CHÂN RĂNG BỊ MÒN CÓ CHỮA ĐƯỢC KHÔNG? CÁCH KHẮC PHỤC HIỆU QUẢ
1. Chân răng bị mòn có chữa được không?
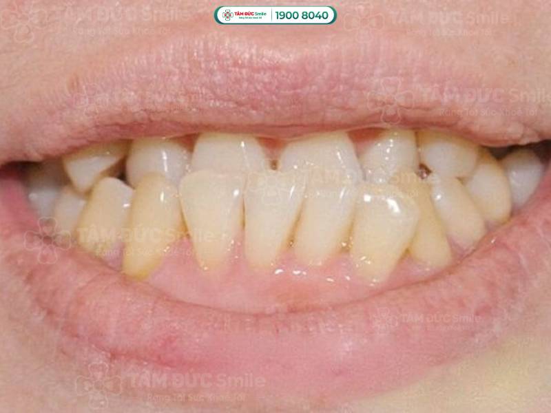
Chân răng bị mòn gây mất thẩm mỹ và ảnh hưởng nghiêm trọng đến sức khỏe răng miệng của bạn. Mời bạn cùng tìm hiểu nguyên nhân làm chân răng bị mòn và các phương pháp điều trị để khôi phục lại sức khỏe răng miệng toàn diện.
1.1. Nguyên nhân chân răng bị mòn
Dưới đây là những nguyên nhân chính làm mòn răng mà bạn nên biết để bảo vệ sức khỏe răng miệng của mình.
1.1.1. Vệ sinh răng miệng sai cách
Vệ sinh răng miệng sai cách là nguyên nhân hàng đầu làm mòn chân răng. Nhiều người vẫn mắc phải các lỗi sai khi chăm sóc răng miệng như:
- Đánh răng quá mạnh: Nhiều người nghĩ rằng đánh răng mạnh sẽ giúp loại bỏ mảng bám tốt hơn. Nhưng thực tế việc làm này sẽ làm mòn lớp men răng bảo vệ, làm lộ ra ngà răng nhạy cảm bên dưới và tăng nguy cơ mòn chân răng.
- Sử dụng bàn chải có lông cứng: Khi đánh răng, lông cứng của bàn chải tạo ra lực tác động lớn lên bề mặt răng, dẫn đến mòn men răng và làm tổn thương nướu. Điều này dẫn đến mòn chân răng và tăng nguy cơ viêm nướu.
- Không dùng chỉ nha khoa: Không dùng chỉ nha khoa sẽ làm thức ăn tích tụ ở kẽ răng, gây viêm nướu và dẫn đến mòn chân răng. Ngoài ra, mảng bám không được làm sạch sẽ thành cao răng, gây áp lực lên men răng và làm mòn chân răng theo thời gian.
- Không đánh đều khắp các bề mặt răng: Mảng bám và vi khuẩn sẽ tích tụ nhiều ở các vùng không được làm sạch. Lâu dần hình thành cao răng gây mòn chân răng, hôi miệng, viêm nướu, sâu răng,...
- Không thay bàn chải định kỳ: Bàn chải cũ là nơi trú ngụ của vi khuẩn. Nếu không được thay thường xuyên, vi khuẩn sẽ lây lan sang miệng, gây viêm nướu, sâu răng và làm mòn chân răng.

