ĐỊA CHỈ NIỀNG RĂNG Ở ĐÀ NẴNG UY TÍN, CHỈ TỪ 10 TRIỆU/HÀM, TRẢ TRƯỚC 1 TRIỆU ĐỒNG
1. Nha khoa Tâm Đức Smile - Địa chỉ niềng răng ở Đà Nẵng uy tín
Tâm Đức Smile là sự lựa chọn hàng đầu về niềng răng chỉnh nha tại Đà Nẵng với nhiều năm kinh nghiệm, giá phù hợp và nhiều ưu đãi. Nha khoa cung cấp dịch vụ niềng răng chất lượng cao, với hình thức trả góp lãi suất 0%, phù hợp cho mọi đối tượng khách hàng.
1.1. Điểm đặc biệt khi niềng răng tại nha khoa Tâm Đức Smile chi nhánh Đà Nẵng
Tại Đà Nẵng, Tâm Đức Smile có trụ sở: Số 139 Đường Nguyễn Văn Linh, Phường Nam Dương, Quận Hải Châu. Khách hàng tới niềng răng tại Tâm Đức Smile Đà Nẵng sẽ được trải nghiệm dịch vụ chăm sóc từ A-Z bởi đội ngũ bác sĩ chuyên môn cao.


Khách hàng tới niềng răng tại Tâm Đức Smile Đà Nẵng được chăm sóc từ A-Z
1.1.1. Niềng răng chỉ từ 10 Triệu/Hàm, trả trước 1 triệu đồng, trả góp 0%
Tâm Đức Smile hiểu rằng chi phí điều trị niềng răng từ 20 triệu đồng có thể là trở ngại tài chính đối với nhiều khách hàng. Đó là lý do Tâm Đức Smile Đà Nẵng luôn có chính sách tốt nhất về giá như sau:
- Niềng răng chỉ từ 10 Triệu/Hàm
- Trả trước 1 triệu đồng, sau đó trả góp với lãi suất 0%.
- Số tiền cần trả được chia nhỏ theo mỗi tháng định kỳ và cam kết không phát sinh bất kỳ chi phí lãi suất nào sau niềng răng.
- Thủ tục trả góp đơn giản, yêu cầu khách hàng trên 18 tuổi. Bạn cần mang theo căn cước công dân đến địa chỉ niềng răng ở Tâm Đức Smile. Nếu dưới 18 tuổi, bạn cần có bố mẹ, người thân đi cùng.
1.1.2. Nha khoa Tâm Đức Smile chăm sóc khách hàng từ A - Z
Đối với Tâm Đức Smile Đà Nẵng, chăm sóc khách hàng là một phần không thể thiếu trong quy trình niềng răng. Sự quan tâm của Tâm Đức Smile giúp nâng cao uy tín và chất lượng dịch vụ, xây dựng lòng tin và duy trì mối quan hệ với khách hàng.
- Nha khoa sẵn sàng tư vấn chi tiết và giải đáp mọi thắc mắc của khách hàng trước khi bắt đầu niềng.
- Trong quá trình niềng răng, bác sĩ sẽ theo dõi sát sao tiến trình niềng, chủ động nhắc nhở khách hàng khám kiểm tra.
- Bác sĩ cung cấp các hướng dẫn rõ ràng về cách vệ sinh răng miệng tại nhà để đảm bảo hiệu quả niềng răng tốt nhất.
- Hoàn tất điều trị niềng răng, nha khoa sẽ tiếp tục hỗ trợ khách hàng qua các buổi tái khám định kỳ.
1.1.3. Khách hàng niềng răng ở Tâm Đức Smile
Nha khoa Tâm Đức Smile đã khẳng định được uy tín và chất lượng niềng răng qua 11 năm hoạt động, phát triển mạnh mẽ. Mỗi năm, nha khoa giúp hàng ngàn khách tại Đà Nẵng và các khu vực lân cận lấy lại nụ cười tự tin, rạng rỡ.




