ÁP XE RĂNG SỐ 7 PHẢI LÀM SAO? NGUYÊN NHÂN VÀ CÁCH CHỮA TRỊ
1. Nguyên nhân bị áp xe răng số 7
Răng số 7 nằm ở vị trí trong cùng của hàm, mọc trong độ tuổi từ 12-13 khi trẻ đã thay hết răng sữa. Nhiệm vụ quan trọng của răng số 7 là nhai và nghiền thức ăn, tạo thành một hệ thống nhai hoàn chỉnh. Vì kích thước lớn nên cấu tạo của chiếc răng này rất phức tạp, có 2-3 chân răng và nhiều rãnh trên bề mặt.
Tuy nhiên, vì nằm ở vị trí khuất và có cấu tạo phức tạp, răng số 7 dễ mắc các bệnh lý về răng miệng. Mọi người khó vệ sinh chiếc răng ở tận trong cùng, nếu xuất hiện lỗ sâu cũng dễ bị bỏ qua. Ngoài ra, vùng kẽ răng giữa số 7 và số 8 (răng khôn) lớn trở thành nơi lý tưởng của mảng bám, cao răng, vi khuẩn, dị vật,...

Răng số 7 và số 8 nằm ở vị trí trong cùng của hàm
Do đó, nếu không được vệ sinh sạch sẽ và thăm khám thường xuyên, răng số 7 dễ bị tổn thương. Những nguyên nhân trực tiếp gây nên tình trạng áp xe răng chính là:
- Sâu răng: Men răng và ngà răng bị phá hủy, mở đường cho vi khuẩn xâm nhập vào tủy răng. Lỗ sâu xuất hiện ở răng bên trong khó phát hiện, lâu ngày gây viêm nhiễm và hình thành áp xe răng số 7.
- Viêm nha chu: Viêm nha chu là bệnh lý do vi khuẩn gây nên. Do đó, nếu không được điều trị sớm, vi khuẩn tấn công nướu và các mô, tạo điều kiện cho vi khuẩn lây lan vào bên trong.
2. Biến chứng khi bị áp xe răng số 7
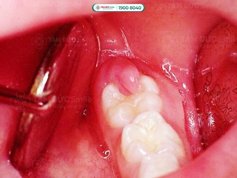
Khi bị áp xe răng ở vị trí răng số 7, bạn thường gặp những dấu hiệu sau:
- Mô nướu sưng và chứa đầy mủ. Phần lợi bị sưng to, nhìn như mọc cái mụn ngay cạnh răng hàm.
- Vì răng số 7 đảm nhận chức năng nhai nghiền thức ăn, vậy nên khi bị tổn thương, hoạt động ăn nhai rất khó khăn. Lực nghiền tác động lên răng, tạo ra các cơn đau nhói, răng nhạy cảm với nhiệt độ (khi ăn đồ nóng hoặc lạnh).
- Khi bọc mủ bị vỡ sẽ tạo ra các "lỗ rò" để giải phóng mủ bên trong. Lúc này, bạn thấy được phần nướu sưng tấy đặc trưng của tình trạng nhiễm trùng.
- Dưới cổ nổi hạch to, sưng đau, miệng đắng ngắt và có mùi hôi khó chịu, sốt cao kèm mất tập trung.
Nếu không phát hiện sớm các dấu hiệu trên, tình trạng áp xe răng số 7 tiến triển nặng và gây nhiều biến chứng nguy hiểm như:
- Vi khuẩn từ ổ áp xe lây lan sang các mô xung quanh như nướu, má, họng,... gây sưng tấy, mưng mủ. Nguy hiểm nhất là làm cho đường hô hấp bị tắc nghẽn do mưng mủ, làm người bệnh bị khó thở.
- Trong trường hợp nặng, vi khuẩn xâm nhập vào máu dẫn đến nhiễm trùng huyết hoặc vào não, người bệnh có thể hôn mê, thậm chí tử vong.
- Áp xe nếu không được điều trị kịp thời sẽ phá hủy cấu trúc xung quanh răng, dẫn đến tiêu xương và mất răng.

