CAO RĂNG GÂY HÔI MIỆNG CÓ CHỮA ĐƯỢC KHÔNG?
1. Giải đáp: Cao răng gây hôi miệng có chữa được không?
Cao răng gây hôi miệng có chữa được không? Câu trả lời là có. Để hiểu sâu hơn về cao răng và cách chữa trị cao răng hiệu quả, Tâm Đức Smile xin chia sẻ đến bạn những thông tin sau đây.
1.1. Cao răng là gì?
Cao răng là lớp bọc bên ngoài răng, nó có màu vàng nhạt, vàng đậm hoặc màu đen tuỳ theo mức độ tích tụ của mảng bám.
>>> Xem thêm:
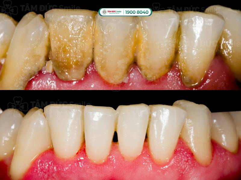
Quá trình ăn uống làm cao răng tích tụ dần mỗi ngày. Thời điểm cao răng gây hôi miệng cũng là lúc sức khỏe răng miệng của bạn đang ở mức báo động. Cao răng chính là nơi giúp vi khuẩn phát triển. Số lượng vi khuẩn càng nhiều, mùi hôi miệng càng khó chịu.

Quá trình ăn uống làm cao răng tích tụ dần mỗi ngày
1.2. Cách chữa cao răng nhanh, hiệu quả
Cạo cao răng là cách nhanh nhất và hiệu quả nhất để loại bỏ mùi hôi miệng. Các bước thực hiện cơ bản trong cạo vôi răng gồm:
- Dùng dụng cụ cạo vôi răng bằng tay hoặc bằng máy để loại bỏ vôi răng một cách từ từ.
- Xịt rửa răng liên tục bằng nước sạch trong suốt quá trình cạo cao răng nhầm loại bỏ lớp cao răng vừa bong ra.
- Ống hút nước bọt được bật liên tục để hút nước và cao răng vụn giúp bạn không bị ngạt hoặc sặc.
- Cuối cùng, bác sĩ đánh bóng bề mặt răng để tăng tính thẩm mỹ cho răng, giúp răng của bạn trắng và sáng hơn trước.
1.3. Lý do bạn nên cạo vôi răng định kỳ
Cao răng là môi trường thuận lợi cho vi khuẩn trong miệng sinh sôi và gây ra nhiều ảnh hưởng nghiêm trọng như:
- Cao răng gây hôi miệng khi tích tụ nhiều.
- Cao răng làm mòn men răng dẫn đến sâu hỏng răng.
- Cao răng gây ra hàng loạt viêm nhiễm ở nướu, ở túi nha chu và ở sâu trong tuỷ răng.
- Cao răng gây mất vệ sinh trong ăn uống nếu bị tróc, vỡ ra.
Theo lời khuyên của bác sĩ, bạn nên cạo vôi răng định kỳ mỗi năm. Nếu răng của bạn nhanh tích tụ cao răng, bạn nên cạo vôi răng mỗi 6 tháng 1 lần. Ngoài yếu tố cơ địa, chế độ ăn uống cũng làm tích tụ cao răng rất nhanh. Chẳng hạn, người thường xuyên dùng thực phẩm giàu tinh bột, bánh kẹo hay nước ngọt,... dễ bị tích tụ cao răng hơn so với người không ăn.

Theo lời khuyên của bác sĩ, bạn nên cạo vôi răng định kỳ mỗi năm
Lợi ích bạn nhận được sau khi cạo vôi răng:
- Khắc phục hoàn toàn tình trạng cao răng gây hôi miệng.
- Khoang miệng thông thoáng và bạn có cảm giác sạch sẽ, nhẹ nhõm hơn trước.
- Răng được “gỡ bỏ gánh nặng” là những mảng cao răng nặng trịch.
- Màu sắc của răng được cải thiện, bạn tự tin và thích cười hơn trước.
- Sức khỏe được cải thiện sau khi bạn loại bỏ ổ vi khuẩn trong cao răng.
2. Tổng hợp những thắc mắc về cao răng
Cao răng gây hôi miệng kèm theo nhiều biến chứng như: nhiễm trùng, sâu răng, mất răng vĩnh viễn. Để bảo vệ sức khoẻ ăn nhai cùng nụ cười đẹp, bạn hãy quan tâm đến việc loại bỏ cao răng ngay hôm nay.
2.1. Cạo cao răng có đau không?
Cao răng là lớp màng cứng đóng chặt bên ngoài răng nên việc loại bỏ vôi răng không gây đau đớn. Trong một vài trường hợp, cao răng tích tụ nhiều và bám vào nướu, lúc này, cạo cao răng có thể làm bạn cảm thấy hơi ê buốt.
Chính vì vậy, trước khi cạo vôi răng, bác sĩ thường đề nghị bạn cần tiêm hoặc xịt thuốc tê để không còn cảm thấy khó chịu.
Thời gian cạo cao răng cũng có sự khác biệt đối với người có cao răng nhiều và người có cao răng ít. Thời gian cạo vôi răng càng lâu, bạn có thể mất đi sự kiên nhẫn và sinh ra cảm thấy khó chịu. Đây cũng là lý do bác sĩ khuyên rằng bạn hãy cạo vôi răng định kỳ, mục đích là giúp quá trình làm sạch răng diễn ra nhanh chóng hơn.