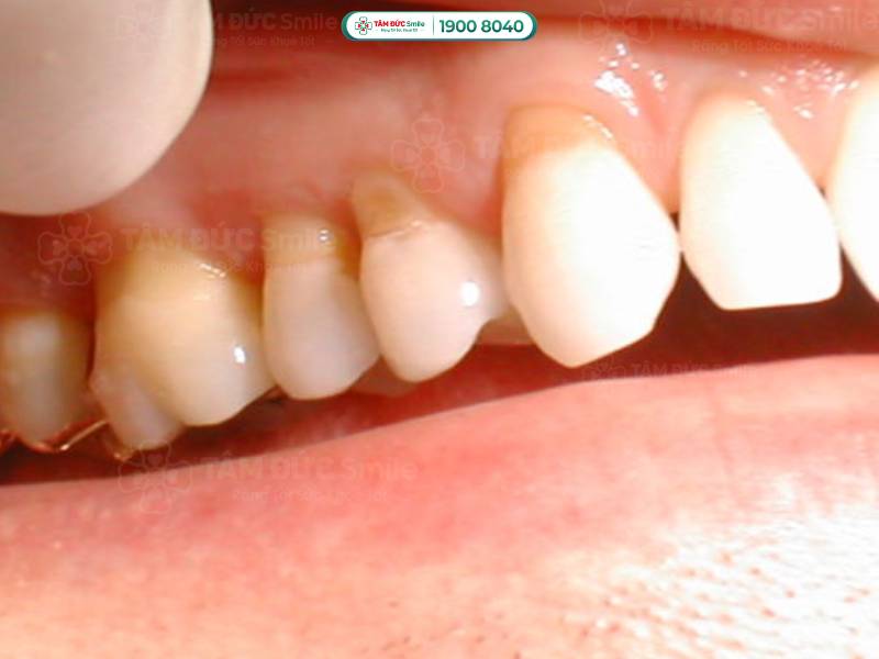
Chân răng bị mòn gây mất thẩm mỹ và ảnh hưởng nghiêm trọng đến sức khỏe răng miệng của bạn
1.1.2. Răng mọc chen chúc, lệch làm dễ làm chân răng bị mòn
Răng mọc chen chúc, xô lệch tạo ra nhiều kẽ hở, ngóc ngách khó vệ sinh, làm thức ăn thừa tích tụ. Nếu chỉ dùng bàn chải và chỉ nha khoa thông thường cũng không làm sạch hiệu quả các kẽ răng, dẫn đến hình thành cao răng và mòn chân răng.
Bên cạnh đó, răng mọc lệch tạo ra các điểm tiếp xúc không đều giữa các răng. Khi nhai thức ăn, áp lực phân bố không đều. Một số răng phải chịu lực lớn hơn và làm cho chúng bị mòn nhanh hơn, đặc biệt ở vùng chân răng. Răng mọc chen chúc, lệch còn làm cho nướu tổn thương do cọ xát giữa các răng. Nướu sẽ dễ bị tụt xuống, lộ ra phần chân răng, làm răng nhạy cảm và dễ mòn hơn.

Răng mọc lệch khi nhai thức ăn, áp lực phân bố không đều, các răng phải chịu lực lớn hơn sẽ bị mòn nhanh hơn
1.1.3. Chân răng bị mòn do thói quen đồ dai cứng
Khi bạn nhai các loại thức ăn dai cứng như: Đá, hạt cứng, thịt khô,... sẽ tạo lực lớn lên răng và nướu. Lực tác động này diễn ra liên tục sẽ làm mòn men răng và chân răng. Hơn nữa, đồ dai cứng có kết cấu dai, xơ, khi nhai sẽ tạo ra ma sát lớn giữa các bề mặt răng. Ma sát này làm mòn men răng và làm nướu tụt xuống, lộ ra phần chân răng, tạo điều kiện cho vi khuẩn xâm nhập và gây bệnh.
Thói quen nhai đồ cứng còn gây ra tình trạng lệch khớp cắn. Khớp cắn sai lệch gây áp lực không cân bằng lên các răng và chân răng, dẫn đến hiện tượng mòn răng nhanh chóng. Khớp cắn không đúng còn làm tăng nguy cơ vỡ hoặc mẻ răng, làm yếu đi cấu trúc của răng.
1.1.4. Chân răng bị mòn do viêm nướu, viêm nha chu
Khi nướu bị viêm, mô nướu xung quanh chân răng sẽ bị tổn thương và rút lại, làm lộ ra chân răng. Viêm nha chu là giai đoạn phát triển của viêm nướu. Khi vi khuẩn trong mảng bám không được kiểm soát, chúng sẽ xâm nhập sâu hơn vào nướu và phá hủy các cấu trúc hỗ trợ răng. Kết quả là chân răng yếu, bị mòn và dễ dẫn đến mất răng.
1.1.5. Di truyền tình trạng mòn cổ chân răng
Gen di truyền cũng quy định thành phần và cấu trúc của men răng. Một số người có gen răng mỏng, yếu hoặc cấu trúc răng dễ bị tổn thương. Điều này làm răng dễ bị mòn khi chịu tác động từ các yếu tố bên ngoài như: Chải răng quá mạnh, ăn thực phẩm có tính axit cao,... Bên cạnh đó, di truyền tình trạng mòn cổ chân răng cũng làm cho mô nướu xung quanh nhạy cảm và dễ bị tổn thương hơn. Qua đó làm nướu bị rút lại và lộ ra phần chân răng, làm tăng nguy cơ mòn răng.