Bị áp xe răng ở vị trí răng số 7
3. Cách chữa áp xe răng số 7
Áp xe răng số 7 có thể điều trị được nếu bạn đến gặp bác sĩ kịp thời. Có 3 cách chữa áp xe răng ở răng số 7 tùy theo mức độ nặng nhẹ và nguyên nhân gây bệnh:
- Trường hợp răng chưa bị hư hại: Trong trường hợp nhẹ, bác sĩ xác định răng chưa hư hại hoàn toàn, các phương pháp bảo tồn răng được sử dụng. Bác sĩ loại bỏ phần mô bệnh, lấy tủy chết, làm sạch ống tủy rồi hàn kín bằng vật liệu sinh học. Nếu có bọc mủ, bác sĩ chích rạch và dẫn mủ ra ngoài. Để cải thiện khả năng ăn nhai và thẩm mỹ hàm răng, bạn có thể cân nhắc bọc răng sứ hoặc trám răng.
- Trường hợp nặng: Nếu răng hư tổn nhiều, không thể giữ lại được, bác sĩ sẽ chỉ định nhổ răng. Sau đó, bác sĩ dẫn mủ ra ngoài để giảm đau. Để ngăn ngừa hậu quả do mất răng gây ra (tiêu xương, răng xô lệch), bác sĩ khuyến khích người bệnh nên trồng răng Implant thay thế răng đã mất.
- Nguyên nhân áp xe răng số 7 do nha chu: Bác sĩ lấy sạch cao răng, nạo túi và ổ mủ xung quanh răng rồi kê thêm kháng sinh, giảm đau cho người bệnh.
Trong trường hợp tủy răng bị áp xe và lây lan rộng, bác sĩ chỉ định điều trị tủy răng trước. Bác sĩ dùng vật liệu chuyên dụng để trám bít ống tủy, lấy sạch phần tủy bị nhiễm vi khuẩn và thay thế bằng Gutta – Percha.
4. Lưu ý giữ vệ sinh răng miệng hàng ngày
Để phòng tránh tình trạng áp xe răng số 7, bạn nên giữ vệ sinh răng miệng và vệ sinh sạch sẽ mỗi ngày.
4.1. Đánh răng ít nhất 2 lần mỗi ngày
Các chuyên gia khuyên bạn nên đánh răng ít nhất 2 lần mỗi ngày. Thời điểm vệ sinh răng tốt nhất là vào buổi sáng sau khi ngủ dậy và buổi tối trước khi đi ngủ. Mỗi lần đánh răng, bạn nên dành ít nhất 2 phút, kết hợp bàn chải lông mềm và kem đánh răng có chứa fluoride. Kỹ thuật đánh răng đúng cách là: Chải răng theo chiều dọc từ trên xuống dưới, chải từng kẽ răng, mặt ngoài, mặt trong và mặt nhai của răng.

Các chuyên gia khuyên bạn nên đánh răng ít nhất 2 lần mỗi ngày
4.2. Dùng thêm dụng cụ hỗ trợ làm sạch răng
Chỉ mỗi đánh răng là chưa đủ. Vì kẽ răng, các răng ở mặt trong như răng số 7 khó vệ sinh, bàn chải không thể chạm tới được. Vậy nên, bác sĩ khuyến nghị bạn nên dùng thêm các dụng cụ hỗ trợ làm sạch răng như: Chỉ nha khoa, tăm nước và nước súc miệng. Các dụng cụ hỗ trợ này giúp loại bỏ mảng bám ở kẽ răng, thức ăn thừa và tiêu diệt vi khuẩn hiệu quả.
Lưu ý: Bạn nên sử dụng chỉ nha khoa ít nhất 1 lần mỗi ngày, dùng sau bữa ăn. Ngoài ra, bạn cũng nên sử dụng nước súc miệng sau khi đánh răng hoặc sau khi ăn.
4.3. Hạn chế ăn các thực phẩm nhiều đường, axit
Đường trong thực phẩm là nguyên nhân chính gây sâu răng, tạo môi trường thuận lợi cho vi khuẩn phát triển. Do đó, bạn nên hạn chế ăn các thực phẩm như: Kẹo, bánh ngọt, nước ngọt có ga, Socola,... Đặc biệt, bạn nên theo dõi con em mình, hạn chế cho bé sử dụng đồ ngọt. Nếu có, bạn không nên để bé ăn vào buổi tối, tạo thói quen đánh răng sạch sẽ sau khi ăn.
Ngoài đường, axit cũng là tác nhân có hại cho răng, bào mòn men răng và gây nhiều bệnh lý nha chu. Vậy nên, bạn hạn chế ăn trái cây chua và các loại thực phẩm có vị chua nhân tạo.

Ăn các loại rau củ quả tươi rất tốt cho răng
4.4. Bổ sung thực phẩm tốt cho răng
Các loại thực phẩm tốt cho răng bạn nên bổ sung vào thực đơn là:
- Thực phẩm giàu canxi: Canxi giúp răng chắc khỏe, củng cố lớp bảo vệ của răng. Các loại thực phẩm giàu canxi là các loại hạt, sữa và chế phẩm được làm từ sữa.
- Thực phẩm giàu chất xơ: Chất xơ giúp tăng tiết nước bọt và chống lại sự tấn công của axit. Các loại thực phẩm giàu chất xơ là đậu phộng, bắp cải, súp lơ,...
- Các loại rau xanh: Trong rau củ quả tươi chứa nhiều vitamin và khoáng chất, chứa nhiều axit folic và canxi tốt cho sức khỏe răng miệng.
4.5. Cạo vôi răng định kỳ
Vôi răng là mảng bám cứng trên bề mặt răng, nếu không được loại bỏ có thể gây ra nhiều bệnh lý răng miệng. Vậy nên, bác sĩ khuyến nghị bạn nên cạo vôi răng định kỳ 6 tháng/lần, đồng thời khám nha khoa để thăm khám sức khỏe răng miệng tổng quát.

Bạn nên cạo vôi răng định kỳ 6 tháng/lần
Qua bài viết trên đây, bạn đọc đã tìm hiểu về nguyên nhân, biến chứng và cách giải quyết tình trạng áp xe răng số 7. Khi gặp vấn đề về sức khoẻ răng miệng, bạn đừng ngại liên hệ với Tâm Đức Smile để được tư vấn miễn phí bằng cách:
- Gọi đến Hotline 19008040 - 0329851079 (Có sử dụng Zalo/Viber).
- Điền thông tin cần được giải đáp vào bảng sau đây.


