CẠO VÔI RĂNG Ở ĐÂU TỐT VÀ UY TÍN TẠI TPHCM
1. Địa chỉ cạo vôi răng uy tín tại TPHCM
Ý thức được sự quan trọng của cạo vôi răng đối với răng miệng, nên chúng ta lựa cần chọn một cơ sở uy tín để thực hiện, đảm bảo được hiệu quả, an toàn, tính thẩm mỹ răng miệng.
Cơ sở cạo vôi răng uy tín tức là phải cam kết được những yếu tố trên, đồng thời đáp ứng được đầy đủ những điều kiện:
- Hoạt động dưới sự cấp phép của Sở Y Tế.
- Bác sĩ phụ trách có chuyên môn cao, có kinh nghiệm.
- Máy móc hiện đại, công nghệ mới.
Trung tâm Nha khoa Tâm Đức Smile là địa chỉ cạo vôi răng uy tín được đông đảo bệnh nhân tin tưởng, lựa chọn. Là một trong những trung tâm nha khoa ứng dụng công nghệ kỹ thuật cao, đạt chuẩn quốc tế.

Hiểu được sự cần thiết của cạo vôi răng trong chăm sóc răng miệng, nên các bác sĩ tại Trung tâm Nha khoa Tâm Đức Smile luôn chú trọng sự an toàn và tỉ mỉ khi cạo vôi răng cho bệnh nhân.
ĐẶT HẸN NGAY HÔM NAY ĐỂ ĐƯỢC:
► Khám và tư vấn miễn phí
► Ưu đãi dịch vụ cạo vôi răng lên đến 50%
2. Cạo vôi răng sạch – Không đau – Không ê tại Tâm Đức Smile
Khác với những cơ sở khác, Tâm Đức Smile đưa ứng dụng công nghệ cao vào liệu trình cạo vôi răng, nhằm đảm bảo loại bỏ hoàn vôi răng ẩn sâu ở chân răng mà không ảnh hưởng nướu răng.
Cụ thể như:
- Sử dụng đầu máy siêu âm siêu nhỏ với chuyển động rung của các bước sóng lên toàn bộ bề mặt có mảng bám, vôi răng; loại bỏ nhanh chóng ngay cả khi chúng nằm sâu dưới nướu hay trong các kẽ răng.
- Máy cạo vôi răng được dùng sóng siêu âm có độ rung nhẹ, hoàn toàn không gây thương tổn nướu và men răng.
- Sau đó, bác sĩ sẽ tiến hành cạo vôi răng một cách nhẹ nhàng, cẩn trọng và tỉ mỉ, tránh gây đau cho bệnh nhân.
Quý khách cần lưu ý, tránh tin vào những lời quảng cáo “Cạo vôi răng giá rẻ” để rồi lựa chọn những cơ sở nha khoa không uy tín, quy trình cạo vôi không đạt chuẩn, sẽ dẫn đến nhiều ảnh hưởng nghiêm trọng cho răng như:
- Chảy máu chân răng.
- Tổn thương nướu răng.
- Răng ê buốt, đau.
- Cạo vôi không sạch.
- Dụng cụ nha khoa không vô trùng.
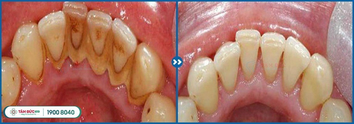
3. Khách hàng cạo vôi răng tại nha khoa Tâm Đức Smile



Các ca cạo vôi răng tại Nha Khoa Tâm Đức Smile
4. Cận cảnh khách hàng lấy vôi răng tại nha khoa Tâm Đức Smile
ĐẶT HẸN NGAY HÔM NAY ĐỂ ĐƯỢC:
► Khám và tư vấn miễn phí
► Ưu đãi dịch vụ cạo vôi răng lên đến 50%
Chính vì vậy, khi cần hỗ trợ bất cứ điều gì, Quý khách đừng ngần ngại liên hệ với bác sĩ chuyên khoa của Tâm Đức Smile qua Hotline 19008040. Mọi thắc mắc của Quý khách sẽ được bác sĩ của chúng tôi giải đáp một cách cụ thể, hoàn toàn miễn phí.
5. Bảng giá dịch vụ cạo vôi răng tại nha khoa Tâm Đức Smile
| CẠO VÔI RĂNG | GIÁ NIÊM YẾT (VNĐ) |
| Cạo vôi + đánh bóng mức độ 1 | 500.000 |
| Cạo vôi + đánh bóng mức độ 2 (Vôi nhiêu) | 600.000 |
| Cạo vôi KHÔNG ĐAU với máy rung siêu âm | 700.000 - 1.000.000 |
Để nhận ưu đãi cạo vôi răng lên đến 50%, Quý khách hãy gọi ngay vào số Hotline 19008040 - 0329851079 (Có sử dụng Zalo/Viber) hoặc đăng ký tư vấn theo form dưới đây để được bác sĩ nha khoa Tâm Đức Smile tư vấn nhanh và chi tiết.




