GIẢI ĐÁP: ÁP XE RĂNG CÓ TỰ KHỎI KHÔNG? TÁI LẠI CÓ NGUY HIỂM KHÔNG?

 

1. Giải đáp: Áp xe răng có tự khỏi không?

Áp xe răng gây ảnh hưởng trực tiếp tới sức khỏe cũng như cuộc sống của Quý khách. Do đó, việc điều trị dứt điểm bệnh lý này là vô cùng cần thiết nhưng liệu áp xe răng có tự khỏi không?

1.1. Áp xe răng là gì?

Trước khi tìm hiểu áp xe răng có tự khỏi không, cùng giải đáp xem áp xe răng là gì? Áp xe thực chất là tình trạng răng bị sưng đau và dần xuất hiện những túi mủ ở phần chân răng. Đây là một bệnh lý nhiễm trùng bởi biến chứng từ sâu răng, viêm nha chu hoặc do răng bị nứt vỡ. Từ đó tạo điều kiện cho vi khuẩn dễ tấn công và làm tủy răng bị tổn thương. Lúc này, gốc xương hàm sẽ xuất hiện những ổ mủ, lâu dần dẫn đến áp xe răng.

1.2. Nguyên nhân gây ra áp xe răng

Áp xe răng có thể được hình thành rất nhanh, chỉ 1 - 2 ngày sau khi bị nhiễm trùng. Bệnh này không ngoại trừ bất kỳ đối tượng nào, kể cả trẻ nhỏ hay người lớn. Về cơ bản, áp răng xe có thể xuất phát từ một số nguyên nhân sau.

  • Quý khách mắc các bệnh lý như viêm nha chu, sâu răng nhưng không kịp thời điều trị.
  • Tủy bị tổn thương do răng bị nứt, vỡ hoặc do một số can thiệp trong quá trình điều trị tủy răng.
  • Quý khách dùng quá nhiều nước uống có ga, có cồn, đồ ngọt… làm suy yếu men răng, răng dễ bị vi khuẩn tấn công.
  • Khi Quý khách có bệnh mạn tính như tiểu đường, huyết áp…Lúc này, hệ miễn dịch bị suy giảm, vi khuẩn dễ tấn công gây nên áp xe chân răng.

áp xe răng sưng đỏ và chảy máu

Áp xe răng có tự khỏi không?

1.3. Áp xe răng có tự khỏi không?

Trong thực tế, áp xe răng không thể tự khỏi mà cần điều trị bằng phương pháp nha khoa. Khi bị áp xe, vùng chân răng sẽ xuất hiện dấu hiệu sưng và có mủ do bị vi khuẩn tấn công. Lúc này, những cơn đau nhức đột ngột xuất hiện thường xuyên, ảnh hưởng tới sức khỏe và tâm lý của người bệnh. 

Về lâu dài nếu không được chữa trị kịp thời, áp xe răng có thể gây ra một số biến chứng nghiêm trọng như sau.

1.3.1. Áp xe răng làm lung lay răng

Không chỉ gây ra đau nhức, ổ áp xe răng lan rộng ra xung quanh còn khiến cho răng dễ bị lung lay. Lúc này, việc đánh răng, nhai cắn thức ăn sẽ gặp nhiều khó khăn. Không những vậy, răng còn có nguy cơ cao bị rụng khỏi cung hàm. Nếu răng bị rụng vĩnh viễn thì sẽ không thể mọc lại, bắt buộc phải trồng răng giả.

>>> Xem thêm: Video quy trình trồng răng Implant tại nha khoa Tâm Đức Smile

1.3.2. Áp xe răng gây hoại tử tủy

Đây chính là giai đoạn cuối cùng của bệnh viêm tủy răng. Lúc này, tủy đã bị phá hủy hoàn toàn và không còn có đủ khả năng thực hiện nhiệm vụ của mình. Khi đó, việc điều trị tủy răng cũng sẽ không mang lại hiệu quả.