Cao răng là lớp màng cứng đóng chặt bên ngoài răng nên việc loại bỏ vôi răng không gây đau đớn
2.2. Cạo cao răng tại nhà được không? Có hiệu quả không?
Bạn khó có thể cạo cao răng tại nhà vì:
- Dễ thực hiện sai kỹ thuật, làm tổn thương nướu và tăng nguy cơ phá hủy men răng.
- Không đủ thiết bị y tế và không thể đảm bảo vô trùng cho các dụng cụ dùng trong cạo vôi răng.
- Bạn không thể nhìn thấy mặt trong của răng và những góc khuất trong khoang miệng. Việc bỏ sót những mảng cao răng này sẽ giúp vi khuẩn phát triển mạnh mẽ và hình thành lỗ sâu trên răng.
Ngoài ra, đối với các phương pháp trị cao răng tại nhà, bạn chỉ nên tham khảo và áp dụng khi cao răng tích tụ rất ít. Đối với người có cao răng dày, màu răng đã ngả sang vàng hoặc đen thì các biện pháp dân gian này không mang lại hiệu quả.
2.3. Làm sao để ngăn ngừa cao răng tích tụ?
Cao răng gây hôi miệng và đem lại nhiều điều bất lợi cho sức khỏe. Chúng được tích tụ dần qua quá trình ăn uống hằng ngày. Vì vậy, bạn có thể chủ động phòng ngừa cao răng bằng các biện pháp sau đây.
2.3.1. Hạn chế một số thực phẩm làm tích tụ cao răng
Thực phẩm hàng đầu làm cao răng tích tụ nhiều và nhanh thường có tính dẻo, dính. Ví dụ; các loại kẹo, bánh ít, bánh bột lọc, mạch nha, đường thốt nốt, bánh tráng, các loại thạch có trong trà sữa,… Ngoài ra, để ngăn ngừa cao răng tích tụ, bạn nên hạn chế ăn các chất đường bột như bánh ngọt, mì gói, khoai, các loại hạt,...

Hạn chế các thực phẩm làm tích tụ cao răng như bánh kẹo
Khẩu phần ăn của bạn cũng cần giảm bớt các loại nước uống dễ tạo thành cao răng như:
- Trà sữa: Dễ lưu lại ở kẽ răng, lâu ngày bị vôi hoá thành cao răng.
- Nước ngọt, soda: Phá hủy men răng, chứa đường tạo ra môi trường thuận lợi cho vi khuẩn nhanh chóng phát triển.
2.3.2. Vệ sinh răng miệng kỹ lưỡng
Vệ sinh răng miệng thường xuyên và kỹ lưỡng giúp bạn loại sạch các mảng bám sau khi ăn. Tốt nhất, bạn nên súc miệng và chải sơ răng sau khi dùng các loại thực phẩm hay nước uống vừa được liệt kê ở trên.
Bên cạnh đó, bạn cần đảm bảo thao tác chải răng được thực hiện đúng cách. Chẳng hạn như:
- Chải răng theo chiều xoắn ốc với lực chải nhẹ nhàng.
- Chải cả mặt ngoài, mặt trong lẫn mặt nhai của răng.
- Quá trình chải răng phải kéo dài ít nhất 2 phút.
2.3.3. Dùng đầy đủ dụng cụ vệ sinh răng miệng
Để chăm sóc răng miệng toàn diện, bạn cần chuẩn bị các dụng cụ như:
- Bàn chải lông mềm. Bạn nên dùng bàn chải này để tránh làm tổn thương nướu. Vì nướu là một tổ chức nâng đỡ răng, cố định răng và nuôi dưỡng răng.
- Máy tăm nước. Đây là dụng cụ giúp bạn loại sạch mảng bám ở góc khuất bên trong khoang miệng, nơi bàn chải đánh răng không chạm tới được. Nếu chăm chỉ dùng máy tăm nước, bạn có thể ngăn ngừa hiệu quả quá trình hình thành cao răng.
- Chỉ nha khoa. Sau khi ăn, bạn nên dùng chỉ nha khoa để loại sạch vụn thức ăn còn mắc lại ở kẽ răng. Hành động này giúp răng của bạn giảm nguy cơ bị tích tụ mảng bám một cách đáng kể.

Sau khi ăn, bạn nên dùng chỉ nha khoa để loại sạch vụn thức ăn còn mắc lại ở kẽ răng
2.3.4. Thăm khám định kỳ tại nha khoa
Thăm khám răng miệng định kỳ là cách tốt nhất để bạn theo sát tiến trình hình thành cao răng nhằm kịp thời loại bỏ nó. Theo lời khuyên của bác sĩ, bạn nên khám răng định kỳ mỗi 6 tháng 1 lần. Nếu bạn có cơ địa dễ bị tích tụ vôi răng, bạn nên khám răng định kỳ mỗi 3 tháng 1 lần.
Ngoài việc kiểm soát hình thành cao răng, khám răng định kỳ còn giúp bạn phát hiện răng sâu kịp lúc. Ngay khi bắt gặp răng có lỗ sâu, bạn nên đề nghị với bác sĩ cho bạn trám răng càng sớm càng tốt.

Thăm khám răng miệng định kỳ là cách tốt nhất để bạn theo sát tiến trình hình thành cao răng nhằm kịp thời loại bỏ nó
Cao răng gây hôi miệng, làm tăng nguy cơ sâu răng và viêm nướu. Khi bị hôi miệng, trong bạn sẽ sinh ra cảm giác thiếu tự tin, e ngại khi nói hoặc cười với người xung quanh. Điều này có tác động tiêu cực đến sức khỏe lẫn tinh thần của bạn. Vì vậy, loại bỏ cao răng là biện pháp tốt nhất giúp bạn nâng cao chất lượng cuộc sống. Ngay bây giờ, bạn hãy liên hệ với nha khoa Tâm Đức Smile để được đặt lịch tư vấn và thăm khám miễn phí qua:
- Hotline 19008040 - 0329851079 (Có sử dụng Zalo/Viber).
- Mời bạn chia sẻ vấn đề của mình với bác sĩ tại Tâm Đức Smile ở bảng sau đây.