1.1.6. Thói quen dùng răng cắn mở đồ vật
Khi sử dụng răng để mở nắp chai, xé bao bì,... lực mạnh và đột ngột sẽ làm tổn thương trực tiếp đến vùng cổ răng. Nếu bạn lặp đi lặp lại hành động này sẽ làm mòn men răng và gây ra các vết nứt nhỏ hoặc gãy mẻ răng, làm răng yếu hơn. Ngoài ra, thói quen này làm tổn thương mô nướu xung quanh, dẫn đến viêm nướu và viêm nha chu, làm lộ chân răng và tăng nguy cơ mòn răng.

Thói quen dùng răng cắn mở đồ vật sẽ làm mòn men răng, thậm chí là mẻ răng
1.1.7. Cao răng tích tụ lâu ngày
Cao răng là nơi trú ngụ của vi khuẩn gây sâu răng, viêm nướu,.... Khi tích tụ lâu ngày, vi khuẩn trong cao răng sẽ sinh sôi nảy nở, tấn công nướu, gây viêm nướu. Viêm nướu làm nướu sưng đỏ, chảy máu và dần tách khỏi răng, tạo thành những túi nướu. Túi nướu là môi trường lý tưởng cho vi khuẩn phát triển mạnh hơn, dẫn đến tình trạng viêm nhiễm nặng và làm lộ chân răng.
Vi khuẩn trong cao răng khi phân hủy thức ăn sẽ tạo ra axit. Axit này không chỉ làm mòn men răng ở thân răng mà còn tấn công men răng ở phần cổ chân răng. Điều này sẽ làm ngà răng bên trong sẽ lộ ra, làm răng nhạy cảm với các kích thích nóng, lạnh, chua, ngọt,...
1.2. Phương pháp điều trị mòn cổ chân răng
Mòn chân răng là tình trạng không thể xem nhẹ vì nó ảnh hưởng nghiêm trọng đến sức khỏe răng miệng của bạn. Dưới đây là các phương pháp điều trị mòn cổ chân răng hiệu quả mà bạn có thể tham khảo.
1.2.1. Trám răng
Trám răng là phương pháp điều trị phổ biến cho các trường hợp mòn chân răng nhẹ, chưa ảnh hưởng đến tủy răng. Bác sĩ sẽ làm sạch khu vực bị mòn, sau đó sử dụng vật liệu trám răng như: Composite, amalgam,... để lấp đầy phần chân răng bị mòn. Quá trình trám răng sẽ diễn ra nhanh chóng, không gây đau đớn và giúp bảo vệ răng, ngăn ngừa vi khuẩn xâm nhập.

Trám răng là phương pháp điều trị phổ biến cho các trường hợp mòn chân răng nhẹ
1.2.2. Chữa tủy răng và bọc răng sứ
Phương pháp này áp dụng cho trường hợp mòn chân răng nặng và tiến sâu đến gần tủy răng, gây ra các triệu chứng đau nhức, ê buốt,... Để điều trị tình trạng này, trước hết bác sĩ sẽ chữa tủy răng để loại bỏ hoàn toàn phần tủy răng bị nhiễm trùng hoặc tổn thương.
Sau khi chữa tủy răng, bác sĩ sẽ tư vấn bạn bọc sứ để bảo vệ răng. Răng sứ được chế tạo riêng biệt đảm bảo màu sắc và hình dạng hài hòa như răng thật. Bọc răng sứ giúp bạn khôi phục chức năng ăn nhai, cải thiện thẩm mỹ và bảo vệ răng khỏi sự ăn mòn của vi khuẩn.
2. Cách phòng ngừa mòn cổ chân răng
Để phòng ngừa tình trạng mòn chân răng bạn nên thực hiện các biện pháp dưới đây.
2.1. Vệ sinh răng miệng đúng cách
Vệ sinh răng miệng đúng cách là bước đầu tiên và quan trọng nhất để phòng ngừa mòn cổ chân răng. Dưới đây là những bước chi tiết mà bạn cần thực hiện hàng ngày để đảm bảo răng miệng luôn khỏe mạnh:
- Chọn đúng dụng cụ vệ sinh răng miệng: Bạn nên chọn bàn chải có lông mềm và đầu nhỏ để tránh làm tổn thương nướu và men răng. Bàn chải có đầu nhỏ giúp bạn dễ dàng tiếp cận và làm sạch các kẽ răng hiệu quả hơn.
- Sử dụng kem đánh răng chứa fluoride: Fluoride là khoáng chất giúp củng cố men răng và ngăn ngừa sâu răng. Sử dụng kem đánh răng chứa fluoride mỗi ngày giúp răng chắc khỏe hơn, ngăn ngừa sâu răng, viêm nướu,...
