TẤT TẦN TẬT VỀ CHÓP RĂNG LÀ GÌ? CÁC VẤN ĐỀ THƯỜNG GẶP Ở CHÓP RĂNG
1. Chóp răng là gì?
Chóp răng là một bộ phận của răng, nằm sâu trong nướu răng và sát với chân răng. Theo giải phẫu học, chóp răng có vị trí gắn chặt trong xương hàm và là bộ phận kết nối răng với các mạch máu, dây thần kinh. Phần chóp của răng bao gồm các yếu tố quan trọng là:
- Thóp chóp răng (tên tiếng Anh Apical Constriction)
- Nút giao giữa xi măng và ngà răng (tên tiếng Anh là Cementodentinal Junction)
- Lỗ chóp (tên tiếng Anh là Apical foramen)
1.1. Các vấn đề thường gặp ở chóp răng
Những giải thích về chóp răng là gì phía trên cho thấy, đây là bộ phận có hình thái tương đối phức tạp. Vì vậy mà các vấn đề thường gặp ở chóp răng rất khó phát hiện bằng mắt thường.
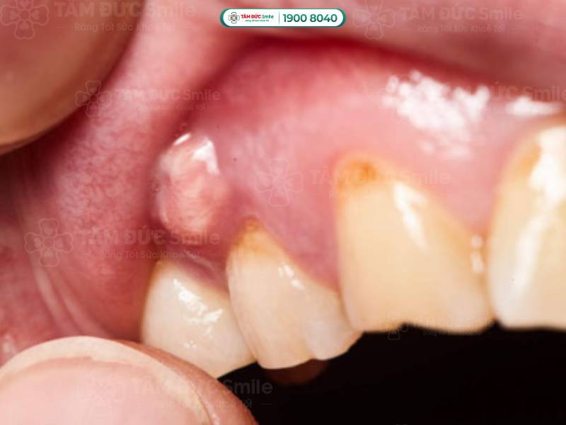
1.1.1. Viêm quanh chóp răng
Viêm quanh chóp răng là gì? Theo các chuyên gia, tình trạng viêm xuất hiện khi tổ chức mô xung quanh cuống răng bị nhiễm trùng. Ngày nay, có nhiều nguyên nhân dẫn đến vấn đề này, trong đó có nguyên nhân khách quan và chủ quan.
- Nguyên nhân khách quan: Tủy răng bị nhiễm khuẩn, vi khuẩn xâm nhập và giải phóng độc tố vào mô quanh cuống răng. Ngoài ra, nếu trong quá trình điều trị tủy, thiết bị không được vệ sinh sạch, răng dễ bị nhiễm khuẩn.
- Nguyên nhân chủ quan: Nếu bạn có các thói quen xấu như nghiến răng, cắn chỉ, cắn bút,... hoặc bị tai nạn, chấn thương,... sẽ gây tổn thương chóp răng mãn tính.

Viêm quanh chóp răng xuất hiện khi tổ chức mô xung quanh cuống răng bị nhiễm trùng
► Nguyên nhân gây viêm chóp răng
Cơ chế dẫn đến tình trạng viêm chóp răng là do vi khuẩn đi qua lỗ sâu răng hoặc các vết nứt răng. Vi khuẩn xâm nhập từ men răng, tới ngà răng, tủy răng làm viêm tủy. Lâu dần tủy răng sẽ chết và mở đường cho vi khuẩn tiếp tục đi sâu vào lỗ chóp răng gây viêm chóp.
Một số trường hợp khác, răng bị sang chấn mạnh làm tổn thương mạch máu nuôi dưỡng răng, gây chết tủy và viêm quanh cuống răng. Các hội chứng như nghiến răng, tổn thương khớp thái dương hàm,... làm răng bị sang chấn, lâu dài dẫn đến viêm mãn tính quanh chóp răng.
► Dấu hiệu nhận biết
Các bác sĩ có thể dựa trên các dấu hiệu lâm sàng để chẩn đoán chứng viêm chóp răng là gì bao gồm:
- Xuất hiện cơn đau nhức răng, tăng và trở nặng khi đang ăn uống. Bệnh nhân tự cảm nhận được vị trí đau nhức răng và thông thường cơn đau sẽ lan lên nửa đầu.
- Vùng da bên ngoài nơi răng bị đau có dấu hiệu sưng, nề, nổi hạch. Phần niêm mạc của lợi bị sưng đỏ, ấn thấy đau, mô lỏng lẻo.
- Nhiều bệnh nhân viêm chóp răng còn cho biết mình gặp tình trạng sốt cao, mệt mỏi, có hạch ở dưới hàm và cằm.
Thông thường, khi xuất hiện các dấu hiệu này, bác sĩ sẽ chỉ định thử nghiệm tủy. Nếu kết quả thử nghiệm tủy âm tính (tủy chết), khả năng cao bạn đã bị viêm chóp răng.
