5 NGUYÊN NHÂN LÀM KẼ RĂNG BỊ ĐEN VÀ CÁCH KHẮC PHỤC, PHÒNG NGỪA

 

1. 5 nguyên nhân nào làm kẽ răng bị đen?

Kẽ răng đen là tình trạng bị sẫm màu ở vị trí nối tiếp giữa các răng. Theo bác sĩ, kẽ răng bị đen là dấu hiệu của 1 số bệnh lý như: Sâu răng, viêm nướu, viêm nha chu,...

Sau đây là 5 nguyên nhân chính làm cho kẽ răng của Quý khách bị đen.

1.1. Kẽ răng bị đen do sâu răng

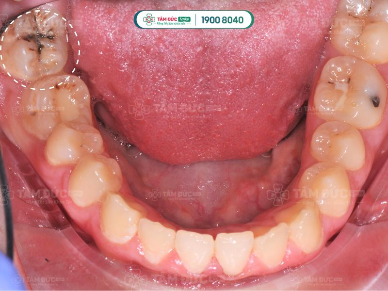
Sâu răng là nguyên nhân chủ yếu làm cho kẽ răng bị đen. Đây là bệnh lý răng miệng phổ biến, là hiện tượng mô cứng trên răng bị tổn thương trước sự tấn công của vi khuẩn. Các lỗ nhỏ li ti hình thành trên bề mặt răng, dần phát triển thành lỗ sâu răng to có màu đen, có thể nhìn thấy bằng mắt thường.

Sâu răng thường hình thành ở kẽ răng. Do đó, nếu Quý khách nhận thấy kẽ răng của mình bị đen thì có thể nghĩ ngay đến là do sâu răng gây ra.

kẽ răng bị đen do sâu răng

Kẽ răng bị đen do sâu răng gây ra

1.2. Cao răng làm kẽ răng đen

Cao răng là mảng bám tích tụ quanh thân răng, hình thành do cặn thức ăn bị vôi hóa bởi hợp chất Calcium Phosphate có trong nước bọt. Cao răng có màu vàng nhạt hoặc nâu sẫm tùy mức độ. Vì vậy, cao răng hình thành ở kẽ răng sẽ làm kẽ răng bị đen.

Bề mặt cao răng rất nhám, điều này vô tình giúp cho vi khuẩn dễ bám vào và sinh sôi. Nếu không sớm loại bỏ cao răng, kẽ răng của Quý khách sẽ nhanh chóng bị đen.

cao răng làm kẽ răng bị đen

Kẽ răng bị đen do cao răng tích tụ lâu ngày

1.3. Vệ sinh răng miệng không đúng cách làm kẽ răng bị đen

Nguyên nhân tiếp theo làm đen kẽ răng chính là do thói quen vệ sinh răng miệng không đúng cách. Mảng bám thức ăn không được làm sạch thường bị giắt lại ở kẽ răng, làm kẽ răng trông như bị đen, thậm chí có mùi hôi khó chịu. Vệ sinh răng miệng không đúng cách còn là nguyên nhân gây ra nhiều bệnh lý răng miệng khác.

1.4. Kẽ răng đen do di truyền

Các nhà nghiên cứu khẳng định: Hình dáng, độ dày và màu sắc của thân răng được quyết định bởi yếu tố di truyền. Do đó, di truyền cũng là 1 trong những nguyên nhân gây ra đen kẽ răng.

1.5. Dùng thuốc kháng sinh nhiều làm đen kẽ răng

Uống thuốc kháng sinh hoặc thuốc tây trong thời gian dài cũng dẫn đến tình trạng đen kẽ răng. Nguyên nhân là khi sử dụng thuốc, hoạt động của tuyến nước bọt bị hạn chế, dễ làm cho khoang miệng bị khô. Đây chính là điều kiện để vi khuẩn sinh sôi và tấn công vào thân răng, làm thay đổi màu răng.

Phụ nữ đang mang thai uống thuốc kháng sinh thường xuyên có khả năng cao làm ảnh hưởng màu răng của con sau này. Bên cạnh đó, thường xuyên dùng nước bị nhiễm Fluor, bị thiếu dinh dưỡng cũng là nguyên nhân làm kẽ răng bị đen.

thuốc kháng sinh làm đen kẽ răng

Sử dụng thuốc kháng sinh thường xuyên dễ bị đen kẽ răng

ĐẶT HẸN NGAY HÔM NAY ĐỂ ĐƯỢC:

► Khám và tư vấn miễn phí

► Miễn phí chụp film cùng với máy Conebeam CT trị giá 700K

► Miễn phí quét mẫu hàm công nghệ ITERO trị giá 3 triệu

► Hỗ trợ trả góp 0% lãi suất

 

2. Bật mí cách khắc phục kẽ răng đen hiệu quả

Bị đen kẽ răng không chỉ làm tăng nguy cơ mắc bệnh lý răng miệng, mà còn ảnh hưởng thẩm mỹ nụ cười. Vì vậy, Quý khách cần khắc phục tình trạng này càng sớm càng tốt.

Để khắc phục hiệu quả, Quý khách cần căn cứ vào từng nguyên nhân làm đen kẽ răng cụ thể.