- Sử dụng chỉ nha khoa hàng ngày: Chỉ đánh răng thôi là chưa đủ để làm sạch hoàn toàn các kẽ răng, nơi mà bàn chải không thể tiếp cận được. Sử dụng chỉ nha khoa hàng ngày giúp loại bỏ thức ăn còn sót lại giữa các kẽ răng, giảm nguy cơ viêm nướu và sâu răng.
- Súc miệng sau khi đánh răng: Sử dụng nước súc miệng sau khi đánh răng giúp loại bỏ vi khuẩn còn sót lại trong miệng và mang lại hơi thở thơm mát. Nước súc miệng chứa các thành phần kháng khuẩn giúp giảm viêm, ngăn ngừa viêm nướu và sâu răng.

Nên sử dụng chỉ nha khoa hàng ngày
2.2. Cạo vôi răng định kỳ
Cao răng tích tụ là nguyên nhân chính gây viêm nướu và viêm nha chu. Do đó, bạn nên cạo vôi răng định kỳ để ngăn ngừa viêm nhiễm và bảo vệ sức khỏe răng miệng. Bề mặt răng mịn màng sau khi cạo vôi và đánh bóng sẽ khó bám dính mảng bám mới, mòngiúp duy trì răng miệng sạch sẽ lâu dài. Hơn nữa, khi cao răng được loại bỏ, vệ sinh răng miệng cũng hiệu quả hơn, giảm nguy cơ tích tụ cao răng và mòn chân răng.
2.3. Khám răng miệng tại nha khoa
Bác sĩ có chuyên môn và trang thiết bị nha khoa hiện đại sẽ kiểm tra kỹ lưỡng tình trạng răng miệng của bạn. Qua đó giúp bạn phát hiện sớm các dấu hiệu làm mòn răng và từ đó có những can thiệp kịp thời. Bác sĩ sẽ cung cấp các hướng dẫn cho bạn về cách chăm sóc răng miệng phù hợp, chế độ ăn uống,.. để bảo vệ răng nướu. Đồng thời, khám răng miệng định kỳ giúp bác sĩ theo dõi tiến triển sức khỏe răng miệng của bạn. Qua đó điều chỉnh các phương pháp chăm sóc phù hợp với bạn.

Khám răng định kỳ để bác sĩ theo dõi sức khỏe răng miệng của bạn
2.4. Từ bỏ thói quen xấu gây hại cho răng và nướu
Từ bỏ những thói quen xấu như: Dùng răng cắn mở đồ vật, nhai đồ cứng, nghiến răng,... Những thói quen này tạo áp dụng lực lớn lên răng, làm mòn men răng và gây tổn thương cho chân răng. Ngoài ra, bạn nên từ bỏ thói quen hút thuốc, vì nicotine trong thuốc lá gây viêm nướu, làm yếu chân răng và tăng nguy cơ mòn cổ chân răng.
2.5. Xây dựng chế độ ăn uống lành mạnh, khoa học
Bạn nên hạn chế tiêu thụ các loại thực phẩm chứa nhiều đường và axit, vì chúng làm mòn men răng và gây sâu răng. Thay vào đó, bạn nên tăng cường ăn các loại thực phẩm giàu canxi và vitamin D như: Sữa, phô mai, rau xanh,... để giúp răng chắc khỏe. Ngoài ra, bạn nên uống đủ nước hàng ngày để duy trì lượng nước bọt cần thiết nhằm làm sạch khoang miệng và trung hòa axit. Điều này sẽ giúp bảo vệ men răng và ngăn ngừa mòn cổ chân răng.
Hy vọng bài viết này đã giúp bạn hiểu rõ nguyên nhân làm chân răng bị mòn và các phương pháp điều trị hiệu quả. Nếu bạn đang gặp phải tình trạng này, bạn nên đến gặp bác sĩ để được tư vấn và điều trị kịp thời. Bên cạnh đó, bạn cần vệ sinh răng miệng đúng cách, từ bỏ thói quen xấu và có chế độ ăn uống hợp lý để tránh làm mòn chân răng.
Quý khách đang gặp vấn đề về mòn cổ chân răng, hãy liên hệ với Tâm Đức Smile bằng cách:
- Gọi đến Hotline 19008040 - 0329851079 (Có sử dụng Zalo/Viber).
- Điền thông tin vào bảng sau đây để được bác sĩ giải đáp miễn phí.


