ĐAU RĂNG KHÔN VÀ CÁCH XỬ LÝ HIỆU QUẢ NHANH NHẤT
1. Nguyên nhân mọc răng khôn bị đau
Khi mọc răng khôn, phần lợi quanh răng sẽ bị đỏ và sưng lên. Vì lợi người trưởng thành đã cứng chắc, xương hàm không còn phát triển về kích thước nên khi có dấu hiệu mọc răng lợi sẽ giãn ra và phồng lên, làm cho phần mặt lợi bị sưng và cả quanh chân răng cũng bị sưng. Chỉ khi nào răng ổn định thì tình trạng sưng lợi mới trở lại bình thường.
Khi xuất hiện dấu hiệu mọc răng khôn, nhiệt độ cơ thể tăng cao hơn, sự đau nhức, khó chịu do mọc răng khôn cũng khiến thân nhiệt nóng hơn bình thường. Tuy nhiên, không nên lo lắng quá vì những cơn sốt này thường nhẹ và cũng không kéo dài.

Răng khôn mọc lệch và bị sâu

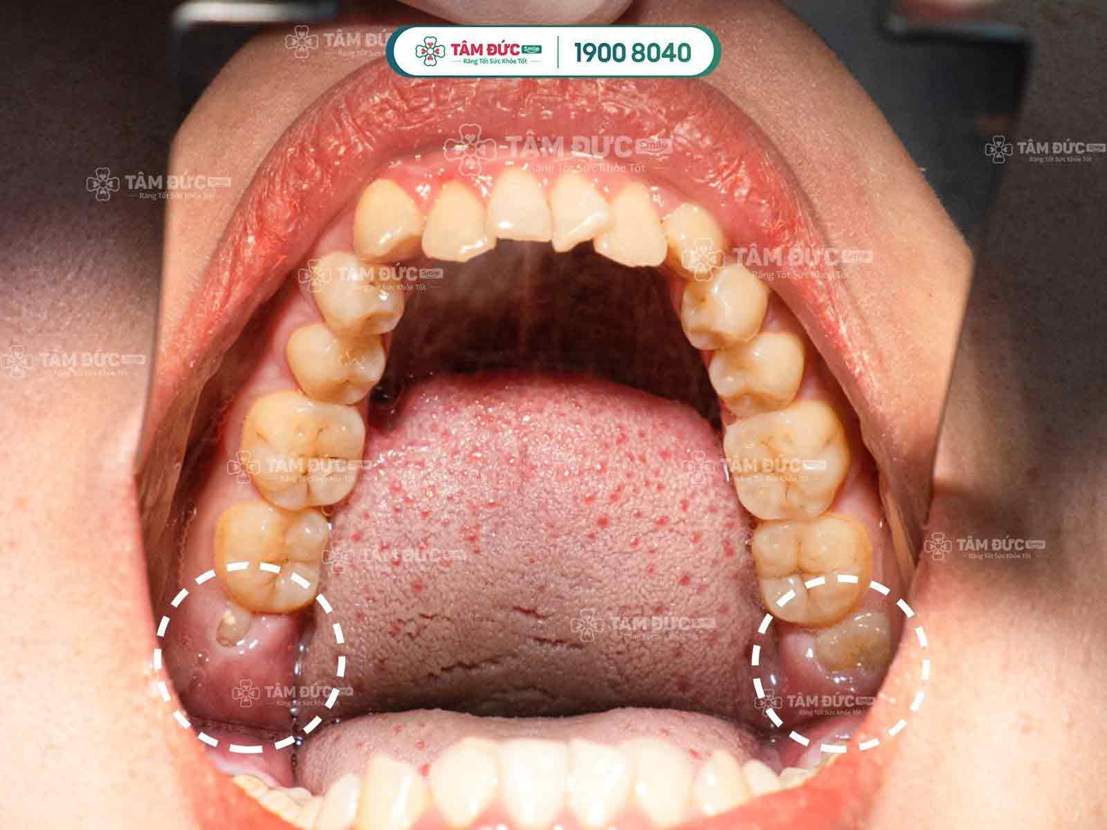
Lợi trùm răng gây đau
Đau nhức là dấu hiệu mọc răng khôn thường gặp nhất:
- Khi răng bắt đầu nhú lên, bạn sẽ cảm thấy đau nhức bên trong.
- Răng càng phát triển cơn đau càng dữ dội, kéo dài, càng nhức nhối.
Đối với các trường hợp mọc răng khôn bị thiếu chỗ vì lúc này xương hàm đã ngừng tăng trưởng và phát triển, chịu tác động bởi quá trình ăn uống hàng ngày, khiến răng khôn bị mọc ngầm dưới nướu, mọc lệch đâm vào má, vào răng bên cạnh gây nên tình trạng đau răng khôn dữ dội, khó chịu và ảnh hưởng đến cấu trúc hàm mặt, sức khỏe răng miệng.
Khi răng khôn mọc nghiêng thức ăn dễ kẹt vào kẽ răng, điều này khiến việc vệ sinh răng miệng gặp khó khăn, lâu dần tạo điều kiện để vi khuẩn sinh sôi, phát triển đục khoét vào men răng, dẫn đến tình trạng sâu răng, có thể gây viêm nhiễm làm răng khôn đau nhức dữ dội.