► Ảnh hưởng do viêm chóp răng
Viêm chóp răng nếu không được điều trị kịp thời sẽ ảnh hưởng tiêu cực tới ổ chân răng, xương răng và về lâu dài có thể gây mất răng. Người bệnh nếu không chữa trị kịp thời bị đau đớn kéo dài, ảnh hưởng đến công việc và cuộc sống.
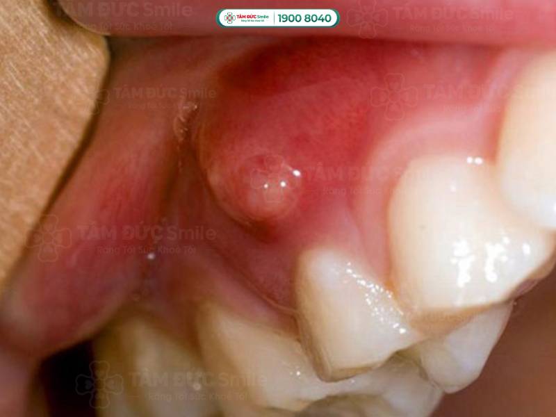
1.1.2. Áp xe chóp răng (áp xe chân răng)
Áp xe được hiểu là tập hợp mủ được hình thành từ các tế bào bạch cầu chết, vi khuẩn và những mảnh mô vụn. Vấn đề áp xe chóp răng bắt đầu từ tủy răng và kết thúc ở phần chóp chân răng.

Vấn đề áp xe chóp răng bắt đầu từ tủy răng và kết thúc ở phần chóp chân răng
► Nguyên nhân gây ra
Phần lớn các trường hợp áp xe chân răng là do sâu răng, răng bị sứt mẻ nặng gây tổn thương tới tủy. Ngoài ra, người bệnh viêm nướu, viêm nha chu cũng có nguy cơ bị áp xe chóp răng cao hơn. Bởi vì vi khuẩn phát triển dần vào chóp răng, gây viêm nhiễm, theo thời gian tiến triển thành áp xe.
► Biến chứng do áp xe chân răng
Áp xe chân răng khiến người bệnh đau đớn kéo dài, ăn uống không ngon miệng. Do đó, sức khỏe người bệnh nhanh chóng giảm sút. Về lâu dài, ổ áp xe sẽ làm răng bị rụng, mất răng.
► Dấu hiệu nhận biết
Chứng áp xe chóp răng thường khó nhận biết bằng mắt thường. Người bệnh có những biểu hiện dưới đây nên đến thăm khám ở các cơ sở y tế để được chẩn trị chính xác:
- Đau nhức răng, người bệnh chỉ cần nhai nhẹ cũng có cảm giác đau.
- Ê buốt răng khi sử dụng các loại thực phẩm nóng, lạnh.
- Vùng áp xe có thể làm hành sốt, nổi hạch ở cổ, khiến người bị mệt mỏi.
- Phần lợi dưới chân răng bị sưng; khi soi gương, bạn có thể thấy hạt mủ tụ ở phần chân răng gây đau.
1.1.3. Hoại tử tủy răng
Hoại tử tủy răng là tình trạng xảy ra khi tủy răng gặp tổn thương hoặc chết. Do đó, tủy răng không còn khả năng bảo vệ sức khỏe răng miệng. Lúc này, việc điều trị để khôi phục trạng thái răng trở về lúc ban đầu là gần như không thể.

Hoại tử tủy răng là tình trạng xảy ra khi tủy răng gặp tổn thương hoặc chết
► Nguyên nhân tủy răng bị hoại tử
Nguyên nhân chủ chốt dẫn đến hoại tử răng là do bị sâu răng nhưng không chữa dứt điểm. Lúc này, lỗ sâu sẽ di chuyển tới tủy gây chết tủy và không phục hồi lại được. Ngoài ra, nhiều chuyên gia y tế cho biết bệnh viêm tủy răng mạn tính cũng là một trong những nguyên nhân phổ biến làm răng hoại tử.
Một nguyên nhân khác cũng làm ảnh hướng đến tủy răng là quá trình điều trị sâu răng. Tại nhiều nha khoa, cơ sở vật chất không được đảm bảo về kỹ thuật thực hiện và các yếu tố vô trùng. Do vậy sau thực hiện, răng người bệnh tổn thương nặng hơn vì rò rỉ vi khuẩn vào rìa phục hồi vách xoang khi điều trị.