1.3.3. Áp xe răng gây viêm xoang hàm

Thực tế, những chiếc răng hàm có mối liên hệ mật thiết với bộ phận xoang hàm. Nếu bị áp xe, vi khuẩn có thể dễ dàng xâm nhập vào vùng xoang hàm gây viêm nhiễm. Nếu không điều trị kịp thời, tình trạng viêm xoang hàm có thể chuyển qua giai đoạn mãn tính.

1.3.4. Áp xe răng làm tăng nguy cơ áp xe não

Khi áp xe diễn biến nặng và gây nhiễm trùng ở răng hay xương hàm. Lúc này, mầm bệnh có thể đi qua đường máu và xâm nhập vào não gây viêm nhiễm. Áp xe não là một bệnh lý nguy hiểm. Nếu như không phát hiện sớm có thể dẫn tới nhiều di chứng nặng nề, nguy hiểm tới tính mạng.

áp xe răng có tự khỏi không

Áp xe răng cần được điều trị càng sớm càng tốt

ĐẶT HẸN NGAY HÔM NAY ĐỂ ĐƯỢC:

► Khám và tư vấn miễn phí

► Miễn phí chụp film cùng với máy Conebeam CT trị giá 700K

► Miễn phí quét mẫu hàm công nghệ ITERO trị giá 3 triệu

► Trả góp 0% lãi suất qua hệ thống ngân hàng lớn

 

2. Phương pháp điều trị áp xe răng mang lại hiệu quả cao

Áp xe răng có tự khỏi không? Như đã giải đáp ở trên, đây là một bệnh lý không thể tự khỏi mà cần được điều trị dứt điểm bằng một số phương pháp sau.

2.1. Nhổ răng khi áp xe răng tái lại thường xuyên

Việc bảo tồn răng thật luôn là ưu tiên hàng đầu trong nha khoa. Trường hợp áp xe răng nặng gây hỏng răng và có nguy cơ làm hại tới những chiếc răng khác, bác sĩ sẽ tiến hành nhổ bỏ. Bởi nếu áp xe răng diễn biến nặng sẽ rất khó khắc phục hoàn toàn.

2.2. Uống thuốc giảm đau

Cơn đau nhức răng kéo dài làm Quý khách cảm thấy khó chịu. Quý khách có xu hướng dùng thuốc giảm đau không kê đơn để làm giảm cơn đau nhanh chóng. Nhưng đây chỉ là phương pháp mang tính tạm thời, không phải là cách điều trị áp xe răng tích cực. Thay vào đó, Quý khách cần tới gặp bác sĩ để thăm khám và điều trị.

2.3. Sử dụng thuốc kháng sinh

Áp xe nhẹ không nhất thiết phải sử dụng tới thuốc kháng sinh. Khi nhiễm trùng bắt đầu có dấu hiệu lan rộng qua những vùng xung quanh, bác sĩ buộc phải kê đơn thuốc kháng sinh. Mục đích là ngăn chặn sự tấn công của vi khuẩn, tránh làm áp xe chuyển biến nặng hơn.

2.4. Điều trị tủy khi áp xe răng làm hoại tử tuỷ

Nhằm loại bỏ sự lây lan của vi khuẩn và bảo vệ răng hiệu quả, bác sĩ buộc phải điều trị tủy. Đây là kỹ thuật loại bỏ phần tủy bị viêm nhiễm bên trong răng. Tiếp đó sẽ tiến hành trám bít ống tủy hoặc bọc sứ để tránh bị nhiễm trùng trở lại.

áp xe răng có tự khỏi không

Điều trị nhiễm trùng áp xe là điều rất cần thiết

3. Áp xe răng có tái phát lại hay không?

Ngoài câu hỏi áp xe răng có tự khỏi không thì áp xe có tái lại không cũng là thắc mắc của nhiều người. Nếu Quý khách không điều trị tận gốc áp xe, căn bệnh này có thể tái lại và gây ảnh hưởng tới sức khỏe cũng như tinh thần. 