Răng khôn mọc lệch gây đau

Răng khôn mọc lệch đâm vào răng kế cận
Răng khôn mọc ngầm thường có hiểu hiện làm nướu sưng tấy, viêm đỏ, khó há miệng. Vì xương hàm không có đủ vị trí nên nó sẽ đâm sang răng bên cạnh, nó sẽ làm chiếc răng khỏe mạnh kế bên dần bị tiêu hủy, lung lay có thể dẫn đến sâu, nặng hơn nó sẽ khiến chiếc răng này bị xô đẩy chèn ép và rụng đi gây mất răng. Răng khôn mọc lệch, ngầm thường gây ra những cơn đau răng khôn âm ỉ kéo dài trong khoản 2 tới 3 ngày.
2. Cách xử lý trị đau khi mọc răng khôn
Bị đau nhức khi mọc răng khôn thường rất khó chịu, thậm chí còn gây phiền phức lớn đối với người bệnh. Để trị đau răng khôn hiệu quả, bạn có thể áp dụng các cách sau:
2.1. Giảm đau răng khôn bằng các phương pháp tự nhiên
Đối với những trường hợp răng khôn mọc bình thường, các cơn đau răng khôn nhanh chóng qua đi, chỉ cần thực hiện một số biện pháp để giảm đau như súc miệng bằng nước muối, nước trà xanh, chườm đá…hoặc có thể dùng thuốc giảm đau theo chỉ định của nha sỹ. Nên ăn nhai những thức ăn lỏng, mềm để hàm không phải hoạt động nhiều.
Còn những cơn đau răng khôn mọc lệch, mọc ngầm sẽ lặp đi lặp lại nhiều lần trong suốt quá trình răng khôn mọc, gây ra những biến chứng nguy hiểm, không thể ăn nhai, ảnh hưởng đến học tập, công việc và sinh hoạt hàng ngày. Cần phải đến ngay các trung tâm nha khoa để các bác sĩ thăm khám và tư vấn nên nhổ bỏ hay không.
2.2. Giải pháp xử lý đau răng khôn dứt điểm
Nhổ răng khôn không đau là một ca phẫu thuật nhỏ, không gây mê mà chỉ gây tê cục bộ tại vị trí cần nhổ giúp giảm cảm giác đau nhức cho cho chúng ta, được chỉ định cho những người có răng khôn mọc lệch, mọc ngầm, răng khôn bị tai biến, dính khớp…được thực hiện nhanh chóng dưới sự hỗ trợ của máy móc hiện đại và bác sĩ có chuyên môn cao.
Nếu có bất kỳ thắc mắc nào cần được hỗ trợ, hãy liên hệ với nha khoa Tâm Đức Smile theo Hotline 19008040 - 0329851079 (Có sử dụng Zalo/Viber) hoặc điền thông tin tư vấn vào form đăng ký tư vấn dưới đây để được giải đáp một cách kịp thời nhất.


