CẠO VÔI RĂNG SIÊU SẠCH BẰNG CÔNG NGHỆ SÓNG SIÊU ÂM
1. Tại sao lại cần lấy vôi răng định kỳ?
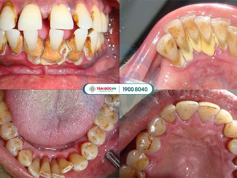
Vôi răng được hình thành từ thức ăn dư hàng ngày, không thể loại bỏ triệt để, bám chặt vào thân răng. Vôi răng là nơi tồn tại rất nhiều vi khuẩn gây viêm nhiễm, vôi răng lâu ngày không được loại bỏ chính là “căn cứ” tốt nhất để vi khuẩn tấn công vào răng và nướu. Thông thường những đốm sâu nhỏ sẽ xuất hiện xung quanh chỗ nhiều vôi răng, đôi khi vùng sâu bị vôi răng che mất nên chỉ khi răng đau nhức do sâu vào đến tủy thì bệnh nhân mới phát hiện ra. Ngoài sâu răng, vôi răng không được vệ sinh định kỳ sẽ khiến cho bệnh nhân bị viêm, nhiễm phần nướu, dẫn đến các bệnh viêm nướu, viêm nha chu,... thậm chí gây mất răng từ từ.
Việc lấy vôi răng định kỳ 6 tháng/ lần là giải pháp loại bỏ nơi sinh sôi của vi khuẩn, ngăn chặn sâu răng, viêm nhiễm nướu và tủy. Bên cạnh đó cạo vôi răng còn mang lại cho Quý khách hơi thở tự tin, thơm mát và giữ được màu răng trắng, sáng nhất có thể.
Ngay cả khi Quý khách đã làm răng sứ thì Quý khách cũng phải lấy vôi răng định kỳ vì vi khuẩn sâu răng vẫn có khả năng đục phá lớp răng sứ rắn chắc của Quý khách dù ngoài mặt của răng sứ được phủ lớp men hạn chế hình thành các mảng bám.
Vôi răng không thể loại bỏ bằng cách đánh răng, súc miệng và dùng chỉ nha khoa hàng ngày mà chỉ có thể vệ sinh bằng dụng cụ nha khoa chuyên dụng tại các phòng khám.

Cao răng là nguyên nhân gây hôi miệng
ĐẶT HẸN NGAY HÔM NAY ĐỂ ĐƯỢC:
► Khám và tư vấn miễn phí
► Ưu đãi dịch vụ cạo vôi răng lên đến 50%
2. Ưu điểm công nghệ cạo vôi răng bằng sóng siêu âm
Lấy vôi răng bằng phương pháp truyền thống, hiện nay vẫn còn được nhiều nha khoa sử dụng đó chính là dùng dụng cụ mài chuyên dụng gồm một máy mài kết hợp với máy phun và hút nước, từ từ phá vỡ từng mảnh vôi răng bám trên răng, sau đó dùng lực đẩy của nước để lấy cái mảng vôi ra khỏi khoang miệng. Tuy nhiên phương pháp này cũng sớm được thay thế bởi cách làm truyền thống thường dẫn đến những tình trạng sau:
- Ê nhức răng trong và sau khi lấy
- Dễ phạm vào nướu
- Không thể lấy được phần vôi răng nằm dưới nướu và các kẽ răng
- Dễ bào mòn men răng

Cao răng là nguyên nhân chủ yếu dẫn đến sâu răng và hôi miệng
Chính vì những khuyết điểm từ phương pháp cạo vôi răng truyền thống nên công nghệ cạo vôi bằng sóng siêu âm ra đời.
Sử dụng sóng siêu âm 25 Kz và công suất tối đa 30W tác động vào sâu kết cấu của vôi răng làm mảng vôi bám vỡ tự nhiên, sau đó dùng sức ép tối đa 414 Kpa từ nước khiến vôi răng rơi ra, dễ dàng loại bỏ vôi răng mà
- Không gây tổn hại đến bất cứ mô xung quanh răng và răng
- Hạn chế tình trạng chảy máu
- Hoàn toàn không ê, buốt cả trong và sau khi cạo vôi răng.
- Nhờ tầng sóng âm len lỏi phá vỡ các liên kết vôi răng. loại bỏ vôi ở những khu vực khó nhất, làm sạch đến 98%
- Nhanh chóng, tiết kiệm thời gian hơn so với cạo vôi răng thông thường
- Giá thành tương đương với phương pháp truyền thống
Mời Quý khách tham khảo quy trình cạo vôi răng tại nha khoa Tâm Đức Smile
3. Quá trình cạo vôi răng bằng sóng siêu âm chuẩn 5 sao
Quá trình cạo vôi răng bằng sóng siêu âm tại Tâm Đức Smile được tuân thủ theo đúng 4 bước sau đây:
-
Khám tổng quát: tại một số nha khoa khác, đặc biệt là với phương pháp cạo vôi truyền thống, bác sĩ sẽ lược bỏ bước này, tiến hành cạo vôi răng luôn. Nhưng tại Tâm Đức Smile, bác sĩ sẽ tiến hành khám tổng quát trước để xác định tần số sẽ dùng để loại bỏ vôi răng của khách cũng như nhận biết răng nào sâu, yếu vùng nào nhạy cảm.
-
Thống nhất chi phí cạo vôi răng trước khi vệ sinh với khách hàng
-
Cạo vôi răng bằng sóng siêu âm
-
Đánh bóng răng
4. Tại sao nên cạo vôi răng sóng siêu âm tại Tâm Đức Smile:
Hiện có rất nhiều nha khoa quảng cáo công nghệ cạo vôi răng siêu âm nhưng để đảm bảo sức khỏe, quý khách hãy chọn những nha khoa uy tín để không xảy ra những sự cố đáng tiếc. Quý khách nên lựa chọn những nha khoa đáp ứng những điều kiện sau đây:
- Có giấy phép kinh doanh
- Bác sĩ có bằng cấp, kinh nghiệm lâu năm
- Trang thiết bị tiên tiến, hiện đại
- Cơ sở vật chất sạch sẽ, vệ sinh
- Minh bạch về giá cả
Tâm Đức Smile tự tin là hệ thống nha khoa 26 chi nhánh chất lượng hàng đầu miền Nam, là địa chỉ nha khoa yêu thích của Sao Việt, được khách hàng lựa chọn và tin tưởng trong hơn 12 năm qua. Chúng tôi tự hào luôn cung cấp cho quý khách trải nghiệm tốt nhất dù là những dịch vụ nhỏ nhất.
Bên cạnh đó, Nha Khoa còn có những suất ưu đãi dành cho khách hàng may mắn lên đến 50%, quý khách hãy đặt lịch thăm khám trước khi đến để nhận được những ưu đãi hấp dẫn nhé!
Mọi thắc mắc, quý khách hãy gọi về Hotline 19008040 - 0329851079 (Có sử dụng Zalo/Viber) hoặc để lại thông tin tại đây đội ngũ tư vấn viên chúng tôi sẽ liên hệ lại sớm nhất.




