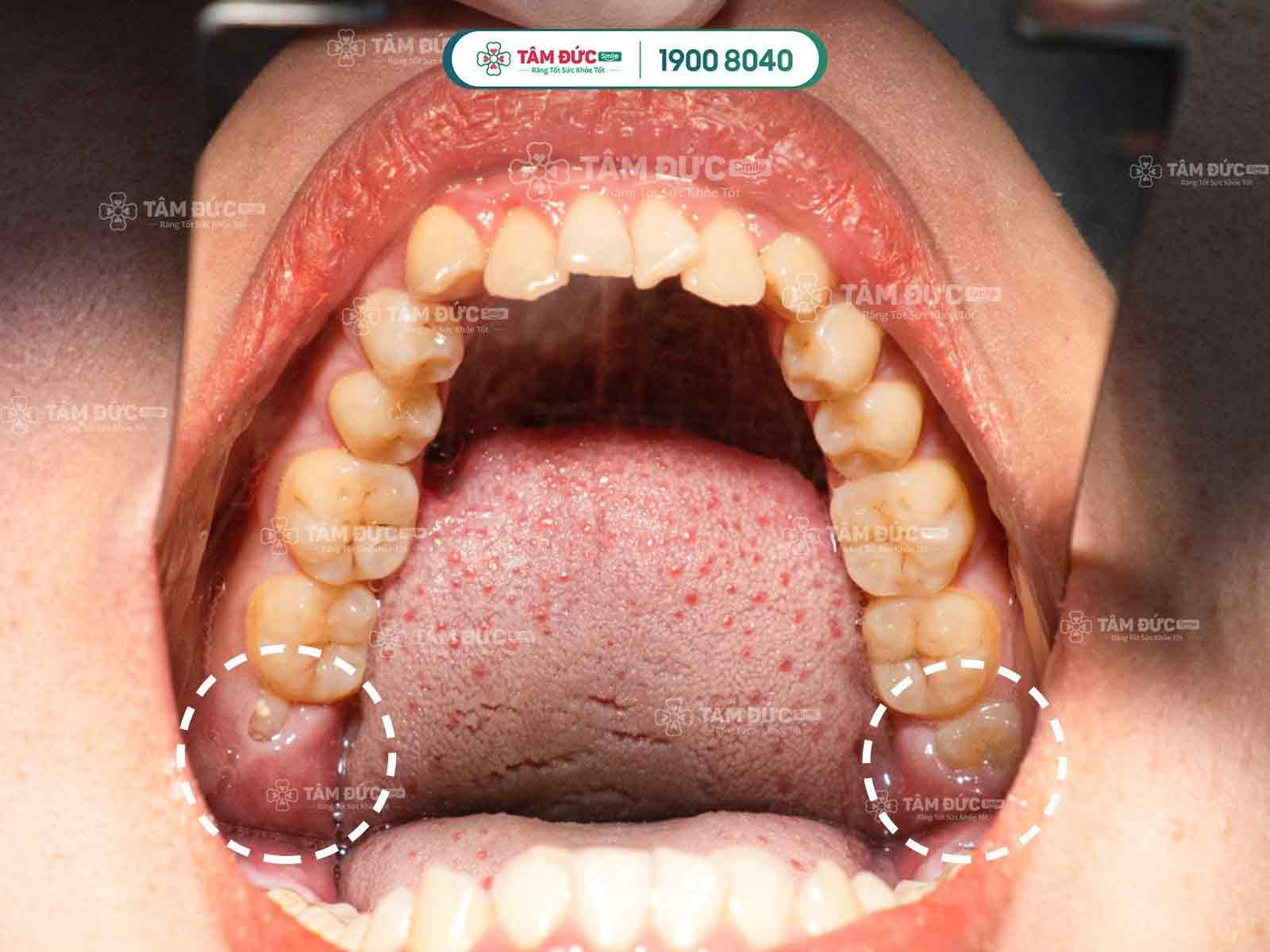
“Răng khôn giải quyết càng sớm, càng tốt!” Đó là lời khuyên của các bác sĩ tại nha khoa Tâm Đức Smile dành cho các bạn đang có dấu hiệu đau nhức khi mọc răng khôn. Bởi vì, hầu như tất cả mọi người không lường trước những tác hại mà răng khôn gây ra. Nha khoa Tâm Đức Smile sẽ chỉ ra những yếu tố “tại sao phải giải quyết răng khôn càng sớm, càng tốt”.

Cần phải nhổ răng khôn mọc lệch càng sớm càng tốt
Tác hại của việc răng khôn mọc lệch:
- Thức ăn sẽ nhồi nhét giữa răng khôn và răng kế bên nếu không vệ sinh được sẽ gây hôi miệng, sâu răng, nghiêm trọng sẽ gây viêm tủy răng số 7 kế bên.
- Răng khôn mọc đâm vào răng kế bên làm cho các răng cửa phía trước dồn lại, chen chúc lệch lạc mất thẩm mỹ và sai khớp cắn.
- Qua kết quả chụp phim thấy răng khôn mọc lệch, đâm vào răng số 7
- Nướu chỗ răng khôn thường bị nhiễm trùng sưng đau lặp đi lặp lại nhiều lần.
- Nhiễm trùng răng khôn kéo dài gây hoại tử xương, viêm mô tế bào, sưng mặt, một số ít trường hợp chuyển sang ung thư phải cắt xương hàm.
Tại Nha khoa Tâm Đức Smile khi nhổ răng khôn cho bệnh nhân, các bác sĩ sẽ áp dụng công nghệ nhổ răng khôn không đau, không xâm lấn vùng nướu nhiều bằng hệ thống gây tê hiện đại sẽ mang lại hiệu quả an toàn cho bệnh nhân. Ngoài ra chi phí nhổ răng khôn tại nha khoa cũng đang hết sức ưu đãi dành cho khách hàng.
3. Bảng giá nhổ răng khôn tại nha khoa Tâm Đức Smile
| TIỂU PHẨU RĂNG KHÔN | GIÁ TIỀN (VNĐ) |
| Răng khôn hàm trên | 2.000.000 - 3.000.000/ răng |
| Răng khôn hàm dưới | 4.000.000 - 5.000.000/ răng |
(Bảng giá niêm yết chưa áp dụng khuyến mãi)
| DỊCH VỤ KHÁM CHỮA BỆNH | CHI PHÍ |
| Khám và tư vấn | Miễn phí |
| Chụp X-quang | Miễn phí |
| Chụp CT Implant Conebeam | Miễn phí |
Nếu còn bất kỳ thắc mắc về cách giảm đau khi mọc răng khôn hay những vấn đề nha khoa, bạn hãy liên hệ với Hotline 19008040 - 0329851079 (Có sử dụng Zalo/Viber) để các bác sĩ sẽ tận tình giải đáp mọi thắc mắc của bạn.
Là trung tâm nha khoa kỹ thuật cao, hoạt động dưới sự quản lý của Bộ Y Tế - Nha khoa Tâm Đức Smile từ lâu đã trở thành địa chỉ được nhiều người tin tưởng và lựa chọn. Nếu cần thêm bất cứ thông tin về dịch vụ nha khoa bạn có thể đăng ký tư vấn theo form dưới đây để được bác sĩ nha khoa Tâm Đức Smile tư vấn nhanh và chi tiết.


