DẤU HIỆU MỌC RĂNG KHÔN Ở NGƯỜI LỚN VÀ CÁCH XỬ LÝ
1. Dấu hiệu và triệu chứng của mọc răng khôn
Để biết được những dấu hiệu rõ nhất mà hầu như mọi trường hợp mọc răng khôn đều gặp phải và hạn chế tình trạng đau răng khôn cũng như những triệu chứng mọc răng khôn, Quý khách hãy tham khảo bài viết sau đây nhé!
1.1. Khi mọc răng khôn, phần lợi quanh răng sẽ bị đỏ và sưng lên
Đối với người trưởng thành, phần lợi đã cứng chắc, xương hàm không còn phát triển về kích thước nên khi có dấu hiệu mọc răng khôn, lợi sẽ giãn ra và phồng lên, làm cho phần mặt lợi bị sưng và cả quanh chân răng cũng bị sưng. Chỉ khi nào răng ổn định thì tình trạng sưng lợi mới trở lại bình thường.
1.2. Sốt mọc răng khôn và nhức đầu
Khi mọc răng khôn, nhiệt độ cơ thể tăng cao hơn, sự đau nhức, khó chịu do mọc răng khôn gây sốt cũng khiến thân nhiệt nóng hơn bình thường. Tuy nhiên , không nên lo lắng quá vì những cơn sốt này thường nhẹ và cũng không kéo dài.

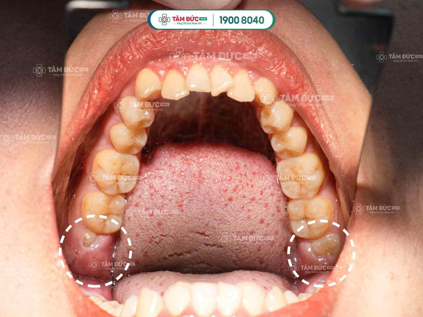
Răng khôn mọc lệch va chạm với răng số 7 gây đau nhức
1.3. Mọc răng khôn gây đau và khó chịu ở phần trong cùng của hàm
Đau nhức là dấu hiệu mọc răng khôn thường gặp nhất. Khi răng bắt đầu nhú lên, Quý khách sẽ cảm thấy đau nhức bên trong. Răng càng phát triển cơn đau càng dữ dội, kéo dài và càng nhức nhối.
2. Mọc răng khôn có gây nguy hiểm gì không?
Với những người may mắn, răng khôn sẽ mọc ngay hàng thẳng lối như các răng hàm bình thường khác mà không gây ra bất cứ biến chứng gì mà chỉ gây ra những triệu chứng khá đơn giản như trên. Đối với những trường hợp này, chỉ cần thực hiện một số biện pháp để giảm đau như súc miệng bằng nước muối, nước trà xanh…hoặc có thể dùng thuốc giảm đau theo chỉ định của nha sỹ.
Nên ăn nhai những thức ăn lỏng, mềm để hàm không phải hoạt động nhiều. Cảm giác đau răng khôn và sưng tấy sẽ kéo dài và chấm dứt sau vài ngày.
Răng khôn nằm ở vị trí cuối cùng nên việc vệ sinh răng miệng gặp không ít khó khăn mặc dù không tham gia vào quá trình nghiền nát thức ăn vì lực nhai chủ yếu được đặt ở răng tiền hàm và răng hàm. Để răng không bị sâu, cần phải biết cách vệ sinh và chăm sóc khu vực mọc răng khôn khi mới bắt đầu mọc để hạn chế những cơn đau do răng khôn gây nên.

Răng khôn mọc gây đau và khó chịu ở phần trong cùng của hàm
Những biện pháp cần thực hiện khi mọc răng khôn:
- Sử dụng chỉ nha khoa sau mỗi bữa ăn. Dùng 1 đoạn chỉ vừa đủ, quấn vào đầu ngón tay và kéo lên kéo xuống để loại bỏ các mảng bám thức ăn dắt trên kẽ răng.
- Đánh răng đúng cách mỗi ngày với kem đánh răng có chứa flour sau khi ăn từ 30 – 60 phút để bảo vệ men răng.
- Loại bỏ mảng bám và vi khuẩn còn sót lại bằng nước súc miệng.
- Đến nha khoa để được thăm khám, nhận biết những dấu hiệu răng khôn mọc lệch, mọc ngầm. Thực hiện nhổ răng khôn không đau và an toàn tại phòng nha.
Mọc răng khôn không khó nhận biết qua những dấu hiệu trên, tuy nhiên khi mọc răng khôn cũng đồng nghĩa với sự xuất hiện của những biến chứng có thể xảy ra. Vì vậy, không nên coi thường việc mọc răng khôn. Hãy đến nha khoa Tâm Đức Smile để các bác sĩ có thể khám kỹ hơn và biết được vị trí mọc răng chính xác nhất, hạn chế những cơn đau do răng khôn gây ra cũng như những nguy hiểm có thể xảy ra khi mọc răng khôn.
Với các thiết bị hiện đại, tiến tiến cùng đội ngũ bác sĩ trình độ chuyên môn cao, tận tâm trong công việc, Quý khách có thể yên tâm khi đến Nha khoa Tâm Đức Smile để thăm khám và tư vấn răng khôn hoàn toàn miễn phí!
Để biết thêm thông tin chi tiết, Quý khách vui lòng liên lạc đến nha khoa Tâm Đức Smile qua Hotline 19008040 - 0329851079 (Có sử dụng Zalo/Viber) để được hỗ trợ một cách tốt nhất.