2.1. Điều trị sâu răng để khắc phục kẽ răng đen

Nếu răng bị đen ở kẽ là do sâu răng, thì cách khắc phục duy nhất chính là điều trị sâu răng. Nếu bị sâu răng mức độ nhẹ, Quý khách chỉ cần trám răng để chữa trị. Đây cũng là chỉ định ưu tiên của bác sĩ.

Khắc phục kẽ răng bị đen do sâu răng chỉ mất khoảng 15 phút. Răng sau khi trám có hình dáng và màu sắc như răng thật. Nhờ đó, các vệt đen ở kẽ răng cũng bị lấp đi, trả lại cho Quý khách hàm răng đều màu và thẩm mỹ.

trám răng khắc phục tình trạng đen kẽ răng

Điều trị đen kẽ răng bằng phương pháp trám răng thẩm mỹ

2.2. Tẩy trắng cho răng có kẽ bị đen

Tẩy trắng răng là phương pháp khắc phục khi kẽ răng bị đen hiệu quả. Tẩy trắng răng tại nhà không thể loại bỏ hoàn toàn vệt đen ở kẽ răng, Quý khách cần đến nha khoa để tẩy trắng răng bằng công nghệ hiện đại.

Khi tẩy trắng răng tại nha khoa, bác sĩ sẽ sử dụng thuốc tẩy trắng chuyên dụng, những vết đen bám ở kẽ răng được loại bỏ nhẹ nhàng. Sau khi tẩy trắng răng tại nha khoa uy tín, răng của Quý khách sẽ phục hồi màu trắng sáng hoàn hảo.

2.3. Cạo cao răng

Cao răng là 1 trong những nguyên nhân làm cho kẽ răng bị đen. Do đó, cạo cao răng cũng là 1 trong những cách khắc phục tình trạng này và được bác sĩ khuyến khích thực hiện.

Tốt nhất Quý khách nên tuân thủ lịch thăm khám nha khoa định kỳ để hạn chế tích tụ mảng bám ở thân răng. Quy trình cạo cao răng tương đối nhanh, chỉ mất khoảng 15 - 20 phút và không gây đau nhức hay ê buốt. Sau khi cao răng bị loại bỏ, các vết đen ở kẽ răng cũng bị đánh bay.

Cạo cao răng không chỉ giúp Quý khách có được hàm răng trắng sáng hơn, mà còn hỗ trợ ngăn ngừa 1 số bệnh lý răng miệng. Trong cao răng tích tụ rất nhiều vi khuẩn, có cả vi khuẩn kỵ khí, nên cạo cao răng còn giúp Quý khách khắc phục tình trạng hôi miệng.

>>> Xem thêm: Cận cảnh bệnh nhân 35 năm chưa từng lấy vôi răng tại Tâm Đức Smile 

2.4. Bọc sứ cho răng bị đen ở kẽ

Nếu kẽ răng bị đen nghiêm trọng, không thể làm sạch bằng các phương pháp thông thường, thì Quý khách có thể bọc sứ để khắc phục. Răng sứ được thiết kế tinh xảo, có hình dáng và màu sắc như răng thật. Răng sứ vừa giúp Quý khách che lấp kẽ răng đen, vừa nâng cao thẩm mỹ nụ cười.

Trước khi bọc sứ, chiếc răng có kẽ bị đen sẽ được mài nhỏ theo tỷ lệ nhất định. Sau đó, bác sĩ sẽ cố định răng sứ lên trên cùi răng thật. Quý khách có thể chỉ bọc sứ cho chiếc răng bị đen kẽ, hoặc bọc sứ toàn hàm tùy theo nhu cầu.

bọc răng sứ cho răng bị đen kẽ

bọc răng sứ cho răng bị đen kẽ

3. Làm thế nào để bảo vệ kẽ răng không bị đen?

Để cho kẽ răng không bị đen, Quý khách cần thực hiện 1 số biện pháp ngăn ngừa sau đây:

  • Hạn chế ăn thực phẩm có hàm lượng đường cao, như: Kẹo, bánh kem, nước ngọt,... Vì các thực phẩm này dễ bám dính ở răng, nếu không đánh răng kỹ lượng sẽ dễ bị sâu răng và các bệnh lý khác.
  • Tăng cường ăn các thực phẩm có lợi cho sức khỏe răng miệng, như: Rau xanh, cà rốt, sữa,...
  • Quý khách nên đánh răng đúng cách đủ 2 lần/ngày để làm sạch mảng bám trên răng, ngăn chặn hình thành cao răng.
  • Đảm bảo thăm khám nha khoa định kỳ đúng hẹn, tối thiểu 3-6 tháng/lần để theo dõi sức khỏe răng miệng. Nếu phát hiện bệnh lý, bác sĩ sẽ chữa trị kịp thời.

Qua những thông tin trên đây, nha khoa Tâm Đức Smile đã gửi đến Quý khách thông tin hữu ích về kẽ răng bị đen. Để được giải đáp các thắc mắc liên quan, hãy liên hệ với nha khoa Tâm Đức Smile và trao đổi cùng bác sĩ qua:

ĐĂNG KÝ

TƯ VẤN TRỰC TIẾP

HỆ THỐNG NHA KHOA TÂM ĐỨC SMILE
Các chi nhánh