Khách hàng hài lòng với trải nghiệm niềng răng tại nha khoa Tâm Đức Smile
Tâm Đức Smile đầu tư trang thiết bị hiện đại, đạt chuẩn y khoa: phòng Labo nha khoa riêng, máy X quang Conebeam CT 3D, CAD/CAM 3D. Qua điều trị niềng răng hiệu quả, nha khoa góp phần nâng cao chất lượng cuộc sống của nhiều người.
Tâm Đức Smile lấy được trọn niềm tin của khách hàng, là sự lựa chọn ưu tiên của những ngôi sao showbiz nổi tiếng. Điển hình như NSƯT Thành Lộc, vợ chồng diễn viên Cao Minh Đạt, nghệ sĩ Khang Việt, MC Nguyên Bảo,...
1.1.4. Gói niềng răng đa dạng tại nha khoa Tâm Đức Smile Đà Nẵng
Địa chỉ niềng răng ở Đà Nẵng Tâm Đức Smile cung cấp đa dạng gói niềng phù hợp với nhu cầu và ngân sách của từng khách hàng. Niềng răng được phân thành 2 nhóm chính: niềng răng mắc cài và niềng răng trong suốt hay còn gọi là Invisalign.
- Niềng răng mắc cài: Bác sĩ sử dụng khí cụ chỉnh nha là mắc cài kim loại hoặc sứ, gắn trên mặt răng và kết nối bởi dây cung để điều chỉnh răng. Niềng răng mắc cài là lựa chọn được phần lớn các khách hàng lựa chọn bởi giá rẻ.
- Niềng răng Invisalign: Niềng răng bằng các khay nhựa trong suốt, thiết kế ôm sát hàm răng để dịch chuyển dần dần vị trí của răng. Chi phí niềng Invisalign cao nhưng đảm bảo về mặt thẩm mỹ tốt, không cộm khi ăn nhai, dễ vệ sinh.
Địa chỉ niềng răng ở Đà Nẵng Tâm Đức Smile có các gói quà tặng đi kèm dịch vụ niềng răng ưu đãi:
- Kiểm tra và tư vấn, miễn phí chụp CT Conebeam, chụp X-Quang.
- Miễn phí 100% cạo vôi răng, trám răng, nhổ răng dư.
- Hỗ trợ chi phí toàn bộ nếu cần bắt mini vít chỉnh nha.
- Tặng hàm duy trì sau khi tháo niềng răng.
1.2. Đội ngũ bác sĩ giàu kinh nghiệm tại nha khoa Tâm Đức Smile
Tâm Đức Smile Đà Nẵng tự hào sở hữu đội ngũ bác sĩ chỉnh nha, điều dưỡng, phụ tá có trình độ chuyên môn cao và dày dặn kinh nghiệm. Các bác sĩ được đào tạo bài bản tại các trường đại học danh giá trong nước và quốc tế, với nhiều năm kinh nghiệm.
Bác sĩ ở Tâm Đức Smile luôn cập nhật những kiến thức mới về công nghệ và kỹ thuật niềng. Nhiều bác sĩ còn là thành viên của Hiệp hội Nha khoa thẩm mỹ Châu Âu ESCD và Hiệp hội Implant quốc tế ICOI.


Tâm Đức Smile tự hào sở hữu đội ngũ bác sĩ giàu kinh nghiệm
2. Khách hàng nói gì sau khi niềng răng tại hệ thống nha khoa Tâm Đức Smile?
Phản hồi của khách hàng là yếu tố quan trọng nhất, phản ánh chất lượng dịch vụ tại địa chỉ niềng răng ở Đà Nẵng Tâm Đức Smile. Bạn có thể xem nội dung đánh giá dịch vụ trên hệ thống Website của nha khoa.
Chị Mai Anh, 28 tuổi: “Tôi rất hài lòng với dịch vụ niềng răng tại Tâm Đức Smile. Đội ngũ bác sĩ chuyên nghiệp và thân thiện đã giúp tôi có được nụ cười như mong muốn. Dịch vụ chăm sóc khách hàng từ A-Z thực sự rất chu đáo. Nhân viên tư vấn kỹ lưỡng trong suốt quá trình điều trị làm tôi cảm thấy an tâm hơn.”
Bé Quang Trung, 13 tuổi: “Các khay trong suốt rất thoải mái và gần như không thấy rõ. Em có thể tự tháo lắp khay niềng Invisalign tại nhà, không cần người lớn hỗ trợ. Thoải mái ăn món em thích không lo khó vệ sinh, nên e rất hài lòng.”
Bạn Trần Tuyết, 20 tuổi: “Mình rất ấn tượng với sự chu đáo trong từng bước điều trị tại địa chỉ niềng răng ở Đà Nẵng Tâm Đức Smile. Từ khi tư vấn, lên kế hoạch điều trị đến các buổi tái khám, mọi thứ đều rất chuyên nghiệp. Mình đã có một trải nghiệm niềng răng với kết quả vượt ngoài mong đợi.”
3. Dấu hiệu bạn cần niềng răng càng sớm càng tốt
Niềng răng vừa giúp cải thiện thẩm mỹ, tăng sự tự tin khi cười và duy trì sức khỏe răng miệng lâu dài. Do đó, nếu có các dấu hiệu sau đây thì bạn cần niềng càng sớm càng tốt, tránh để lại biến chứng.
3.1. Khớp cắn của bạn bị sai lệch
Lệch khớp cắn là tình trạng răng hàm trên và dưới không khớp với nhau khi cắn hoặc nhai. Biểu hiện của sai lệch khớp cắn bạn có thể cảm nhận rõ là:
- Bạn gặp khó khăn hoặc có cảm giác đau khi ăn nhai ở khớp thái dương hàm.
- Hàm cảm thấy bị kẹt hoặc không thể di chuyển trơn tru khi cắn, mở miệng.
- Phát âm không rõ ràng, thường gây ra nói ngọng.