► Biến chứng do hoại tử tủy răng
Khác với vấn đề thường gặp, khi răng bị hoại tử hoàn toàn, người bệnh sẽ không còn đau hay khó chịu với các tác động ngoại lai lên răng. Vùng răng hoại tử cũng bị thoái hóa nghiêm trọng dẫn đến răng bị ngả nâu hoặc đen. Cuối cùng, người bệnh bị rụng răng hoặc phải nhổ răng để tránh lan rộng vùng hoại tử theo chỉ định.
► Dấu hiệu nhận biết tủy răng bị hoại tử
Tủy răng hoại tử không có dấu hiệu lâm sàng rõ ràng và thường bị nhầm lẫn với các bệnh răng miệng khác ở giai đoạn đầu. Vì vậy, bạn nên đến các cơ sở y tế để được chẩn đoán chính xác. Ngày nay, các kỹ thuật xét nghiệm hiện đại đã được áp dụng để nhận biết răng bị hoại tử ở giai đoạn nguy cơ. Một trong số những kỹ thuật phổ biến là chụp X-quang nha khoa để xác định tổn thương chóp răng là gì và theo dõi các vùng răng sâu.
1.2. Điều trị các bệnh liên quan đến chóp răng
Các bệnh liên quan đến chóp răng nên được can thiệp bằng các kỹ thuật y tế phù hợp. Người bệnh chỉ nên áp dụng biện pháp tại nhà để hỗ trợ giảm đau, ngăn ngừa bệnh tái phát.
- Đối với bệnh viêm chóp răng: Bác sĩ sẽ kết hợp điều trị toàn thân và nội nha để phục hồi phần chóp răng. Đối với trường hợp tổn thương nặng, người bệnh phải can thiệp phẫu thuật cắt cuống răng và duy trì chức năng của răng.
- Đối với áp xe cuống răng: Các biện pháp khẩn cấp bao gồm chích rạch áp xe và uống kháng sinh làm giảm dấu hiệu. Tiếp đó, bác sĩ điều trị bảo tồn để xử lý nguyên nhân gốc rễ làm áp xe như sâu răng, tổn thương răng.
- Đối với hoại tử tủy răng: Tùy vào mức độ của bệnh, bác sĩ đề xuất cách xử lý tương ứng. Những biện pháp điều trị hoại tử phổ biến là trám lỗ răng sâu, loại bỏ tủy, nong rộng ống tủy và hàn ống tủy.
2. Biện pháp bảo vệ chóp răng và răng luôn khỏe mạnh
Theo các chuyên gia y tế, để bảo vệ chóp răng khỏe mạnh, mục tiêu quan trọng nhất là phải bảo vệ tủy. Yếu tố quan trọng dẫn đến tổn thương tủy gây bệnh về chóp răng chính là sâu răng. Quá trình sâu răng đưa vi khuẩn từ men răng vào phần tủy và chóp, tạo nên các ổ viêm, áp xe và nặng nhất là hoại tử.
Vì vậy, biện pháp để bảo vệ chóp và tủy răng hữu hiệu nhất là phòng ngừa sâu răng. Mọi người nên xây dựng thói quen vệ sinh răng miệng hợp lý, điều chỉnh chế độ ăn uống, khám răng định kỳ 2 lần/năm.
Ngoài ra, phần lưỡi cũng có nhiều vi khuẩn, nhưng rất ít người bệnh chú ý đến bộ phận này. Sau khi ăn hoặc trước khi đi ngủ, bạn nên vệ sinh sạch sẽ vùng lưỡi và kẽ răng. Nhờ đó, nguy cơ sâu răng được giảm đi đáng kể, các vấn đề về chóp răng hạn chế xuất hiện hơn.

Sau khi ăn hoặc trước khi đi ngủ, bạn nên vệ sinh sạch sẽ vùng lưỡi và kẽ răng
Bạn nên xây dựng chế độ dinh dưỡng lành mạnh bằng cách hạn chế ăn đồ ngọt, sử dụng các thực phẩm cứng, dai. Thay vào đó, bạn nên bổ sung thêm các thực phẩm giàu canxi, vitamin,... có trong rau củ quả. Ngoài ra, bạn nên đi khám nha khoa ít nhất 6 tháng một lần để phát hiện sớm các vấn đề, làm sạch men răng.
Qua bài viết trên đây, bạn đọc đã tìm hiểu về khái niệm chóp răng là gì và biện pháp bảo vệ phần cuống răng. Hy vọng bạn đọc đã hiểu hơn về đặc điểm, cấu trúc của bộ phận quan trọng này. Qua đó, bạn có thể tự lên kế hoạch bảo vệ răng và duy trì thói quen lành mạnh để phần chóp răng luôn khỏe mạnh. Nếu đang gặp vấn đề về răng miệng, bạn hãy liên hệ cho nha khoa Tâm Đức Smile bằng cách gọi đến Hotline 19008040 - 0329851079 (Có sử dụng Zalo/Viber) hoặc để lại câu hỏi vào bảng dưới đây.