Tất nhiên, khi áp xe tái lại, việc chữa trị sẽ gặp nhiều khó khăn hơn so với lúc ban đầu. Vì vậy, tốt nhất là sau điều trị, Quý khách hãy đảm bảo tuân thủ hướng dẫn của bác sĩ. Bên cạnh đó, đừng quên phòng ngừa bệnh áp xe răng thông qua những thói quen dưới đây.

  • Chăm sóc răng miệng thất tốt, hạn chế dùng tăm xỉa, không cho vi khuẩn có cơ hội xâm nhập. Bên cạnh đó, kết hợp với máy tăm nước hoặc chỉ nha khoa để làm sạch toàn bộ rẽ răng.
  • Đánh răng bằng kem đánh răng có chứa thành phần fluoride phù hợp.
  • Ăn uống lành mạnh, hạn chế những thực phẩm nhiều đường, dầu mỡ….và nên súc miệng sau khi ăn.
  • Định kỳ thay bàn chải đánh răng sau 3 - 4 tháng hoặc bất cứ khi nào thấy bàn chải đánh răng bị sờn, cũ.
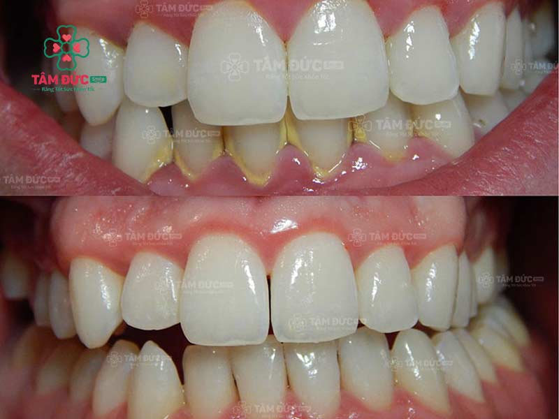
  • Cạo vôi răng định kỳ từ 3 - 6 tháng/lần.

cạo vôi răng để phòng tránh áp xe răng

Xử lý sớm vôi răng hoặc răng bị sâu để phòng ngừa áp xe

4. Điều trị dứt điểm áp xe răng tại Nha khoa Tâm Đức Smile

Như đã chia sẻ ở trên, điều trị dứt điểm tình trạng áp xe răng là việc làm vô cùng cần thiết. Tuy nhiên, một trong những yếu tố quan trọng hàng đầu chính là lựa chọn một nha khoa uy tín. Bởi nếu không áp dụng đúng kỹ thuật, áp xe ngày càng trở nên nghiêm trọng hơn.

Từ lâu, nha khoa Tâm Đức Smile đã là nơi được đông đảo khách hàng gửi gắm niềm tin trong việc chăm sóc sức khỏe răng miệng toàn diện. Tâm Đức Smile không ngừng mang tới cho Quý khách hàng dịch vụ chất lượng với trải nghiệm hoàn hảo nhất.

Tâm Đức Smile sở hữu đội ngũ bác sĩ, nhân viên có chuyên môn cao và tay nghề vững chắc. Mọi vấn đề liên quan tới răng miệng, bao gồm áp xe răng đều sẽ được xử lý nhanh chóng, tránh gây ra đau đớn và hạn chế tái phát lại.

Hy vọng với những thông tin trên đây, Quý khách đã có câu trả lời cho vấn đề “áp xe răng có tự khỏi không”. Quý khách nhận thấy dấu hiệu áp xe răng, hãy nhanh chóng liên hệ với nha khoa Tâm Đức Smile qua Hotline 1900 8040 - 0329 851 079 (Có sử dụng Zalo/Viber). Để nhận thêm ưu đãi miễn phí thăm khám và tư vấn, Quý khách có thể đặt hẹn trước tại bảng này.

ĐĂNG KÝ

TƯ VẤN TRỰC TIẾP

HỆ THỐNG NHA KHOA TÂM ĐỨC SMILE
Các chi nhánh