Lệch khớp cắn là tình trạng răng hàm trên và dưới không khớp với nhau khi ăn nhai
Mỗi trường hợp lệch khớp cắn có những dấu hiệu nhận dạng khác nhau:
- Khớp cắn sâu: Hàm trên phát triển lớn, che phủ quá mức hàm dưới, gây ra cười hở lợi, răng hô chìa về phía trước. Thậm chí, lệch khớp sâu khiến bạn không khép môi lại được dù đã ở trạng thái nghỉ.
- Khớp cắn chéo: Răng cửa hoặc răng hàm trên không khớp với các răng tương ứng ở hàm dưới khi cắn, gây mất cân đối.
- Khớp cắn hở: Răng cửa trên và dưới không tiếp xúc với nhau, khi hàm miệng đóng lại, tạo ra khoảng trống giữa.
- Khớp cắn ngược: Răng cửa dưới nằm phía ngoài các răng cửa trên khi cắn, thường được gọi là hàm móm.
3.2. Răng của bạn mọc chen chúc
Răng mọc chen chúc, không đúng vị trí do thiếu không gian trong hàm. Một số trường hợp chen chúc cần được can thiệp bởi niềng răng là:
- Răng chồng chéo, xô đẩy lẫn nhau làm đau buốt khi ăn nhai.
- Cảm giác khoang miệng bị đầy, các răng mọc lớn, kích thước to.
- Hướng mọc lệch, nghiêng, đâm ngang làm xê dịch răng kế cận.
- Khó vệ sinh khiến hôi miệng, viêm nướu, sâu răng.

Răng mọc chen chúc, không đúng vị trí do thiếu không gian trong hàm
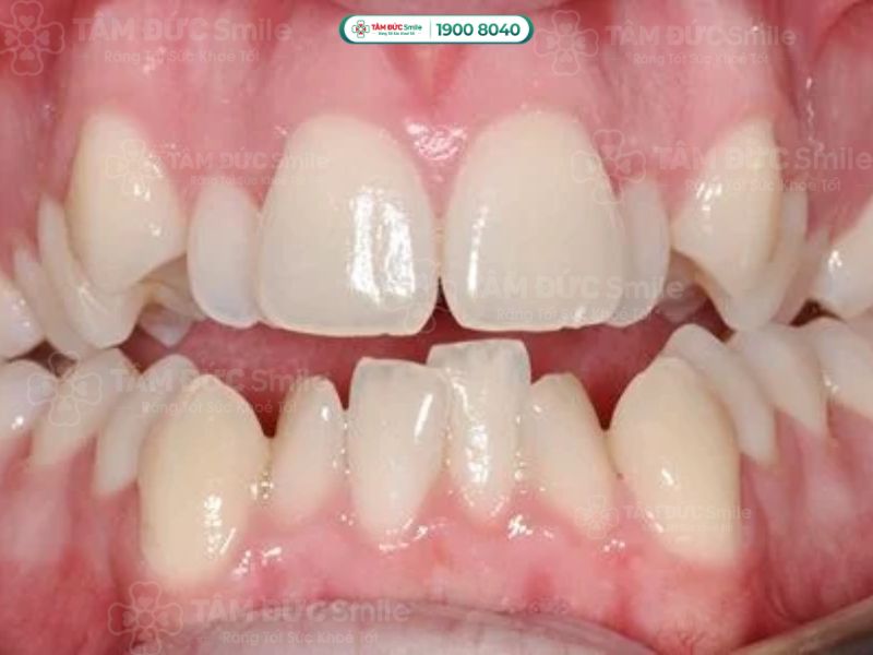
3.3. Răng của bạn đang bị thưa kẽ
Một số dấu hiệu cho thấy bạn bị thưa kẽ cần tới nha khoa để kiểm tra phổ biến như:
- Dấu hiệu của thưa kẽ là khoảng cách giữa các răng lớn, đặc biệt là ở các răng cửa hoặc răng hàm.
- Chỗ trống lớn làm tăng nguy cơ dắt thức ăn, tích tụ mảng bám và vi khuẩn, gây ra sâu răng và bệnh nướu.
- Khi ăn bạn có cảm giác răng lỏng lẻo, cắn thức ăn khó khăn.

Dấu hiệu của thưa kẽ là khoảng cách giữa các răng lớn, đặc biệt là ở các răng cửa
Sức khỏe răng miệng rất quan trọng nên bạn cần chú ý khám định kỳ 6 tháng một lần để kịp thời phát hiện các vấn đề răng miệng. Địa chỉ niềng răng ở Đà Nẵng Tâm Đức Smile luôn sẵn sàng đồng hành cùng bạn trong hành trình tìm lại nụ cười rạng rỡ. Sở hữu một hàm răng trắng sáng, đều đặn giúp bạn tăng tự tin giao tiếp và cải thiện cuộc sống.
Bạn có nhu cầu niềng răng hãy liên hệ ngay cho Tâm Đức Smile qua Hotline 19008040 - 0329851079 (Có sử dụng Zalo/Viber) hoặc bảng sau đây để được thăm khám và tư vấn miễn phí.


